Το μηνιγγίωμα είναι καλόηθες νεόπλασμα των μηνίγγων
Ειδικός Παθολόγος-Ογκολόγος, MD, PhD
Το μηνιγγίωμα, ICD-10 C70, D32 ή αραχνοειδές ινοβλάστωμα ή λεπτομηνιγγίωμα ή ενδοθηλίωμα της σκληράς μήνιγγας ή μηνιγγικό ινοβλάστωμα είναι σκληρός, βραδέως αναπτυσσόμενος, αγγειακός όγκος που εξορμάται κατά μήκος των μηνιγγικών αγγείων και του άνω επιμήκους κόλπου.
Εισβάλλει στη σκληρά μήνιγγα και το κρανίο και οδηγεί σε λέπτυνση και διάβρωση του κρανίου.
Η πορεία είναι προϊούσα.
Τα μηνιγγιώματα είναι ένα σύνολο διαφορετικών όγκων που προκύπτουν από τις μήνιγγες που είναι τα μεμβρανώδη στρώματα που περιβάλλουν το κεντρικό νευρικό σύστημα.
Μπορούν να προκύψουν από τα κύτταρα των αραχνοειδών λαχνών στις μήνιγγες.
Οι όγκοι αυτοί, συνήθως, είναι καλοήθεις σε φύση τους. Ωστόσο, ένα μικρό ποσοστό είναι κακοήθεις.
Πολλά μηνιγγιώματα δεν παράγουν συμπτώματα σε όλη τη ζωή ενός ατόμου, και αν ανακαλυφθούν, δεν απαιτούν θεραπεία, εκτός από περιοδική παρακολούθηση. Συνήθως, τα συμπτωματικά μηνιγγιώματα απαιτούν θεραπεία είτε με ακτινοχειρουργική ή με χειρουργική επέμβαση.
Πολλά άτομα έχουν μηνιγγιώματα, αλλά παραμένουν ασυμπτωματικοί, έτσι ώστε οι μηνιγγιώματα ανακαλύφθηκαν κατά τη διάρκεια αυτοψίας. Ένα έως δύο τοις εκατό του συνόλου των αυτοψιών αποκαλύπτουν μηνιγγιώματα που ήταν άγνωστα στους ιδιώτες κατά τη διάρκεια της ζωής τους, δεδομένου ότι υπήρχαν ποτέ οποιαδήποτε συμπτώματα. Στη δεκαετία του 1970, οι όγκοι προκαλούν συμπτώματα ανακαλύφθηκαν σε 2 από τα 100.000 άτομα, ενώ οι όγκοι ανακαλύφθηκε χωρίς να προκαλεί συμπτώματα εμφανίστηκαν σε 5,7 από 100.000, για μια συνολική επίπτωση 7,7 / 100.000. Με την έλευση των σύγχρονων εξελιγμένων συστημάτων απεικόνισης, όπως η αξονική τομογραφία, η ανακάλυψη των ασυμπτωματικών μηνιγγιώματα έχει τριπλασιαστεί.
Τα μηνιγγιώματα είναι πιο πιθανό να εμφανιστούν στις γυναίκες από τους άνδρες, αν και όταν εμφανίζονται στους άνδρες, είναι πιο πιθανό να είναι κακοήθη. Τα μηνιγγιώματα μπορεί να εμφανιστούν σε οποιαδήποτε ηλικία, αλλά συνήθως παρατηρούνται σε άνδρες και γυναίκες ηλικίας 50 ετών και άνω.
Σημεία και συμπτώματα μηνιγγιωμάτων
Μικροί όγκοι (π.χ. όγκοι <2,0 cm) δεν προκαλούν συμπτώματα.
Μεγαλύτεροι όγκοι μπορεί να προκαλέσουν συμπτώματα, ανάλογα με το μέγεθος και την τοποθεσία.
Εστιακές επιληπτικές κρίσεις μπορεί να προκληθούν από μηνιγγιώματα.
Προοδευτική σπαστική αδυναμία στα πόδια και ακράτεια μπορεί να προκληθούν από όγκους στην παραοβελιαία μετωποβρεγματική περιοχή.
Οι όγκοι Sylvian μπορεί να προκαλέσουν διαταραχές κινητικές, αισθητηριακές, αφασία, και σπασμούς, ανάλογα με την τοποθεσία.
Αυξημένη ενδοκρανιακή πίεση μπορεί να υπάρχει, αλλά είναι λιγότερο συχνή από ό, τι στα γλοιώματα.
Διπλωπία ή ανώμαλο μέγεθος της κόρης μπορεί να σχετίζονται με πίεση του κοινού κινητικού ή / και πάρεση του απαγωγού νεύρου.
Αιτίες μηνιγγιωμάτων
Τα αίτια των μηνιγγιωμάτων δεν είναι καλά κατανοητά.
Οι περισσότερες περιπτώσεις είναι σποραδικές, εμφανίζονται τυχαία, ενώ μερικές είναι οικογενείς.
Άτομα που έχουν υποβληθεί σε ακτινοβολία, ειδικά στο κεφάλι, διατρέχουν μεγαλύτερο κίνδυνο για την ανάπτυξη μηνιγγιωμάτων, όπως κι εκείνοι οι οποίοι είχαν έναν τραυματισμό εγκεφάλου.
Οι επιζώντες από την ατομική βόμβα από τη Χιροσίμα έχουν υψηλότερη συχνότητα αναπτυσσόμενων μηνιγγιωμάτων.
Οι οδοντιατρικές ακτινογραφίες συσχετίζονται με αυξημένο κίνδυνο για μηνιγγίωμα.
Το υπερβολικό σωματικό λίπος αυξάνει τον κίνδυνο.
Οι άνθρωποι με νευροϊνωμάτωση τύπου 2 (NF-2) έχουν 50% πιθανότητες να αναπτύξουν ένα ή περισσότερα μηνιγγιώματα.
Το 92% των μηνιγγιώματα είναι καλοήθη.
8% είναι είτε άτυπα ή κακοήθη.
Γενετική στα μηνιγγιώματα
Οι πιο συχνές γενετικές μεταλλάξεις (~ 50%) στα μηνιγγιώματα είναι μεταλλάξεις στο γονίδιο νευροϊνωμάτωσης 2 στο χρωμόσωμα 22q.
Οι μεταλλάξεις TRAF7 υπάρχουν στο ένα τέταρτο των μηνιγγιωμάτων.
Οι μεταλλάξεις στα γονίδια TRAF7, KLF4, ΑΚΤ1 και SMO, συνήθως, εκφράζονται σε καλοήθη μηνιγγιώματα της βάσης του κρανίου.
Οι μεταλλάξεις στην NF2 συνήθως εκφράζονται σε μηνιγγιώματα που βρίσκονται στα εγκεφαλικά ημισφαίρια και την παρεγκεφαλίδα.
Παθοφυσιολογία μηνιγγιωμάτων
Τα μηνιγγιώματα προκύπτουν από τα αραχνοειδή κύτταρα, τα περισσότερα εκ των οποίων βρίσκονται κοντά στην περιοχή των φλεβικών κόλπων. Συνήθως, βρίσκονται πάνω από την ανώτερη επιφάνεια του παραοβελιαίου μετωπικού και βρεγματικού λοβού, κατά μήκος του σφηνοειδούς, στις οσφρητικές αυλακώσεις, στην περιοχή Sylvian, στην ανώτερη παρεγκεφαλίδα, στην γεφυροπαρεγκεφαλιδική γωνία, και το νωτιαίο μυελό.
Ο όγκος είναι συνήθως γκρι, καλά οριοθετημένος, και παίρνει τη μορφή του χώρου που καταλαμβάνει.
Συνήθως, έχει σχήμα θόλου, με βάση που βρίσκεται στο σκληρή μήνιγγα.
Σημεία ανάπτυξης μηνιγγιωμάτων
Παραοβελιαίοι τόποι (25%)
Επιφάνεια του εγκεφάλου (19%)
Σφηνοειδής κορυφογραμμή (17%)
Υπερεφιππιακά (9%)
Οπίσθιος βόθρος (8%)
Οσφρητική αύλακα (8%)
Μέσος βόθρος (4%)
Σκηνιδιακός τόπος (3%)
Άλλες όχι συχνές θέσεις είναι η πλευρική κοιλία, το ινιακό τρήμα, και η θήκη οπτικού νεύρου.
Τα μηνιγγιώματα, επίσης, μπορεί να εμφανιστούν ως ένας νωτιαίος όγκος, πιο συχνά στις γυναίκες παρά στους άνδρες.
Ιστολογικά, τα κύτταρα του μηνιγγιώματος είναι σχετικά ομοιόμορφα, με μια τάση να περικυκλώνουν το ένα το άλλο.
Έχουν, επίσης, την τάση για ασβεστοποίηση και είναι ιδιαίτερα αγγειοβριθείς.
Τα μηνιγγιώματα συχνά θεωρούνται καλοήθεις όγκοι που μπορεί να αφαιρεθούν με χειρουργική επέμβαση.
Διάγνωση μηνιγγιωμάτων
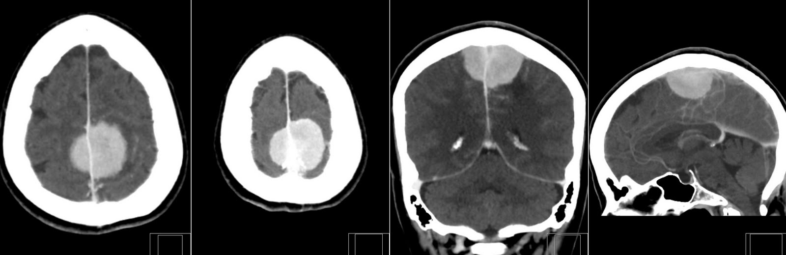
Τα μηνιγγιώματα διαγιγνώσκονται εύκολα με CT, MRI με γαδολίνιο και αρτηριογραφία.
Η πρωτεΐνη στο ΕΝΥ, συνήθως, είναι αυξημένη αν γίνει οσφυϊκή παρακέντηση.
Αν και η πλειοψηφία των μηνιγγιωμάτων είναι καλοήθη, μπορεί να υπάρξουν και κακοήθη.
Καλοήθη (Grade I) – (90%) – ινώδη, μεταβατικά, ψαμμωματώδη, αγγειοβλαστικά
Άτυπα (Grade II) – (7%) – άτυπα κύτταρα με εισβολή εγκεφάλου
Αναπλαστικά / κακοήθη (Grade III) – (2%) – θηλώδη, ραβδοειδή, αναπλαστικά (πιο επιθετικά)
Η μέση συνολική επιβίωση των άτυπων μηνιγγιωμάτων είναι 11,9 χρόνια έναντι 3,3 χρόνια για τα αναπλαστικά μηνιγγιώματα. Η μέση ελεύθερη υποτροπής επιβίωση των άτυπων μηνιγγιωμάτων είναι 11,5 χρόνια έναντι 2,7 χρόνια για τα αναπλαστικά μηνιγγιώματα.
Κακόηθες αναπλαστικό μηνιγγίωμα είναι ένας ιδιαίτερα κακοήθης όγκος με επιθετική συμπεριφορά. Τα νεοπλάσματα του νευρικού συστήματος (όγκοι του εγκεφάλου) δεν μπορούν να κάνουν μετάσταση στο σώμα λόγω του αιματοεγκεφαλικού φραγμού, ενώ το αναπλαστικό μηνιγγίωμα μπορεί, επειδή τα μηνιγγιώματα συνδέονται με αιμοφόρα αγγεία. Έτσι, καρκινικά κύτταρα μπορεί να ξεφύγουν στην κυκλοφορία του αίματος και κάνουν μεταστάσεις, κυρίως, στους πνεύμονες.
Το αναπλαστικό μηνιγγίωμα και το αιμαγγειοπερικύττωμα είναι δύσκολο να διαφοροδιαγνωσθούν.
Θεραπεία μηνιγγιώματος
Παρακολούθηση με απεικονιστικό έλεγχο γίνεται σε μηνιγγιώματα μικρά και ασυμπτωματικά.
Αν τα μηνιγγιώματα προκαλούν συμπτώματα γίνεται χειρουργική επέμβαση.
Τα μηνιγγιώματα, συνήθως, αφαιρούνται χειρουργικά και αυτό οδηγεί σε μόνιμη θεραπεία εάν ο όγκος είναι επιφανειακός επί της σκληράς μήνιγγας και εύκολα προσβάσιμος. Διαρτηριακός εμβολισμός γίνεται προεγχειρητικά. Σε περίπτωση εισβολής των παρακείμενων οστών, η ολική αφαίρεση είναι σχεδόν αδύνατη. Είναι σπάνιο για τα καλοήθη μηνιγγιώματα να μεταλλαχθούν και να γίνουν κακοήθη.
Σε ατελή απομάκρυνση και υποτροπή γίνεται ακτινοθεραπεία.
Η πιθανότητα ενός όγκου να αυξηθεί ή να υποτροπιάσει μετά την επέμβαση μπορεί να εκτιμηθεί με τα κριτήρια Simpson.
| Simpson | Πληρότητα της εκτομής | 10-ετής υποτροπή |
|---|---|---|
| Grade I | πλήρης αφαίρεση με εκτομή του υποκείμενου οστού και της σκληράς | 9% |
| Grade II | πλήρης αφαίρεση και πήξη του σκληράς μήνιγγας | 19% |
| Grade III | πλήρη αφαίρεση χωρίς εκτομή της σκληράς μήνιγγας ή πήξη | 29% |
| Grade IV | δεν είναι πλήρης η εκτομή | 40% |
Ακτινοθεραπεία σε μηνιγγιώματα
Η ακτινοθεραπεία μπορεί να γίνει με φωτόνια, πρωτόνια ή κλασματοποιημένη εξωτερική ακτινοβολία.
Η ακτινοχειρουργική μπορεί να χρησιμοποιηθεί αντί της χειρουργικής επέμβασης σε μικρούς όγκους που βρίσκονται μακριά από κρίσιμες δομές.
Η κλασματοποιημένη ακτινοβολία εξωτερικής δέσμης μπορεί, επίσης, να χρησιμοποιηθεί ως κύρια θεραπεία για όγκους που δεν μπορούν να χειρουργηθούν.
Στην περίπτωση ενός μηνιγγιώματος βαθμού III, γίνεται μετεγχειρητική ακτινοθεραπεία, ανεξάρτητα από το βαθμό της χειρουργικής εκτομής, λόγω του αναλογικού υψηλού ποσοστού τοπικής υποτροπής.
Στα μηνιγγιώματα βαθμού II δεν είναι απαραίτητο να γίνεται ακτινοθεραπεία.
Σε μη πλήρη εκτομή προτείνεται ακτινοβολία.
Χημειοθεραπεία στα μηνιγγιώματα
Οι χημειοθεραπείες δεν είναι αποτελεσματικές.
Παράγοντες αντιπρογεστίνης έχουν χρησιμοποιηθεί, αλλά με ποικίλα αποτελέσματα.
Μερικοί χρησιμοποιούν υδροξυουρία σε ανεγχείρητα ή υποτροπιάζονται μηνιγγιώματα.
Συμπερασματικά για τα μηνιγγιώματα
Τα μηνιγγιώματα είναι, συνήθως, καλοήθεις όγκοι και προέρχονται από τις μήνιγγες που είναι τα μεμβρανώδη στρώματα που περιβάλλουν το κεντρικό νευρικό σύστημα.
Η επίπτωση αυτών των όγκων είναι περίπου 2 περιπτώσεις στις 100.000.
Είναι πιο συχνά σε γυναίκες της 6ης και 7ης δεκαετίας.
Η απώλεια του χρωμοσώματος 22 είναι χαρακτηριστική για τα μηνιγγιώματα.
Η συχνότητα των μηνιγγιωμάτων αυξάνεται για ασθενείς νευροϊνωμάτωση τύπου 2. Αν και τα μηνιγγιώματα μπορεί να εκφράζουν υποδοχείς για ανδρογόνα, οιστρογόνα, προγεστερόνη και σωματοστατίνη οι ορμονικές θεραπείες δεν φαίνεται να έχουν αποτελεσματικότητα.
Πολλοί συνδέουν τα μηνιγγιώματα με τον καρκίνο του μαστού.
Οι ασθενείς με μηνιγγιώματα εμφανίζονται με τυπικά χαρακτηριστικά μαζών στον εγκέφαλο, όπως επιληπτικές κρίσεις και νευρολογικά ελλείμματα.
Οι ασθενείς με μηνιγγιώματα μπορεί να είναι ασυμπτωματικοί και η διάγνωση γίνεται τυχαία με αξονική ή MRI για άλλους λόγους.
Οι όγκοι έχουν χαρακτηριστική εμφάνιση στην MRI με ομοιόμορφη ενίσχυση του σκιαγραφικού κατά μήκος της μήνιγγας και διακριτή απεξάρτηση από το εγκεφαλικό παρέγχυμα. Η ενίσχυση του σκιαγραφικού από τη μάζα είναι γνωστή σαν μηνιγγική ουρά-dural tail και είναι χαρακτηριστικό εύρημα, αλλά δεν υπάρχει σε όλες τις περιπτώσεις.
Μπορεί να συνυπάρχει και οίδημα παρεγχύματος λόγω της πίεσης από την μάζα.
Πολλά μηνιγγιώματα που ανακαλύπτονται τυχαία δεν απαιτούν θεραπεία και η παρακολούθηση είναι αρκετή. Τα 2/3 των ασθενών δεν θα έχουν συμπτώματα.
Όταν υπάρχει πίεση από τη μάζα σε ζωτικές δομές με ή χωρίς συμπτώματα απαιτείται ολική χειρουργική αφαίρεση. Η πλήρης χειρουργική εξαίρεση είναι δυνατή όταν το μηνιγγίωμα εντοπίζεται πάνω από την κυρτότητα του φλοιού, την οσφρητική αύλακα, τον πρόσθιο οβελιαίο κόλπο και τον οπίσθιο βόθρο.
Παρόλα αυτά η εκτομή μπορεί να είναι δύσκολη για όγκους σε άλλα σημεία (σφηνοειδής, παραοβελιαία, τροχιακά, σκηνιδιακά και σε περιοχές του αποκλίματος). Σε αυτές τις περιπτώσεις η ακτινοθεραπεία ή καλύτερα η ακτινοχειρουργική είναι προτιμότερη.
Σε σπάνιες περιπτώσεις τα μηνιγγιώματα έχουν άτυπα ιστολογικά χαρακτηριστικά ή μπορεί να είναι κακοήθη. Σε αυτές τις περιπτώσεις μπορεί να είναι πολύ επιθετικά και η θεραπεία είναι η ίδια με τα καλοήθη μηνιγγιώματα αν και γίνεται στις περισσότερες περιπτώσεις πρώιμα ακτινοθεραπεία.

Διαβάστε περισσότερα για την Σάββη Μάλλιου Κριαρά
Τα κατάλληλα συμπληρώματα διατροφής για το νευρικό σύστημα
Πατήστε, εδώ, για να παραγγείλετε τα κατάλληλα συμπληρώματα διατροφής για το νευρικό σύστημα
Η καθοδήγηση για την επιλογή των ποιων συμπληρωμάτων διατροφής, από τα ανωτέρω, είναι κατάλληλα για την ασθένειά σας θα γίνει σε συνεννόηση με το θεράποντα ιατρό.
Διαβάστε, επίσης,
Οι συχνότεροι ενδοκρανιακοί όγκοι
Μικροσκοπικές ενδείξεις της προέλευσης ενός όγκου
Περιφερική παράλυση προσωπικού νεύρου
Είναι ασφαλείς οι ακτινογραφίες δοντιών;
Σε ποιες εγκεφαλικές βλάβες γίνεται εμβολισμός






