Τι είναι η φλουοροαγγειογραφία. Φλουοροαγγειογραφία είναι η εξέταση των αγγείων στον αμφιβληστροειδή με χορήγηση σκιαγραφικού
Φλουοροαγγειογραφία αμφιβληστροειδούς ή αγγειογραφία αμφιβληστροειδούς με φλουορεσκεΐνη
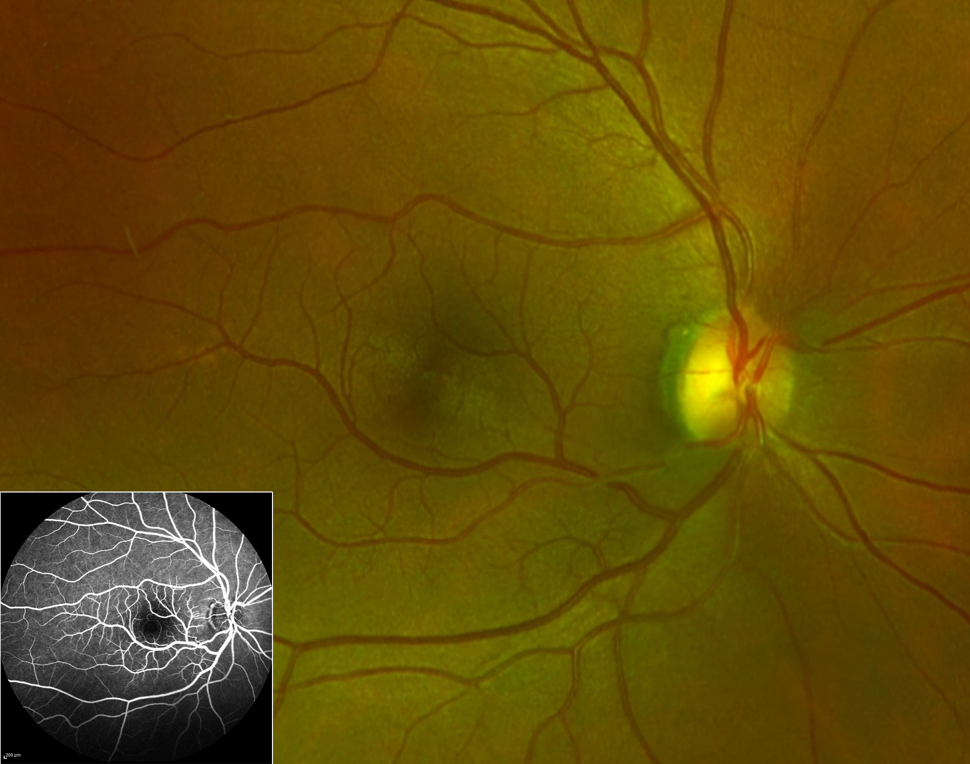
Η φλουοροαγγειογραφία, είναι μια μέθοδος εξέτασης των αγγείων στην περιοχή του αμφιβληστροειδούς με την εισαγωγή σκιαγραφικού που γίνεται με ενδοφλέβια χορήγηση φλουορεσκεΐνης. Μετά από λίγα δευτερόλεπτα αρχίζει η φωτογράφηση του αμφιβληστροειδούς σε συνθήκες φθορισμού. Έτσι, λαμβάνεται η αγγειογραφία με τη φωτογράφηση του αμφιβληστροειδούς υπό φθορισμό, με μπλε φως που εκπέμπεται σε μήκος κύματος 490 νανόμετρα.
Πατήστε, εδώ, για να διαβάσετε για τη φλουορεσκεΐνη και για τις παρενέργειές της
Η χρωστική ουσία φλουορεσκεΐνη εμφανίζεται ακόμα και μετά 12-24 ώρες στα ούρα των ασθενών, προκαλώντας μία κίτρινο-πράσινη χροιά των ούρων.
Με τη φλουοροαγγειογραφία εξετάζονται παθήσεις όπως, η διαβητική αμφιβληστροειδοπάθεια, η απόφραξη φλέβας, η απόφραξη-εμβολή αρτηρίας του αμφιβληστροειδούς, το οίδημα της οπτικής θηλής και οι όγκοι στην περιοχή του χοριοειδούς-αμφιβληστροειδή.
Τεχνική της φλουοροαγγειογραφίας
Ψηφιακή φωτογράφηση Βυθού:
6 δευτερόλεπτα μετά την ενδοφλέβια έγχυση των 2-5ml της φλουορεσκεΐνης
Μια σειρά από ασπρόμαυρες ή ψηφιακές φωτογραφίες λαμβάνονται πριν και μετά τη χορήγηση της φλουορεσκεΐνης στην κυκλοφορία του αμφιβληστροειδούς (περίπου 10 δευτερόλεπτα μετά την έγχυση). Ένα ειδικό φίλτρο τοποθετείται στη μηχανή, ώστε να καταγράφεται μόνο το κίτρινο-πράσινο φως φθορισμού (530 nm).
Οι ασπρόμαυρες λήψεις δίνουν καλύτερη αντίθεση από τις έγχρωμες.
Χρόνοι κατά προσέγγιση
- 0 sec – έγχυση φλουοροσκεϊνης
- 9.5 sec – οπίσθιες ακτινωτές αρτηρίες
- 10 sec – χοριοειδική προαρτηριακή φάση
- 10-12 sec – αρτηριακή αμφιβληστροειδική φάση
- 13 sec – τριχοειδική μεταβατική φάση
- 14-15 sec – αρχική φλεβική φάση ή «αρτηριακή – φλεβική φάση»
- 16-17 sec – φλεβική φάση
- 18-20 sec – προχωρημένη φλεβική φάση
- 5 λεπτά – αργή χρώση

Παθολογοανατομικά ευρήματα σε φλουοροαγγειογραφία
Οι παθολογικές αλλοιώσεις αναγνωρίζονται από την ανίχνευση είτε του υπερφθορισμού είτε του υποφθορισμού.
Αιτίες του υπερφθορισμού:
- Αγγειακή διαρροή (π.χ. τριχοειδική διαρροή, ανεύρυσμα, νεοαγγείωση)
- Ανώμαλο αγγειακό δίκτυο
Αιτίες του υποφθορισμού:
- Αποκλεισμός (π.χ. λόγω αιμορραγίας)
- Μειωμένη πλήρωση (π.χ. τριχοειδική απόφραξη)
Βιβλιογραφία
evolution.je
Υψηλής ποιότητας συμπλήρωμα διατροφής για την υγεία των ματιών
Πατήστε, εδώ, για να παραγγείλετε το Υψηλής ποιότητας συμπλήρωμα διατροφής για την υγεία των ματιών

Τα κατάλληλα προϊόντα για την υγεία των ματιών
Πατήστε, εδώ, για να παραγγείλετε τα κατάλληλα προϊόντα για την υγεία των ματιών

Διαβάστε, επίσης,
Διαβητική Αμφιβληστροειδοπάθεια
www.emedi.gr




