Μικροσκοπική κολίτιδα. Παρουσιάζεται με διάρροια και μπορεί να αντιμετωπιστεί με συγκεκριμένη φυσική αγωγή και έχει καλή πρόγνωση.
Μικροσκοπική κολίτιδα
Η μικροσκοπική κολίτιδα, ICD-10 K52.8, αναφέρεται σε δύο ιατρικές καταστάσεις που προκαλούν διάρροια: Κολίτιδα κολλαγόνου ή κολλαγόνος κολίτιδα και λεμφοκυτταρική κολίτιδα.
Και οι δύο μορφές της νόσου έχουν τα εξής κλινικοπαθολογικά χαρακτηριστικά:
- Χρόνια διάρροια.
- Φυσιολογική κολονοσκόπηση.
- Χαρακτηριστική ιστοπαθολογία.
Οι ασθενείς είναι χαρακτηριστικά, αν και όχι αποκλειστικά, μεσήλικες γυναίκες. Παρουσιάζουν μακροχρόνια υδαρή διάρροια, η οποία μπορεί να είναι έντονη. Υπάρχει μια υψηλότερη συχνότητα εμφάνισης αυτοάνοσων νοσημάτων, όπως για παράδειγμα αρθρίτιδα, σύνδρομο Sjogren και κοιλιοκάκη. Υπάρχουν αναφορές για μικροσκοπική κολίτιδα από φάρμακα, ιδιαίτερα μη στεροειδή αντιφλεγμονώδη φάρμακα (ΜΣΑΦ).
Η κολονοσκόπηση είναι φυσιολογική ή σχεδόν φυσιολογική και απαιτούνται πολλές βιοψίες για να γίνει η διάγνωση (καλύτερα να μη γίνονται).
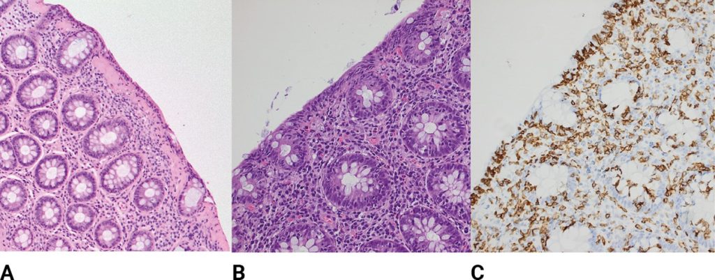
Παθολογία μικροσκοπικής κολίτιδας
Το σήμα κατατεθέν της μικροσκοπικής κολίτιδας είναι μια αύξηση στα φλεγμονώδη κύτταρα (δηλαδή, λεμφοκύτταρα) σε βιοψίες κόλου, με μια, κατά τα άλλα, φυσιολογική εμφάνιση στην αρχιτεκτονική του παχέος εντέρου. Τα φλεγμονώδη κύτταρα αυξάνονται τόσο στην επιφάνεια του επιθηλίου (ενδοεπιθηλιακά λεμφοκύτταρα) όσο και του χορίου.
Στη λεμφοκυτταρική κολίτιδα, αυτά είναι τα μόνα παθολογικά χαρακτηριστικά.
Σε κολίτιδα κολλαγόνου, τα χαρακτηριστικά της λεμφοκυτταρικής κολίτιδας είναι παρόντα, με επιπλέον, την παρουσία ενός πεπαχυσμένου υποεπιθηλιακού στρώματος κολλαγόνου που μπορεί να είναι μέχρι 30 μικρόμετρα.

Αίτια μικροσκοπικής κολίτιδας
Η αιτία της μικροσκοπικής κολίτιδος είναι άγνωστη. Μερικοί γιατροί υποπτεύονται ότι η μικροσκοπική κολίτιδα είναι μια αυτοάνοση διαταραχή, παρόμοια με τις αυτοάνοσες διαταραχές, που προκαλούν τη χρόνια ελκώδη κολίτιδα και νόσο του Crohn.
Θεραπεία μικροσκοπικής κολίτιδας
Αντιδιαρροϊκά και αντιφλεγμονώδη φάρμακα.
Η λεμφοκυτταρική κολίτιδα ανταποκρίνεται καλά σε σαλικυλικό βισμούθιο και μεσαλαζίνη και η κολίτιδα κολλαγόνου ανταποκρίνεται καλά στη βουδεσονίδη.
Οι ακόλουθες στρατηγικές είναι ασφαλείς και μπορούν να ανακουφίσουν τη διάρροια σε μερικούς ασθενείς:
- Αποφύγετε τα μη στεροειδή αντιφλεγμονώδη φάρμακα (ΜΣΑΦ).
- Αποφυγή λακτόζης (μόνο για να εξαλειφθεί η πιθανότητα ότι η δυσανεξία στη λακτόζη στο γάλα επιδεινώνει τη διάρροια).
- Παράγοντες αντιδιαρροϊκοί, όπως loperamide (Imodium) ή diphenoxylate και ατροπίνη (Lomotil).
- Σαλικυλικό βισμούθιο.
- Βουδεσονίδη.
- 5-ASA-5-aminosalicylic acid ή 5-αμινοσαλικυλικό οξύ (μεσαλαζίνη).
- Τέλος, μερικοί γιατροί μπορεί να χρησιμοποιούν φάρμακα, που καταστέλλουν ισχυρά το ανοσοποιητικό σύστημα, όπως η αζαθειοπρίνη και η 6-μερκαπτοπουρίνη, σε ασθενείς με σοβαρή μικροσκοπική κολίτιδα που δεν αποκρίνεται σε άλλες θεραπείες.
Πρόγνωση μικροσκοπικής κολίτιδας
Η πρόγνωση για τη λεμφοκυτταρική κολίτιδα και την κολίτιδα κολλαγόνου είναι καλή, και οι δύο θεωρούνται καλοήθεις παθήσεις.
Η μικροσκοπική κολίτιδα μπορεί να αντιμετωπιστεί με συγκεκριμένη φαρμακευτική αγωγή και έχει καλή πρόγνωση.
Καλύτερα να χρησιμοποιείτε φυσικές θεραπείες για τη μικροσκοπική κολίτιδα
Υψηλής ποιότητας κουρκουμίνη για τη μικροσκοπική κολίτιδα
Πατήστε εδώ, για να παραγγείλετε την υψηλής ποιότητας κουρκουμίνη για τη μικροσκοπική κολίτιδα

Υψηλής ποιότητας προβιοτικό συμπλήρωμα για τη μικροσκοπική κολίτιδα

Τα καλύτερα συμπληρώματα διατροφής για τη μικροσκοπική κολίτιδα
Πατήστε, εδώ, για να παραγγείλετε τα καλύτερα συμπληρώματα διατροφής για τη μικροσκοπική κολίτιδα
Διαβάστε, επίσης, παρόμοια άρθρα που μπορεί να σας ενδιαφέρουν





