Η ασθένεια του ύπνου ή Αφρικανική τρυπανοσωμίαση. Η νόσος προσβάλλει το κεντρικό νευρικό σύστημα.
Η ασθένεια του ύπνου ή Αφρικανική τρυπανοσωμίαση, ICD-10 B56, είναι μια νόσος που είχε τεθεί υπό έλεγχο τη δεκαετία του 1960.
Η ασθένεια του ύπνου ή Αφρικανική τρυπανοσωμίαση, ICD-10 B56, είναι μια νόσος που είχε τεθεί υπό έλεγχο τη δεκαετία του 1960.
Η ασθένεια του Ύπνου έχει κάνει δυναμική επάνοδο τις τελευταίες δεκαετίες στην Αφρική, εξαιτίας των πολέμων και της κατάρρευσης της οικονομίας στην περιοχή.
Οι κύριες εστίες της ασθένειας βρίσκονται στη Λαϊκή Δημοκρατία του Κονγκό, στην Αγκόλα, στην Ουγκάντα και στο Νότιο Σουδάν.
Αιτία ασθένειας του ύπνου
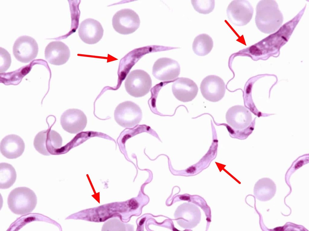
Η νόσος προκαλείται από το παράσιτο Trypanosoma rhodesiene (Ανατολική Αφρική, όπου η προσβολή του Κεντρικού Νευρικού Συστήματος συμβαίνει σε λίγους μήνες) και το Trypanosoma gambiense (Δυτική Αφρική, όπου η προσβολή ΚΝΣ μπορεί να γίνει πολλά χρόνια μετά) και μεταδίδεται από το τσίμπημα της μύγας τσε τσε του είδους Glossina.
Η μύγα απομυζά αίμα από τον πάσχοντα, στη συνέχεια αναπτύσσονται μέσα σε αυτήν οι κυκλικές μορφές που μετά μολύνουν τον άνθρωπο.
Στον άνθρωπο το παράσιτο εμφανίζεται ως κινητόν μαστιγοφόρο.
Κλινική εικόνα ασθένειας του ύπνου
Στην αρχή στην περιοχή του δείγματος εμφανίζεται ένα οζίδιο και στη συνέχεια προκαλείται διόγκωση των αδένων, αρχικά κοντά στην περιοχή του τσιμπήματος και στη συνέχεια γίνεται διόγκωση του ήπατος και σπληνός και συνυπάρχει κεφαλαλγία, πυρετός και γενικευμένο εξάνθημα.
Η νόσος προσβάλλει το κεντρικό νευρικό σύστημα, οπότε εμφανίζονται συμπτώματα, όπως ο απροσανατολισμός, οι αυξημένες διαταραχές ύπνου και τελικά το κώμα και ο θάνατος.
Διάγνωση ασθένειας του ύπνου
-Το εγκεφαλονωτιαίο υγρό περιέχει άφθονα λεμφοκύτταρα 2000/μl και η πρωτεΐνη είναι αυξημένη.
-Το τρυπανόσωμα ανευρίσκεται στο αίμα, στους λεμφαδένες και στο εγκεφαλονωτιαίο υγρό, ενώ αναπτύσσονται αντισώματα στο εγκεφαλονωτιαίο υγρό.
Πρόγνωση ασθένειας του ύπνου
Αν κατά την έναρξη της θεραπείας, η πρωτεΐνη του εγκεφαλονωτιαίου υγρού είναι φυσιολογική η πρόγνωση είναι καλή, αν είναι πάνω από 40 mg/100ml, η πρόγνωση είναι κακή, παρά την θεραπεία.
Θεραπεία ασθένειας του ύπνου
Ελάχιστα φάρμακα υπάρχουν για τη θεραπεία της νόσου και αυτά έχουν πολλές παρενέργειες

Αν δεν υπάρχει συμμετοχή του ΚΝΣ
-Suramin ενδοφλεβίως 1gr κάθε μέρα για 10 ημέρες
-Pentamidine isethionate (διαμίνη) σε Trypanosoma rhodesiene ενδομυϊκά 4 mg/kg κάθε 2 ημέρες και συνολικά 4 ενέσεις.
Αν συμμετέχει το ΚΝΣ:
-Melarsoprol τρισθενές αρσενικό, ενδοφλεβίως σε τριήμερα θεραπευτικά σχήματα με διάλλειμα μίας εβδομάδας. Το φάρμακο είναι τοξικό και προκαλεί ακοκκιοκυτταραιμία και εγκεφαλοπάθεια.
Η ασθένεια απειλεί σήμερα 60 εκατομμύρια ανθρώπους σε 36 χώρες. Χωρίς θεραπεία η ασθένεια του Ύπνου σκοτώνει το 50% των ανθρώπων που μολύνει.
Μία κινητή ιατρική ομάδα των Γιατρών Χωρίς Σύνορα ταξιδεύει σε απομακρυσμένα χωριά στις ασταθείς περιοχές της νοτιοανατολικής Κεντροαφρικανικής Δημοκρατίας για να εντοπίσει και να περιθάλψει τους ανθρώπους που πάσχουν από την ξεχασμένη αυτή ασθένεια.
Ένα μεγάλο εμπόδιο για την καταπολέμηση της ασθένειας είναι η έλλειψη εύχρηστων διαγνωστικών τεστ και φαρμάκων που μπορούν να χορηγηθούν από το στόμα, τα οποία θα μπορούσαν να χρησιμοποιηθούν σε απομακρυσμένες περιοχές, αυτή τη στιγμή, ωστόσο, αναπτύσσονται δύο νέα ανάλογα φάρμακα. Ένα ακόμη εμπόδιο είναι ότι τα προγράμματα κατά της ασθένειας του ύπνου δεν έχουν αρκετό προσωπικό και επαρκή χρηματοδότηση.
Μέχρι τη στιγμή που οι ασθένεια του ύπνου θα εξαφανιστεί οριστικά, οι γιατροί χωρίς σύνορα θα συνεχίζουν να εργάζονται για να βελτιωθεί η πρόσβαση σε ποιοτική περίθαλψη για όσους έχουν προσβληθεί από αυτή την ξεχασμένη μα τόσο καταστροφική ασθένεια.
Τα κατάλληλα συμπληρώματα διατροφής για το νευρικό σύστημα
Πατήστε, εδώ, για να παραγγείλετε τα κατάλληλα συμπληρώματα διατροφής για το νευρικό σύστημα

Η καθοδήγηση για την επιλογή των ποιων συμπληρωμάτων διατροφής, από τα ανωτέρω, είναι κατάλληλα για την ασθένειά σας θα γίνει σε συνεννόηση με το θεράποντα ιατρό.
Διαβάστε, επίσης,
Νόσος μεγαλοκυτταρικών εγκλείστων
Αθηροσκληρωτική αποφρακτική νόσος
Νόσος του Lyme: Συμπληρώματα διατροφής
Η νόσος Πάρκινσον ξεκινά στο έντερο
emedi.gr/2016/12/19/η-νόσος-πάρκινσον-ξεκινά-στο-έντερο-3/(ανοίγει σε μία νέα καρτέλα)emedi.gr/2016/12/19/η-νόσος-πάρκινσον-ξεκινά-στο-έντερο-3/Επιλεγμένες ρυθμίσεις συνδέσμουΆνοιγμα σε νέα καρτέλαΟι μηχανές αναζήτησης θα πρέπει να αγνοούν το σύνδεσμο αυτό (Επισημαίνεται ως nofollow)Μάθετε περισσότερα για το πως σημαίνουν ένα σύνδεσμο σαν nofollow ή χορηγούμενο.(Ανοίγει σε νέα καρτέλα)Αυτός είναι ένας χορηγούμενος σύνδεσμος ή advert (Επισημαίνεται ως χορηγούμενος )Μάθετε περισσότερα για το πως σημαίνουν ένα σύνδεσμο σαν nofollow ή χορηγούμενο.(Ανοίγει σε νέα καρτέλα)
Featured Video
Εναλλαγή πλαισίου: Featured Video
Paste a video link from Youtube, Vimeo, Dailymotion or Twitter it will be embedded in the post and the thumb used as the featured image of this post.
You need to choose Video Format from above to use Featured Video.
Post Settings
Εναλλαγή πλαισίου: Post Settings
Yoast SEO
Εναλλαγή πλαισίου: Yoast SEO
Εστιάστε στη φράση – κλειδίΒοήθεια για την επιλογή της ιδανικής φράσης-κλειδί(Ανοίγει σε νέα καρτέλα)
Λάβετε σχετικές φράσεις-κλειδιά(Άνοιγμα σε νέα καρτέλα)
Προεπισκόπηση Google
Προεπισκόπηση ως:Mobile αποτέλεσμαΑποτέλεσμα επιτραπέζιου
Προβολή URL:

Emedi.gr – Πρόληψη Υγείαςwww.emedi.gr › 2013 › 08 › 28 › %ce%b1%cf%83%ce%b8%ce%ad%ce%bd%ce%b5%ce%b9%ce%b1-%cf%84%ce%bf%cf%85-%cf%8d%cf%80%ce%bd%ce%bf%cf%85 › ασθένεια-του-ύπνου
Προεπισκόπηση τίτλου SEO:
Ασθένεια του ύπνου – Emedi.gr – Πρόληψη Υγείας
Προεπισκόπηση Μeta περιγραφής:

Αυγ 28, 2013 - Η ασθένεια του ύπνου ή Αφρικανική τρυπανοσωμίαση, είναι μια νόσος που προσβάλλει το κεντρικό νευρικό σύστημα.
Τίτλος SEOΕισάγετε μεταβλητή
Τίτλος Σελίδα Διαχωριστής Τίτλος ιστότοπου
Slug
Περιγραφή MetaΕισάγετε μεταβλητή
Η ασθένεια του ύπνου ή Αφρικανική τρυπανοσωμίαση, είναι μια νόσος που προσβάλλει το κεντρικό νευρικό σύστημα.
Ανάλυση SEOΚαλόΑσθένεια του ύπνου
Premium ανάλυση SEO
Προσθέστε σχετική φράση-κλειδί
Παρακολουθήστε την απόδοση SEO
Σημαντικό περιεχόμενο
Προχωρημένες
Η ασθένεια του Ύπνου έχει κάνει δυναμική επάνοδο τις τελευταίες δεκαετίες στην Αφρική, εξαιτίας των πολέμων και της κατάρρευσης της οικονομίας στην περιοχή.
Οι κύριες εστίες της ασθένειας βρίσκονται στη Λαϊκή Δημοκρατία του Κονγκό, στην Αγκόλα, στην Ουγκάντα και στο Νότιο Σουδάν.
Αιτία ασθένειας του ύπνου
Η νόσος προκαλείται από το παράσιτο Trypanosoma rhodesiene (Ανατολική Αφρική, όπου η προσβολή του Κεντρικού Νευρικού Συστήματος συμβαίνει σε λίγους μήνες) και το Trypanosoma gambiense (Δυτική Αφρική, όπου η προσβολή ΚΝΣ μπορεί να γίνει πολλά χρόνια μετά) και μεταδίδεται από το τσίμπημα της μύγας τσε τσε του είδους Glossina.
Η μύγα απομυζά αίμα από τον πάσχοντα, στη συνέχεια αναπτύσσονται μέσα σε αυτήν οι κυκλικές μορφές που μετά μολύνουν τον άνθρωπο.
Στον άνθρωπο το παράσιτο εμφανίζεται ως κινητόν μαστιγοφόρο.
Κλινική εικόνα ασθένειας του ύπνου
Στην αρχή στην περιοχή του δείγματος εμφανίζεται ένα οζίδιο και στη συνέχεια προκαλείται διόγκωση των αδένων, αρχικά κοντά στην περιοχή του τσιμπήματος και στη συνέχεια γίνεται διόγκωση του ήπατος και σπληνός και συνυπάρχει κεφαλαλγία, πυρετός και γενικευμένο εξάνθημα.
Η νόσος προσβάλλει το κεντρικό νευρικό σύστημα, οπότε εμφανίζονται συμπτώματα, όπως ο απροσανατολισμός, οι αυξημένες διαταραχές ύπνου και τελικά το κώμα και ο θάνατος.
Διάγνωση ασθένειας του ύπνου
-Το εγκεφαλονωτιαίο υγρό περιέχει άφθονα λεμφοκύτταρα 2000/μl και η πρωτεΐνη είναι αυξημένη.
-Το τρυπανόσωμα ανευρίσκεται στο αίμα, στους λεμφαδένες και στο εγκεφαλονωτιαίο υγρό, ενώ αναπτύσσονται αντισώματα στο εγκεφαλονωτιαίο υγρό.
Πρόγνωση ασθένειας του ύπνου
Αν κατά την έναρξη της θεραπείας, η πρωτεΐνη του εγκεφαλονωτιαίου υγρού είναι φυσιολογική η πρόγνωση είναι καλή, αν είναι πάνω από 40 mg/100ml, η πρόγνωση είναι κακή, παρά την θεραπεία.
Θεραπεία ασθένειας του ύπνου
Ελάχιστα φάρμακα υπάρχουν για τη θεραπεία της νόσου και αυτά έχουν πολλές παρενέργειες

Αν δεν υπάρχει συμμετοχή του ΚΝΣ
-Suramin ενδοφλεβίως 1gr κάθε μέρα για 10 ημέρες
-Pentamidine isethionate (διαμίνη) σε Trypanosoma rhodesiene ενδομυϊκά 4 mg/kg κάθε 2 ημέρες και συνολικά 4 ενέσεις.
Αν συμμετέχει το ΚΝΣ:
-Melarsoprol τρισθενές αρσενικό, ενδοφλεβίως σε τριήμερα θεραπευτικά σχήματα με διάλλειμα μίας εβδομάδας. Το φάρμακο είναι τοξικό και προκαλεί ακοκκιοκυτταραιμία και εγκεφαλοπάθεια.
Η ασθένεια απειλεί σήμερα 60 εκατομμύρια ανθρώπους σε 36 χώρες. Χωρίς θεραπεία η ασθένεια του Ύπνου σκοτώνει το 50% των ανθρώπων που μολύνει.
Μία κινητή ιατρική ομάδα των Γιατρών Χωρίς Σύνορα ταξιδεύει σε απομακρυσμένα χωριά στις ασταθείς περιοχές της νοτιοανατολικής Κεντροαφρικανικής Δημοκρατίας για να εντοπίσει και να περιθάλψει τους ανθρώπους που πάσχουν από την ξεχασμένη αυτή ασθένεια.
Ένα μεγάλο εμπόδιο για την καταπολέμηση της ασθένειας είναι η έλλειψη εύχρηστων διαγνωστικών τεστ και φαρμάκων που μπορούν να χορηγηθούν από το στόμα, τα οποία θα μπορούσαν να χρησιμοποιηθούν σε απομακρυσμένες περιοχές, αυτή τη στιγμή, ωστόσο, αναπτύσσονται δύο νέα ανάλογα φάρμακα. Ένα ακόμη εμπόδιο είναι ότι τα προγράμματα κατά της ασθένειας του ύπνου δεν έχουν αρκετό προσωπικό και επαρκή χρηματοδότηση.
Μέχρι τη στιγμή που οι ασθένεια του ύπνου θα εξαφανιστεί οριστικά, οι γιατροί χωρίς σύνορα θα συνεχίζουν να εργάζονται για να βελτιωθεί η πρόσβαση σε ποιοτική περίθαλψη για όσους έχουν προσβληθεί από αυτή την ξεχασμένη μα τόσο καταστροφική ασθένεια.
Τα κατάλληλα συμπληρώματα διατροφής για το νευρικό σύστημα
Πατήστε, εδώ, για να παραγγείλετε τα κατάλληλα συμπληρώματα διατροφής για το νευρικό σύστημα

Η καθοδήγηση για την επιλογή των ποιων συμπληρωμάτων διατροφής, από τα ανωτέρω, είναι κατάλληλα για την ασθένειά σας θα γίνει σε συνεννόηση με το θεράποντα ιατρό.
Διαβάστε, επίσης,
Νόσος μεγαλοκυτταρικών εγκλείστων
Αθηροσκληρωτική αποφρακτική νόσος
Νόσος του Lyme: Συμπληρώματα διατροφής




