Πορογενές καρκίνωμα in situ μαστού

0
622

Στάδιο 0-Μη διηθητικός καρκίνος μαστού

Γράφει η 

Δρ Σάββη Μάλλιου Κριαρά 

Ειδικός Παθολόγος-Ογκολόγος, MD, PhD

Το DCIS συχνά ανιχνεύεται με μαστογραφίες, αλλά σπάνια μπορεί να είναι και ψηλαφητό. Με την αυξανόμενη χρήση της μαστογραφίας στον προσυμπτωματικό έλεγχο, οι μη διηθητικοί καρκίνοι διαγιγνώσκονται πιο συχνά και αποτελούν σήμερα το 15% έως 20% όλων των καρκίνων του μαστού, αν και πολλοί ισχυρίζονται ότι γίνεται υπερδιάγνωση…

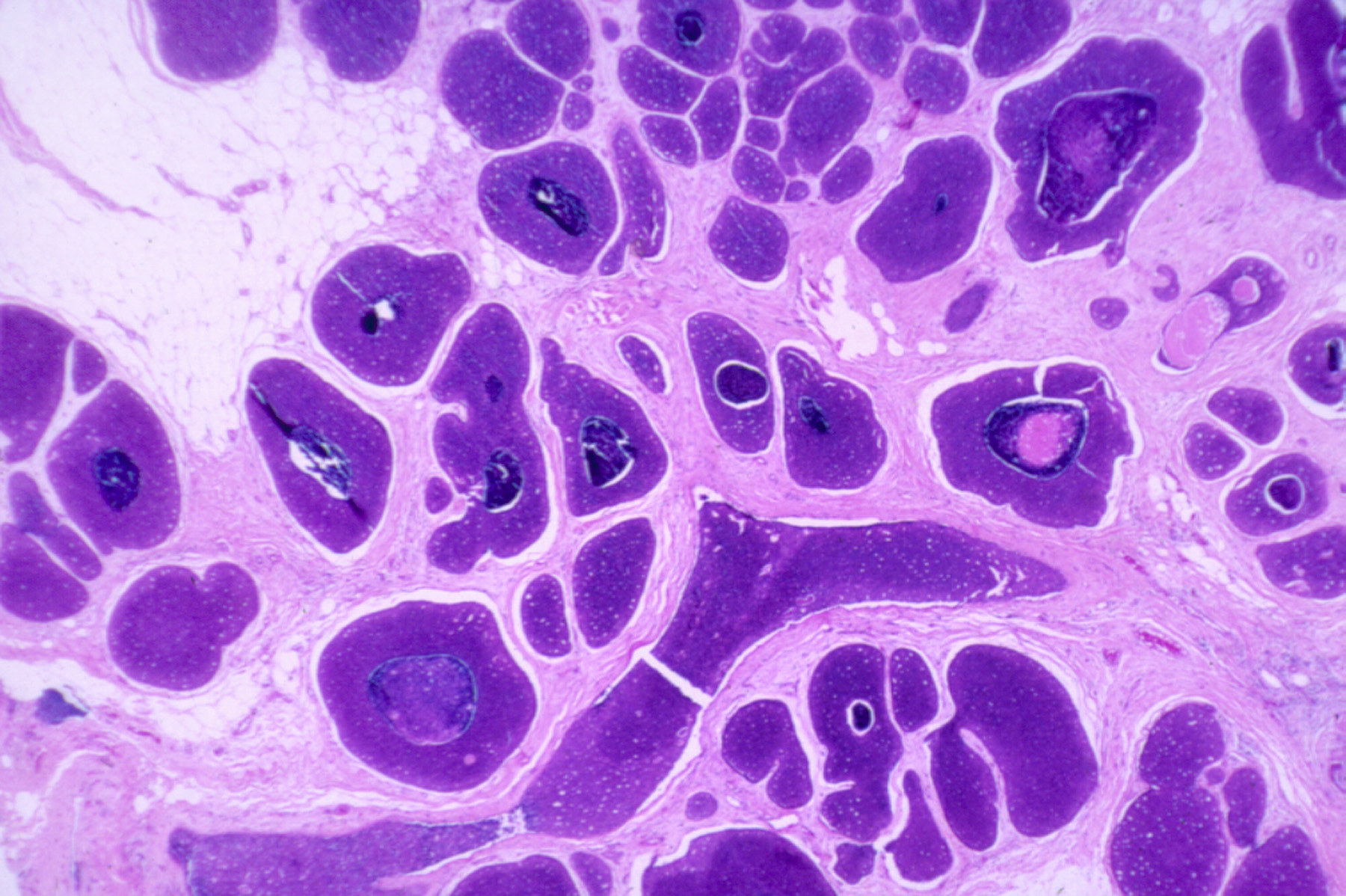
Το πορογενές καρκίνωμα in situ, ICD-10 D05.1, επίσης, γνωστό ως ενδοπορικό καρκίνωμα, είναι μία προκαρκινική ή μη διηθητική καρκινική αλλοίωση του μαστού που ταξινομείται ως στάδιο 0. Σπανίως προκαλεί συμπτώματα ή εξογκώματα στο μαστό, και συνήθως, ανιχνεύεται με μαστογραφικό έλεγχο. Σε αυτή την κατάσταση τα ανώμαλα κύτταρα βρίσκονται στα τοιχώματα σε έναν ή περισσότερους αγωγούς του γάλακτος στο μαστό.

In situ σημαίνει “σε θέση” και αναφέρεται στο γεγονός ότι τα μη φυσιολογικά κύτταρα δεν έχουν μετακινηθεί εκτός του μαστικού πόρου και σε οποιονδήποτε από τους περιβάλλοντες ιστούς στο μαστό.

Προκαρκινική αλλοίωση σημαίνει ότι δεν έχει ακόμη γίνει διηθητικός καρκίνος. Σε ορισμένες περιπτώσεις, μπορεί να γίνει DCIS διηθητικός καρκίνος και να εξαπλωθεί σε άλλους ιστούς. Το DCIS καλύπτει ένα ευρύ φάσμα ασθενειών που κυμαίνονται από χαμηλού βαθμού αλλοιώσεις που δεν είναι απειλητικές για τη ζωή μέχρι δυνητικά εξαιρετικά επιθετικές βλάβες.

Το DCIS έχει ταξινομηθεί ανάλογα με το αρχιτεκτονικό σχέδιο (στερεό, ηθμοειδές, θηλώδες, και μικροθηλωματώδες), το βαθμό διαφοροποίησης του όγκου (υψηλός, ενδιάμεσος, και χαμηλός), καθώς και την παρουσία ή απουσία φαγεσώρων κυττάρων. Το DCIS μπορεί να ανιχνευθεί σε μαστογραφίες με μικροσκοπικά στίγματα ασβεστίου γνωστά ως μικροαποτιτανώσεις. ‘Υποπτες ομάδες μικροαποτιτανώσεων μπορούν να εμφανιστούν ακόμη και εν απουσία  DCIS.

Το DCIS περιλαμβάνει μια ετερογενή ομάδα ιστοπαθολογικών αλλοιώσεων που έχουν ταξινομηθεί σε διάφορες υποκατηγορίες με βάση κυρίως το αρχιτεκτονικό μοτίβο: μικροθηλωματώδης, θηλώδης, συμπαγής, ηθμοειδής, και comedo. Ο Comedo τύπος DCIS αποτελείται από κύτταρα που εμφανίζονται κυτταρολογικά κακοήθη, με την παρουσία πυρήνων υψηλής ποιότητας, πλειομορφία, και άφθονη κεντρική νέκρωση του αυλού. Το Comedo DCIS φαίνεται να είναι πιο επιθετικό, με μεγαλύτερη πιθανότητα να συνυπάρχει διηθητικό πορογενές καρκίνωμα.

Περίπου 20-30% που δεν θα κάνουν θεραπεία στατιστικά αναπτύσσουν καρκίνο του μαστού.

Είναι ο πιο συχνός τύπος προκαρκινικής νόσου στις γυναίκες.

Υπάρχει κάποια διαφωνία ως προς το αν, για στατιστικούς λόγους, θα πρέπει να θεωρείται καρκίνος…

Όπως αναφέρθηκε στο πορογενές καρκίνωμα in situ (DCIS) τα επιθηλιακά κύτταρα  έχουν παραμείνει στην κανονική θέση τους (in situ) μέσα στους πόρους και τα λόβια του μαστικού αδένα. Κλινικά, θεωρείται μια προκαρκινωματώδης κατάσταση (δηλαδή δυνητικά κακοήθης) κατάσταση. Κάθε αλλοίωση περιέχει κύτταρα που έχουν ήδη γίνει βιολογικά κακοήθη (“καρκινικά”), αλλά δεν έχουν διασπάσει τη μεμβράνη για να διηθήσουν τον περιβάλλοντα ιστό. Όταν πολλαπλές βλάβες (γνωστές ως «εστίες» DCIS) υπάρχουν σε διαφορετικά τεταρτημόρια του μαστού, αυτή είναι «πολυεστιακή» νόσος. 


Τα σημεία και συμπτώματα του ενδοπορικού καρκίνου μαστού

Οι περισσότερες από τις γυναίκες που αναπτύσσουν DCIS δεν σύμπτωμα.

Η συχνότητα της διάγνωσης του DCIS έχει αυξηθεί σημαντικά λόγω του προσυμπτωματικού ελέγχου με ψηφιακή μαστογραφία. 

Πολύ λίγες περιπτώσεις DCIS, άρα διαγιγνώσκονται, πλέον ως ψηλαφητή μάζα. 80% διαγιγνώσκονται με τη μαστογραφία μόνο.

Τα πρώτα σημεία και τα συμπτώματα μπορεί να εμφανιστούν εάν ο καρκίνος προχωρήσει. Λόγω της έλλειψης των πρώιμων συμπτωμάτων, το DCIS  πιο συχνά ανιχνεύεται μετά από μαστογραφία διαλογής.

Σε μερικές περιπτώσεις, το DCIS μπορεί να προκαλέσει:

  • Πάχυνση μέσα ή κοντά στο στήθος ή κάτω από το βραχίονα
  • Μια αλλαγή στο μέγεθος ή το σχήμα του στήθους
  • Έκκριση από τη θηλή ή ευαισθησία στη θηλή ή εισολκή της θηλής
  • Σκασίματα του μαστού, ξηροδερμία ή το δέρμα μπορεί να μοιάζει με το φλοιό ενός πορτοκαλιού
  • Μια αλλαγή στο δέρμα του στήθους, στη θηλαία άλω, ή αίσθημα καύσου, οίδημα, ερυθρότητα ή ξηρότητα.

Αιτίες του ενδοπορικού καρκίνου μαστού

  • Οι παράγοντες κινδύνου για την ανάπτυξη αυτής της κατάστασης είναι παρόμοιες με εκείνες για το διηθητικό καρκίνο του μαστού.
  • Μερικές γυναίκες είναι ωστόσο πιο επιρρεπείς από άλλες για την ανάπτυξη του DCIS. Οι γυναίκες που θεωρούνται ότι βρίσκονται σε μεγαλύτερο κίνδυνο είναι όσες έχουν οικογενειακό ιστορικό καρκίνου του μαστού, όσες έχουν περίοδο από πολύ νεαρή ηλικία ή που είχαν μια καθυστερημένη εμμηνόπαυση. Επίσης, οι γυναίκες που δεν είχαν ποτέ τα παιδιά ή τεκνοποίησαν σε μεγάλη ηλικία είναι πιο επιρρεπείς.
  • Η μακροχρόνια χρήση θεραπείας ορμονικής υποκατάστασης οιστρογόνων-προγεστερόνης (HRT) για περισσότερα από πέντε χρόνια μετά την εμμηνόπαυση, οι γενετικές μεταλλάξεις (γονίδια BRCA1 ή BRCA2), η άτυπη υπερπλασία, καθώς και η έκθεση σε ακτινοβολία ή η έκθεση σε ορισμένες χημικές ουσίες μπορεί επίσης να συμβάλει στην ανάπτυξη της κατάστασης. Παρ ‘όλα αυτά, ο κίνδυνος ανάπτυξης καρκίνου αυξάνει με την ηλικία και είναι υψηλότερη σε γυναίκες  άνω των 45 ετών.

Διάγνωση του ενδοπορικού καρκίνου μαστού

80% των περιπτώσεων διαγιγνώσκονται με μαστογραφικό έλεγχο. Η μαστογραφία ευθύνεται για υπερδιάγνωση κι έχει ακτινοβολία!!!


Θεραπεία του ενδοπορικού καρκίνου μαστού
Η χειρουργική αφαίρεση, με ή χωρίς επιπρόσθετη ακτινοβολία ή η ταμοξιφαίνη, είναι η συνιστώμενη θεραπεία για DCIS.

Η χειρουργική επέμβαση μπορεί να είναι είτε ογκεκτομή με διατήρηση του μαστού ή μαστεκτομή (πλήρης ή μερική αφαίρεση του προσβεβλημένου μαστού).

Σε περίπτωση που γίνεται ογκεκτομή χρησιμοποιείται συχνά σε συνδυασμό με  ακτινοβολία (η ακτινοβολία προκαλεί καρκίνο μαστού!!!).

Η Tamoxifen μπορεί να χρησιμοποιηθεί ως ορμονική θεραπεία αν τα κύτταρα είναι θετικά στους υποδοχείς οιστρογόνων.

Χημειοθεραπεία δεν πρέπει να γίνεται σε DCIS, δεδομένου ότι η ασθένεια είναι μη διηθητική.

Ενώ η χειρουργική επέμβαση μειώνει τον κίνδυνο για μετέπειτα καρκίνο, πολλοί ασθενείς δεν αναπτύσσουν ποτέ καρκίνο, ακόμη και χωρίς θεραπεία. Δεν υπάρχουν στοιχεία σύγκρισης χειρουργικής επέμβασης με προσεκτική αναμονή.

Πολλοί πιστεύουν ότι η προσεκτική αναμονή είναι μια λογική επιλογή σε πολλές περιπτώσεις. 

Η χρήση της θεραπείας με ακτινοβολία μετά από ογκεκτομή παρέχει ισοδύναμα ποσοστά επιβίωσης με τη μαστεκτομή, αν και υπάρχει ελαφρώς υψηλότερος κίνδυνος επανεμφάνισης της νόσου στον ίδιο μαστό με τη μορφή DCIS ή με τη μορφή του διηθητικού καρκίνου του μαστού. Πρέπει να γίνεται ολοκληρωμένη πληροφόρηση σχετικά με τις πιθανές παρενέργειες που σε γυναίκες που λαμβάνουν ακτινοβολία σε υγιείς ιστούς! Η προσθήκη της ακτινοθεραπείας σε ογκεκτομή φαίνεται να μειώνει τον κίνδυνο της τοπικής υποτροπής περίπου 12%, εκ των οποίων περίπου οι μισοί θα είναι DCIS και οι άλλοι μισοί θα είναι διηθητικοί καρκίνοι μαστού. Ο κίνδυνος υποτροπής είναι 1% για τις γυναίκες που υποβάλλονται σε μαστεκτομή…

Η μαστεκτομή εξακολουθεί να είναι η λύση για άτομα με επίμονη μικροσκοπική συμμετοχή των χειρουργικών ορίων μετά από την τοπική εκτομή ή με διάχυτες μικροαποτιτανώσεις.

Βιοψία του λεμφαδένα φρουρού γίνεται για επιλεγμένους ασθενείς με DCIS υψηλού κινδύνου (βαθμού III με ψηλαφητή μάζα ή μεγάλου μεγέθους στην απεικόνιση), καθώς και σε ασθενείς που υποβάλλονται σε μαστεκτομή μετά από βιοψία που δείχνει DCIS. 


Πρόγνωση του ενδοπορικού καρκίνου μαστού

Επειδή το DCIS ανακαλύπτεται νωρίς και αντιμετωπίζεται  είναι δύσκολο να πούμε τι θα συνέβαινε αν είχε αφεθεί χωρίς θεραπεία. Περίπου 2% των γυναικών που έχουν διαγνωσθεί με DCIS πέθαναν μέσα σε 10 χρόνια.  Οι βιοδείκτες με μοριακό προφίλ του όγκου μπορούν να προσδιορίσουν ποιες γυναίκες που με DCIS είναι σε υψηλό ή χαμηλό κίνδυνο για μετέπειτα διηθητικοό καρκίνο.


Σημεία για συζήτηση στο πορογενές καρκίνωμα in situ μαστού

Το DCIS συχνά ανιχνεύεται με μαστογραφίες, αλλά σπάνια μπορεί να είναι και ψηλαφητό. Με την αυξανόμενη χρήση της μαστογραφίας στον προσυμπτωματικό έλεγχο, οι μη διηθητικοί καρκίνοι διαγιγνώσκονται πιο συχνά και αποτελούν σήμερα το 15% έως 20% όλων των καρκίνων του μαστού, αν και πολλοί ισχυρίζονται ότι γίνεται υπερδιάγνωση…

-Το στάδιο 0 στον καρκίνο του μαστού αναφέρεται ως ο μη διηθητικός καρκίνος μαστού ή DCIS-Ductal carcinoma in situ-ΤisN0M0. To πορογενές καρκίνωμα in situ (DCIS) είναι μια μη διηθητική κατάσταση που μπορεί να προχωρήσει για να γίνει διηθητικός καρκίνος, αλλά οι εκτιμήσεις των πιθανοτήτων ποικίλουν ευρέως.

-Μέχρι πρόσφατα, η συνήθης θεραπεία του DCIS ήταν η μαστεκτομή. Η αποτυχία της θεραπείας με μαστεκτομή είναι κάτω από 1% και η μακρά επιβίωση χωρίς νόσο 97-98%. Παρόλα αυτά επειδή περισσότερο προχωρημένοι και διηθητικοί καρκίνοι μαστού θεραπεύονται με χειρουργική επέμβαση διατήρησης του μαστού σε συνδυασμό με ακτινοβολία του μαστού, αυτή η συντηρητική προσέγγιση επεκτάθηκε σε αυτό το στάδιο 0 του καρκίνου του μαστού. Τα αποτελέσματα από 2 μεγάλες τυχαιοποιημένες μελέτες έδειξαν ότι η ογκεκτομή  με την συμπληρωματική ακτινοθεραπεία είχε αποτελέσματα παρόμοια με την μαστεκτομή. Βέβαια, ένα ερώτημα είναι κατά πόσον θα μπορούσε να μην γίνει ακτινοθεραπεία, ιδίως,  σε όγκους μικρούς, μονοεστιακούς, χαμηλού grade, με ευρεία αρνητικά χειρουργικά όρια. Η ακτινοβολία θεωρείται αιτιολογικός παράγοντας για αυτόν τον καρκίνο…

-Η εμπλοκή των μασχαλιαίων λεμφαδένων είναι πάρα πολύ σπάνια σε ασθενείς με πορογενές καρκίνωμα in situ και η λεμφαδενεκτομή δεν συνιστάται. Παρόλα αυτά κάποιοι κάνουν λεμφαδενεκτομή για μη διηθητικό πορογενή καρκίνο του μαστού μεγαλύτερο από 5 εκατοστά. Με την ανάπτυξη της τεχνικής του φρουρού λεμφαδένα  οι ασθενείς με DCIS υποβάλλονται σε λεμφαδενεκτομή μόνο αν 1 ή περισσότεροι λεμφαδένες έχουν μετάσταση. Η λεφαδενεκτομή έχει πολλές παρενέργειες και δεν πρέπει να γίνεται χωρίς λόγο…

-Σε μια μεγάλη μελέτη η ταμοξιφένη ελαττώνει τον κίνδυνο τοπικής υποτροπής και τον κίνδυνο για δεύτερο πρωτοπαθή καρκίνο μαστού. Δεν πρέπει να γίνεται σε γυναίκες με κίνδυνο για ανάπτυξη καρκίνου ενδομητρίου και σε αρνητικούς ορμονικούς υποδοχείς.

-Ενώ η χειρουργική επέμβαση μειώνει τον κίνδυνο για μετέπειτα καρκίνο, πολλοί ασθενείς δεν αναπτύσσουν ποτέ καρκίνο, ακόμη και χωρίς θεραπεία. Δεν υπάρχουν στοιχεία σύγκρισης χειρουργικής επέμβασης με προσεκτική αναμονή. Πολλοί πιστεύουν ότι η προσεκτική αναμονή με συχνή παρακολούθηση είναι μια λογική επιλογή σε πολλές περιπτώσεις. 


Επιλογές θεραπείας για ασθενείς με DCIS

  • Διατήρηση του μαστού με χειρουργική επέμβαση και ακτινοθεραπεία με ή χωρίς ταμοξιφαίνη
  • Μαστεκτομή με ή χωρίς ταμοξιφαίνη
  • Διατήρηση του μαστού με χειρουργική επέμβαση χωρίς ακτινοθεραπεία και χωρίς ταμοξιφαίνη
  • Διατήρηση του μαστού με χειρουργική επέμβαση χωρίς ακτινοθεραπεία και με ταμοξιφαίνη 
  • Προσεκτική αναμονή με συχνή παρακολούθηση

Να προτιμάτε τις φυσικές θεραπείες για τον καρκίνο του μαστού, σύμφωνα με το Μοριακό Προφίλ του Όγκου

Η ζωή είναι πολύτιμη.

Η ζωή είναι δική σας. Πάρτε την στα χέρια σας!

Η καθοδήγηση για την επιλογή των ποιων συμπληρωμάτων διατροφής, από τα ανωτέρω, είναι κατάλληλα  για την ασθένειά σας θα γίνει σε συνεννόηση με το θεράποντα ιατρό.

Διαβάστε, επίσης,

Προγνωστικοί δείκτες στον καρκίνο μαστού

Προβλεπτικοί καρκινικοί δείκτες στην ογκολογία

Απεικονιστικός έλεγχος στην ογκολογία

Βιοδείκτες στην ογκολογία

Διάγνωση του καρκίνου του μαστού 

Οδηγίες για τον προσυμπτωματικό έλεγχο για το καρκίνο μαστού

Αφιέρωμα για την παγκόσμια ημέρα κατά του καρκίνου 

Μαγνητική τομογραφία ή μαστογραφία για πρόληψη καρκίνου μαστού

Σταδιοποίηση στον καρκίνο

Ποιότητα ζωής και καρκίνος

Η σωστή εκτίμηση των καρκινικών δεικτών

Λέιζερ για τη διάγνωση του καρκίνου μαστού

Ελαστογραφία μαστού

Τρισδιάστατη Μαστογραφία 

Μη επεμβατική κυτταρολογική εξέταση για τον καρκίνο του μαστού

Ο καρκίνος του μαστού θεραπεύεται

Καρκίνος μαστού

Στηθόδεσμος που ανιχνεύει τον καρκίνο του μαστού

Οι τεχνικές εξατομικευμένης θεραπείας του καρκίνου

Όλοι οι παράγοντες κινδύνου για τον καρκίνο του μαστού

Τα νεώτερα φάρμακα για τον καρκίνο του μαστού

Πώς η βιοψία και το χειρουργείο βοηθούν στην εξάπλωση του καρκίνου

Η λήψη νουκλεϊνικών οξέων από δείγματα ιστών

Η πικρή αλήθεια για τις χημειοθεραπείες 

Βιολογική θεραπεία του καρκίνου

Προγνωστικός παράγοντας για τον καρκίνο μαστού

Γιατί τα χημειοθεραπευτικά δεν λειτουργούν 

Bιοψία για τον καρκίνο μέσω του αίματος

Το καρκινικό μονοπάτι στον καρκίνο του μαστού

Οι ασθενείς που έχουν καρκίνο δεν έχουν όλοι καρκίνο

Δεύτερη γνώμη στον καρκίνο

Εξατομικευμένη Θεραπεία

Οι θυμωμένοι επιζήσαντες από καρκίνο

Μοριακό προφίλ του όγκου

Εξατομικευμένη θεραπεία για τον καρκίνο μαστού

Τα ελπιδοφόρα μηνύματα στην Ογκολογία

Γιατί οι χημειοθεραπείες δεν είναι αποτελεσματικές

Μοριακές αλλαγές στον Her2-θετικό καρκίνο μαστού

Να αγαπάτε τον εαυτό σας

Η Εξέλιξη της Ογκολογίας

Μαγνητική τομογραφία σε γυναίκες με καρκίνο του μαστού

Αλλάζει η θεραπεία στον καρκίνο του μαστού

Θεραπεία του καρκίνου εξατομικευμένα

TomoTherapy

H θεραπεία του καρκίνου με αντινεοπλαστόνια

Γονίδιο υπεύθυνο για τον καρκίνο μαστού

Οι μοριακές αλλαγές σε ορμονοεξαρτώμενο καρκίνο μαστού

Απεικονιστικά ευρήματα στους μαστούς

Που μπορεί να εφαρμοστεί το μοριακό προφίλ

Μοριακό προφίλ του όγκου

www.emedi.gr

 

Print Friendly, PDF & Email

ΑΦΗΣΤΕ ΜΙΑ ΑΠΑΝΤΗΣΗ

εισάγετε το σχόλιό σας!
παρακαλώ εισάγετε το όνομά σας εδώ