Νόσος των βαρέων αλύσεων

0
648

Η νόσος των βαρέων αλύσεων, ουσιαστικά είναι λοιμώξεις, οι οποίες, συνήθως, δεν ανταποκρίνονται στη θεραπεία.

Γράφει η 

Δρ Σάββη Μάλλιου Κριαρά 

Ειδικός Παθολόγος-Ογκολόγος, MD, PhD

Νόσος των βαρέων αλύσεων

Στη νόσο των βαρέων αλύσεων, ο νεοπλασματικός λεμφοπλασματοκυτταρικός κλώνος συνθέτει και εκκρίνει μόνο τη βαριά άλυσο ή τμήμα της βαριάς ανοσοσφαιρινικής αλύσου.

Τα κλινικά και εργαστηριακά ευρήματα είναι οι υποτροπιάζουσες λοιμώξεις, η διόγκωση αμυγδαλών, η γενικευμένη λεμφαδενοπάθεια, η ηπατοσπληνομεγαλία, η αναιμία με πανκυτταρποπενία.

Σπάνια, ανευρίσκεται ηωσινοφιλία ή και πλασματοκυτταρική λευχαιμία, χωρίς, οστεολύσεις.

Σε όλες τις περιπτώσεις, η ηλεκτροφόρηση και ανοσοηλεκτροφόρηση αποκαλύπτουν σφαιρίνη στον ορό και τα ούρα, που αποτελείται από ελεύθερες γάμμα βαριές αλύσεις, χωρίς, να βρίσκονται ελαφρές αλύσεις.

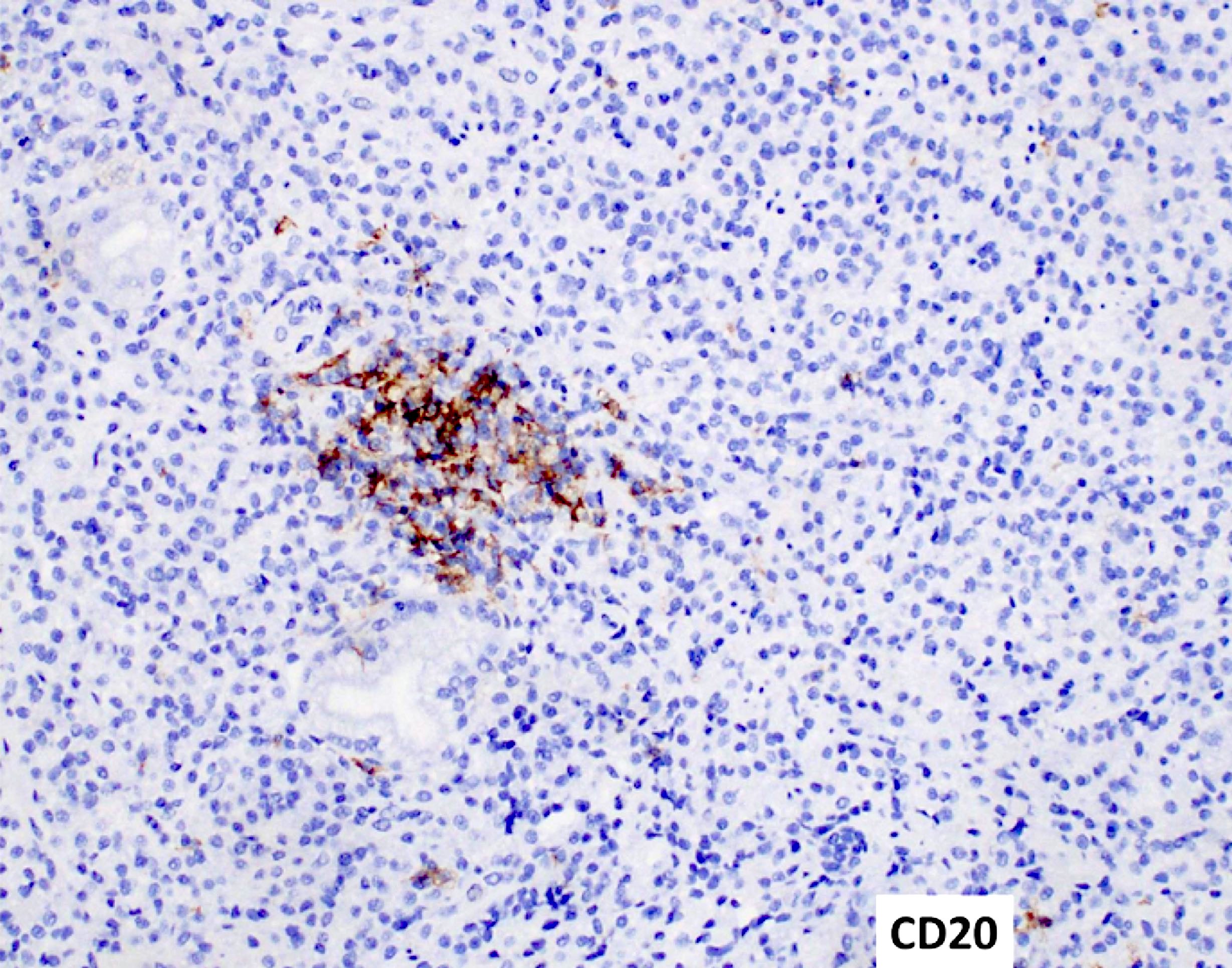
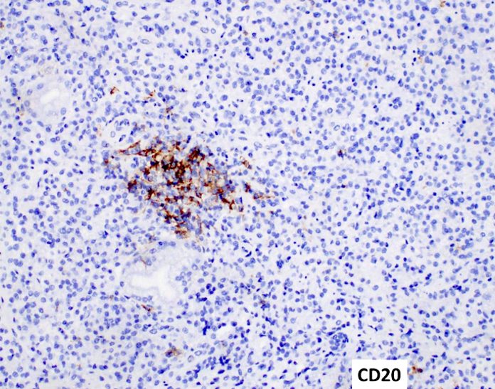
Στην ιστολογική εξέταση του λεμφαδένα ή και του μυελού και στο μυελόγραμμα βρίσκεται διήθηση πολύμορφη από λεμφοκύτταρα, πλασματοκύτταρα, ηωσινόφιλα και μεγάλα λεμφοειδή κύτταρα.

Οι ασθένειες βαριάς αλυσίδας είναι νεοπλασματικές διαταραχές των πλασματοκυττάρων που χαρακτηρίζονται από υπερπαραγωγή βαρέων αλυσίδων μονοκλωνικής ανοσοσφαιρίνης.

Τα συμπτώματα, η διάγνωση και η θεραπεία ποικίλλουν ανάλογα με τη συγκεκριμένη διαταραχή.

Οι ασθένειες βαριάς αλυσίδας είναι διαταραχές των πλασματοκυττάρων που είναι, συνήθως, κακοήθεις.

Στις περισσότερες διαταραχές των πλασματοκυττάρων, οι πρωτεΐνες Μ (πρωτεΐνες μονοκλωνικής ανοσοσφαιρίνης) είναι δομικά παρόμοιες με τα φυσιολογικά μόρια αντισωμάτων. Αντίθετα, σε ασθένειες βαριάς αλυσίδας παράγονται ατελείς μονοκλωνικές ανοσοσφαιρίνες (πραγματικές παραπρωτεΐνες). Αποτελούνται μόνο από συστατικά βαριάς αλυσίδας (είτε άλφα [A], γάμμα [G], mu [M] ή δέλτα [D]) χωρίς ελαφριές αλυσίδες. Η νόσος Έψιλον (E) βαριάς αλυσίδας δεν έχει περιγραφεί. Οι περισσότερες πρωτεΐνες βαριάς αλυσίδας είναι θραύσματα των κανονικών ομολόγων τους με εσωτερικές διαγραφές μεταβλητού μήκους. Αυτές οι διαγραφές φαίνεται να προέρχονται από δομικές γενετικές μεταλλάξεις. Η κλινική εικόνα μοιάζει περισσότερο με λέμφωμα παρά με πολλαπλό μυέλωμα. Ασθένειες βαριάς αλυσίδας εξετάζονται σε ασθενείς με κλινικές εκδηλώσεις που υποδηλώνουν λεμφοϋπερπλαστικές διαταραχές.

Εάν εμπλέκεται η καρδιά ή το ήπαρ, η επιβίωση μπορεί να είναι τόσο σύντομη όσο τέσσερις έως έξι μήνες. Η μόλυνση είναι, συνήθως, η κύρια αιτία θανάτου. Οι ασθενείς είναι πολύ πιθανό να νοσήσουν από νεφρική νόσο τελικού σταδίου εάν εμπλέκονται τα νεφρά.

Συχνά, συνυπάρχουν παρασιτικές λοιμώξεις. Η διήθηση του βλεννογόνου της νήστιδας με πλασματοκυτταροειδή κύτταρα είναι το πιο συχνό παθολογικό χαρακτηριστικό. Το ανοσοβλαστικό λέμφωμα εμφανίζεται. καθώς, η νόσος εξελίσσεται.

Νόσος της βαριάς αλυσίδας IgA (Ασθένεια της άλφα αλυσίδας)

Η νόσος της βαριάς αλυσίδας IgA είναι η πιο συχνή ασθένεια βαριάς αλυσίδας και μερικές φορές ονομάζεται μεσογειακό λέμφωμα (ανοσοϋπερπλαστική νόσος του λεπτού εντέρου).
Η νόσος βαριάς αλυσίδας IgA εμφανίζεται, συνήθως, σε άτομα ηλικίας μεταξύ 10 και 30 ετών και είναι γεωγραφικά επικεντρωμένη στη Μέση Ανατολή. Η αιτία μπορεί να είναι μια ανώμαλη ανοσοαπόκριση σε ένα παράσιτο ή άλλο μικροοργανισμό.

Συνήθως, υπάρχει ατροφία εντερικών λαχνών και πλασματοκυτταρική διήθηση του βλεννογόνου της νήστιδας και μερικές φορές, διήθηση των μεσεντέριων λεμφαδένων. Οι περιφερικοί λεμφαδένες, ο μυελός των οστών, το ήπαρ και ο σπλήνας, συνήθως, δεν εμπλέκονται. Σπάνια είναι μια μορφή της νόσου από την αναπνευστική οδό.

Συχνές εκδηλώσεις είναι ο πυρετός, η ήπια αναιμία, δυσκολία στην κατάποση (δυσφαγία), οι υποτροπιάζουσες λοιμώξεις του ανώτερου αναπνευστικού συστήματος και η διόγκωση ήπατος και σπλήνας. Δεν εμφανίζονται οστεολυτικές βλάβες.

Σχεδόν όλοι οι ασθενείς παρουσιάζουν διάχυτο κοιλιακό λέμφωμα και δυσαπορρόφηση. Η γενική εξέταση αίματος μπορεί να δείξει αναιμία, λευκοπενία, θρομβοπενία, ηωσινοφιλία και κυκλοφορούντα άτυπα λεμφοκύτταρα ή πλασματοκύτταρα.

Η ηλεκτροφόρηση πρωτεΐνών ορού είναι φυσιολογική στις μισές περιπτώσεις. Συχνά, υπάρχουν αυξημένα κλάσματα άλφα-2 και βήτα ή μειωμένο κλάσμα γάμμα. Η διάγνωση απαιτεί την ανίχνευση μιας μονοκλωνικής αλυσίδας άλφα στην ανοσοηλεκτροφόρηση. Αυτή η αλυσίδα εντοπίζεται μερικές φορές στα συμπυκνωμένα ούρα. Εάν αυτή η μονοκλωνική άλφα αλυσίδα δεν μπορεί να βρεθεί στον ορό ή στα ούρα, απαιτείται βιοψία εντέρου. Η μη φυσιολογική πρωτεΐνη μπορεί μερικές φορές να ανιχνευθεί στις εντερικές εκκρίσεις. Το εντερικό κυτταρικό διήθημα μπορεί να είναι πλειομορφικό και όχι εμφανώς κακοήθες. Η πρωτεϊνουρία Bence Jones απουσιάζει.

Η θεραπεία γίνεται με κορτικοστεροειδή, κυτταροτοξικά φάρμακα και αντιβιοτικά ευρέος φάσματος. Η πρόγνωση είναι πολύ μεταβλητή. Μερικοί ασθενείς πεθαίνουν σε 1 έως 2 χρόνια, ενώ άλλοι έχουν υφέσεις που διαρκούν πολλά χρόνια, ιδιαίτερα μετά τη θεραπεία.

Νόσος της βαριάς αλυσίδας IgG (νόσος της αλυσίδας γάμμα)

Η νόσος της βαριάς αλυσίδας IgG είναι γενικά παρόμοια με ένα επιθετικό κακόηθες λέμφωμα, αλλά μερικές φορές είναι ασυμπτωματική και καλοήθης.

Η νόσος της βαριάς αλυσίδας IgG εμφανίζεται, κυρίως, σε ηλικιωμένους άνδρες, αλλά μπορεί να εμφανιστεί και σε παιδιά. Οι σχετιζόμενες χρόνιες διαταραχές περιλαμβάνουν τη ρευματοειδή αρθρίτιδα, το σύνδρομο Sjögren, το συστηματικό ερυθηματώδη λύκο, τη φυματίωση, τη βαριά μυασθένεια, το υπερηωσινοφιλικό σύνδρομο, την αυτοάνοση αιμολυτική αναιμία και τη θυρεοειδίτιδα. Παρουσιάζονται μειώσεις στα φυσιολογικά επίπεδα ανοσοσφαιρίνης. Οι λυτικές βλάβες των οστών είναι ασυνήθιστες. Μερικές φορές αναπτύσσεται αμυλοείδωση.

Συχνές εκδηλώσεις είναι η λεμφαδενοπάθεια και η ηπατοσπληνομεγαλία, ο πυρετός και οι επαναλαμβανόμενες λοιμώξεις. Το υπερώιο οίδημα εμφανίζεται περίπου στο ένα τέταρτο των ασθενών.

Η γενική αίματος μπορεί να δείξει αναιμία, λευκοπενία, θρομβοπενία, ηωσινοφιλία και κυκλοφορούντα άτυπα λεμφοκύτταρα ή πλασματοκύτταρα.

Η διάγνωση απαιτεί επίδειξη με ανοσοκαθήλωση ελεύθερων μονοκλωνικών τμημάτων βαριάς αλυσίδας IgG στον ορό και τα ούρα. Από τους προσβεβλημένους ασθενείς, οι μισοί έχουν μονοκλωνικά συστατικά ορού > 1 g/dL (> 10 g/L), τα οποία είναι συχνά ευρεία και ετερογενή και οι μισοί έχουν πρωτεϊνουρία > 1 g/24 ώρες. Αν και οι πρωτεΐνες βαριάς αλυσίδας μπορεί να περιλαμβάνουν οποιαδήποτε υποκατηγορία IgG, η υποκατηγορία G3 είναι ιδιαίτερα συχνή. Η βιοψία μυελού των οστών ή λεμφαδένων, που γίνεται εάν άλλες εξετάσεις δεν είναι διαγνωστικές, αποκαλύπτει μεταβλητή ιστοπαθολογία.

Η διάμεση επιβίωση με επιθετική νόσο είναι περίπου 1 έτος. Ο θάνατος, συνήθως, προκύπτει από βακτηριακή μόλυνση ή προοδευτική κακοήθεια. Οι αλκυλιωτικοί παράγοντες, η βινκριστίνη ή τα κορτικοστεροειδή και η ακτινοθεραπεία μπορεί να προκαλέσουν παροδικές υφέσεις.

Νόσος βαριάς αλυσίδας IgM (ασθένεια της αλυσίδας Mu)

Η νόσος της βαριάς αλυσίδας IgM, η οποία είναι σπάνια, προκαλεί κλινική εικόνα παρόμοια με τη χρόνια λεμφοκυτταρική λευχαιμία ή άλλες λεμφοϋπερπλαστικές διαταραχές.
Η νόσος της βαριάς αλυσίδας IgM προσβάλλει συχνότερα ενήλικες > 50 ετών. Η προσβολή των σπλαχνικών οργάνων (σπλήνας, ήπαρ, κοιλιακοί λεμφαδένες) είναι συχνή, αλλά η εκτεταμένη περιφερική λεμφαδενοπάθεια δεν είναι. Μπορεί να εμφανιστούν παθολογικά κατάγματα και αμυλοείδωση.

Η ηλεκτροφόρηση πρωτεΐνης ορού είναι συνήθως φυσιολογική ή εμφανίζει υπογαμμασφαιριναιμία. Η πρωτεϊνουρία Bence Jones (τύπος κ) είναι παρούσα στο 10 έως 15% των ασθενών.

Η γενική αίματος μπορεί να δείξει αναιμία, λευκοπενία, θρομβοπενία, ηωσινοφιλία και κυκλοφορούντα άτυπα λεμφοκύτταρα ή πλασματοκύτταρα.

Η διάγνωση, συνήθως, απαιτεί εξέταση μυελού των οστών. Τα κενοτόπια στα πλασματοκύτταρα υπάρχουν στα δύο τρίτα των ασθενών και όταν υπάρχουν, είναι ουσιαστικά παθογνωμονικά.

Ο θάνατος μπορεί να συμβεί σε λίγους μήνες ή σε πολλά χρόνια. Η συνήθης αιτία θανάτου είναι ο ανεξέλεγκτος πολλαπλασιασμός των κυττάρων της χρόνιας λεμφοκυτταρικής λευχαιμίας.

Η θεραπεία εξαρτάται από την κατάσταση του ασθενούς, αλλά μπορεί να αποτελείται από αλκυλιωτικούς παράγοντες συν κορτικοστεροειδή ή μπορεί να είναι παρόμοια με τη θεραπεία της λεμφοϋπερπλαστικής διαταραχής με την οποία μοιάζει περισσότερο.

Η νόσος έχει κακή πρόγνωση και πολύ μικρή ανταπόκριση στα κυτταροστατικά.

Βιβλιογραφία

www.merckmanuals.com

Υψηλής Ποιότητας Συμπλήρωμα διατροφής για τη νόσο των βαρέων αλύσεων

Πατήστε, εδώ, για να παραγγείλετε το κατάλληλο συμπλήρωμα διατροφής για τη νόσο των βαρέων αλύσεων

Bioav Curcumin Plus Emedi® 60 caps

Τα κατάλληλα συμπληρώματα διατροφής για τη νόσο των βαρέων αλύσεων

Πατήστε, εδώ, για να παραγγείλετε τα κατάλληλα συμπληρώματα διατροφής για τη νόσο των βαρέων αλύσεων

Αυτή η εικόνα δεν έχει ιδιότητα alt. Το όνομα του αρχείου είναι 6.jpg

Διαβάστε, επίσης, παρόμοια άρθρα που μπορεί να σας ενδιαφέρουν

Ολικά λευκώματα αίματος

Σύνδρομο Fanconi

Οι ηλεκτροφορήσεις στην Ιατρική

www.emedi.gr

Print Friendly, PDF & Email

ΑΦΗΣΤΕ ΜΙΑ ΑΠΑΝΤΗΣΗ

εισάγετε το σχόλιό σας!
παρακαλώ εισάγετε το όνομά σας εδώ