Ασκίτης είναι η παραγωγή και συσσώρρευση ορώδους υγρού στην περτοναϊκή κοιλότητα
Ο ασκίτης μπορεί να εμφανισθεί σε οποιαδήποτε κατάσταση προκαλεί γενικευμένο οίδημα.
Στα παιδιά το νεφρωσικό σύνδρομο και οι κακοήθειες είναι οι κυρίαρχες αιτίες.
Στους ενήλικες η κίρρωση, η καρδιακή ανεπάρκεια, το νεφρωσικό σύνδρομο και η χρόνια περιτονίτιδα είναι οι πιο κοινές αιτίες.
Ασκίτης είναι η ανώμαλη συσσώρευση υγρού στην κοιλιακή χώρα (περισσότερα από 25 ml).
Τα συμπτώματα περιλαμβάνουν αυξημένο μέγεθος κοιλίας, αυξημένο βάρος, κοιλιακή δυσφορία και δύσπνοια.
Οι επιπλοκές είναι η αυτόματη βακτηριακή περιτονίτιδα.
Στον αναπτυγμένο κόσμο, η πιο κοινή αιτία είναι η κίρρωση του ήπατος. Άλλες αιτίες είναι ο καρκίνος, η καρδιακή ανεπάρκεια, η φυματίωση, η παγκρεατίτιδα και η απόφραξη της ηπατικής φλέβας.
Στην κίρρωση, ο βασικός μηχανισμός περιλαμβάνει υψηλή αρτηριακή πίεση στο σύστημα πύλης του ήπατος και δυσλειτουργία των αιμοφόρων αγγείων.
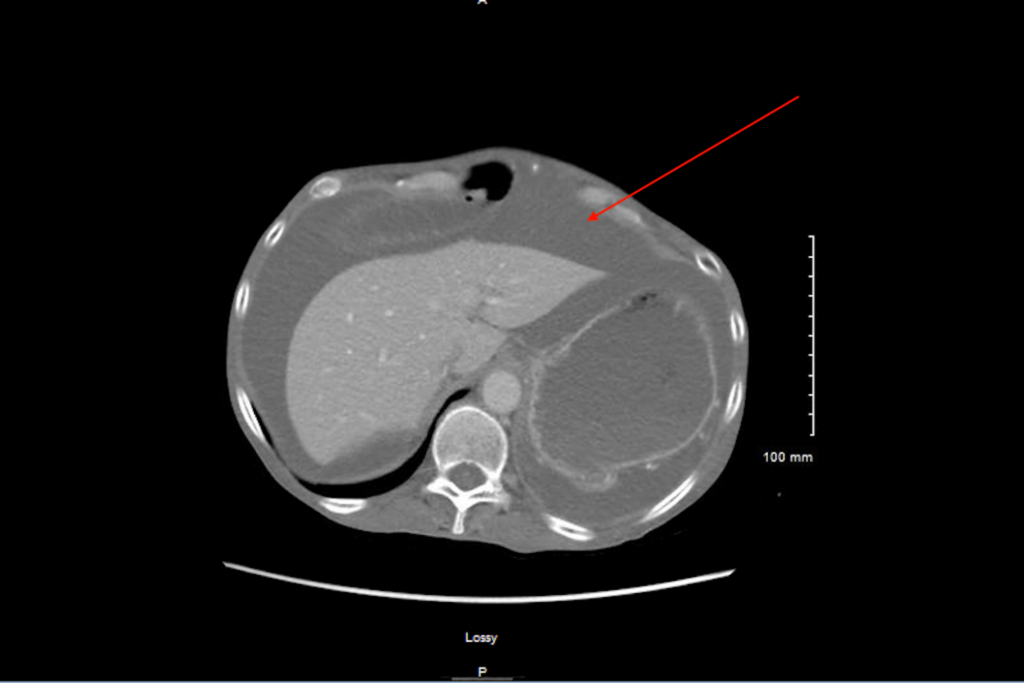
Η διάγνωση γίνεται με υπερηχογράφημα, αξονική και μαγνητική τομογραφία.
Η εξέταση του υγρού μπορεί να βοηθήσει στον προσδιορισμό της υποκείμενης αιτίας.
Η θεραπεία, συχνά, περιλαμβάνει δίαιτα χαμηλού αλατιού, φάρμακα, όπως, διουρητικά και αποστράγγιση του υγρού. Μπορεί να τοποθετηθεί μια συσκευή ηπατικής παράκαμψης (TIPS-transjugular intrahepatic portosystemic shunt), αλλά, αυτή σχετίζεται με επιπλοκές, όπως εγκεφαλοπάθεια. Μπορεί να γίνει θεραπεία της υποκείμενης αιτίας, όπως μεταμόσχευση ήπατος, για παράδειγμα. Όσοι έχουν κίρρωση, κατά 50% αναπτύσσουν ασκίτη δέκα χρόνια μετά τη διάγνωση. Από αυτούς που αναπτύσσουν ασκίτη, οι μισοί πεθάνουν μέσα σε τρία χρόνια.
Επηρεάζονται το καρδιοαγγειακό, το αιμοποιητικό, το λεμφικό, το ανοσολογικό και το γαστρεντερικό σύστημα.
Σημεία και συμπτώματα ασκίτη
Ο ήπιος ασκίτης είναι δύσκολο να παρατηρηθεί, αλλά ο σοβαρός ασκίτης οδηγεί σε κοιλιακή διάταση. Τα άτομα με ασκίτη, γενικά, διαμαρτύρονται για προοδευτική κοιλιακή βαρύτητα και πίεση, καθώς και για δυσκολία στην αναπνοή λόγω μηχανικής πίεσης του διαφράγματος.
Ο ασκίτης ανιχνεύεται με φυσική εξέταση της κοιλιάς, όπου υπάρχει ορατή διόγκωση και πλευρική διόγκωση, διαφορά ήχου μετά από πλήξη στα πλευρικά τοιχώματα που μετατοπίζεται όταν το πρόσωπο είναι στραμμένο στο πλάι και ροή του υγρού. Όταν γίνει ώθηση στη μία πλευρά δημιουργείται ένα φαινόμενο που μοιάζει με κύμα που γίνεται αισθητό στην αντίθετη πλευρά της κοιλιάς.
Μπορεί να υπάρχουν και άλλα σημεία ασκίτη λόγω της υποκείμενης αιτίας. Για παράδειγμα, στην πυλαία υπέρταση (λόγω κίρρωσης ή ίνωσης του ήπατος), υπάρχει οίδημα στα πόδια, μώλωπες, γυναικομαστία, αιματέμεση ή διανοητικές μεταβολές λόγω εγκεφαλοπάθειας. Εκείνοι με ασκίτη λόγω καρκίνου (περιτοναϊκή καρκινωμάτωση) μπορεί να διαμαρτύρονται για χρόνια κόπωση ή απώλεια βάρους. Εκείνοι με ασκίτη λόγω καρδιακής ανεπάρκειας μπορεί, επίσης, να διαμαρτύρονται για δύσπνοια, καθώς και συριγμό και δυσανεξία στη σωματική άσκηση.
Κοιλιακός πόνος
Κοιλιακή πληρότητα
Κοιλιακή δυσφορία
Κοιλιακή διάταση και διόγκωση
Στένεμα ρούχων
Κόντεμα αναπνοής
Ανορεξία
Ναυτία
Πρώιμος κορεσμός
Πύρωση
Λαγόνιο άλγος
Αύξηση βάρους
Ορθόπνοια
Λαγόνια διόγκωση
Κοιλιακό κύμα υγρού και μετακινούμενη αμβλύτητα
Οίδημα πέους
Οίδημα οσχέου
Πλευριτικό υγρό
Ομφαλοκήλη
Οίδημα ποδιών και σφυρών
Μουσικοί ήχοι
Ταχυκαρδία
Επιπλοκές ασκίτη
Αυτόματη βακτηριακή περιτονίτιδα
Ηπατονεφρικό σύνδρομο
Θρόμβωση. Η θρόμβωση της ηπατικής και η θρόμβωση της σπληνικής φλέβας συνεπάγονται πήξη του αίματος που επηρεάζει την ηπατική πυλαία φλέβα ή κιρσούς που σχετίζονται με τη σπληνική φλέβα. Αυτό μπορεί να οδηγήσει σε πυλαία υπέρταση και μείωση της ροής αίματος. Όταν ένα άτομο με κίρρωση του ήπατος πάσχει από θρόμβωση, δεν είναι δυνατή η εκτέλεση μεταμόσχευσης ήπατος, εκτός εάν η θρόμβωση είναι πολύ μικρή. Σε περίπτωση ελάσσονος θρόμβωσης, υπάρχουν κάποιες πιθανότητες επιβίωσης χρησιμοποιώντας ηπατικά μοσχεύματα.

Αιτίες ασκίτη
-Διίδρωμα: Υψηλός λόγος αλβουμίνης ορού/ασκιτικού υγρού
Κίρρωση – 81% (αλκοολική 65%, ιική 10%, άγνωστη 6%)
Καρδιακή ανεπάρκεια – 3%
Ηπατική φλεβική απόφραξη: σύνδρομο Budd-Chiari ή φλεβοαποφρακτική νόσος
Συμπιεστική περικαρδίτιδα
Σύνδρομο Kwashiorkor (παιδικός υποσιτισμός με απώλεια πρωτεΐνης-ενέργειας)
-Εξίδρωμα: Χαμηλός λόγος αλβουμίνης ορού/ασκιτικού υγρού
Καρκίνος (μεταστατική και πρωτοπαθής περιτοναϊκή καρκινωμάτωση) – 10%
Λοίμωξη: Φυματίωση – 2% ή αυτόματη βακτηριακή περιτονίτιδα
Παγκρεατίτιδα – 1%
Ορογονίτιδα
Νεφρωσικό σύνδρομο
Κληρονομικό αγγειοοίδημα
Σύνδρομο Meigs: Η τριάδα του ασκίτη, της υπεζωκοτικής συλλογής και καλοήθους όγκου των ωοθηκών. Το σύνδρομο Meigs θεραπεύεται μετά την εκτομή του όγκου. Επειδή τα διαδιαφραγματικά λεμφικά κανάλια έχουν μεγαλύτερη διάμετρο στα δεξιά, η υπεζωκοτική συλλογή είναι κλασικά στη δεξιά πλευρά.
Αγγειίτιδα
Υποθυρεοειδισμός
Αιμοκάθαρση
Μεσοθηλίωμα περιτοναίου
Κοιλιακή φυματίωση
Μαστοκυττάρωση
Περιτοναϊκή φλεγμονή και διαπύηση
Φυματίωση
Μυκητίαση
Χρόνια βακτηριδίαση λόγω ξένου σώματος ή συριγγίου
Ρήξη σπλάχνων
Κοκκιωματώδης περιτονίτιδα
Αγγειίτιδα
Ηωσινοφιλική γαστρεντερίτιδα
Περιτοναϊκή διασπορά από καρκίνο
Καρκίνος ωοθηκών
Καρκίνος παγκρέατος
Μεταβολική νόσος
Υποθυρεοειδισμός
Οικογενής μεσογειακός πυρετός
Μεσεντέρια ή σπλαχνική λεμφαγγειεκτασία
Εντεροπάθεια από απώλεια πρωτεϊνών
Κίρρωση και πυλαία υπέρταση
Κίρρωση
Συγγενής ηπατική ίνωση
Απόφραξη ηπατικής φλέβας ή σύνδρομο Budd-Chiari
Τμηματική οζώδης μετατροπή
Απόφραξη της κοίλης φλέβας
Πολλαπλοί μεταστατικοί όζοι στο ήπαρ
Τραυματικά αίτια
Συρίγγιο παγκρέατος
Πεπτικό συρίγγιο
Λεμφικό συρίγγιο
Αιμοπεριτόναιο από τραύμα, έκτοπη κύηση ή όγκο
Καρδιακή και ηπατική συμφόρηση
Καρδιακή ανεπάρκεια
Συμπιεστική περικαρδίτιδα
Στένωση ή ανεπάρκεια τριγλώχινας
Ούρα
Κακοήθεια
Απόφραξη λεμφικού
Λευχαιμία
Λέμφωμα
Άμεση περιτοναϊκή διήθηση με διασπορά από τις ωοθήκες
Κακή θρέψη με υποαλβουμιναιμία
Φιλαρίαση
Διαφορική διάγνωση ασκίτη
Παχυσαρκία
Αέρας και υγρό σε διατεταμένο πεπτικό

Διάγνωση ασκίτη
Ασκιτικό υγρό
Λευκά αιμοσφαίρια περισσότερα από 500 mm3
Λευκοκυτταρικός τύπος περισσότερα από 250 πολυμορφοπύρηνα ουδετερόφιλα λευκοκύτταρα
Ολική πρωτεϊνη μεγαλύτερη από 2 gr/dl
Καλλιέργεια ασκιτικού υγρού σε 10 ml ασκιτικού υγρού
Γαλακτική δεϋδρογενάση μεγαλύτερη από 200IU/L
Αμυλάση ασκίτη μεγαλύτερη από την αμυλάση ορού
Έλεγχος για οξεάντοχα ή μύκητες ή Gram θετικούς μικροργανισμούς ή σκώληκες
Έλεγχος αν τα τριγλυκερίδια ασκίτη είναι περισσότερα από τα τριγλυκερίδια ορού
Γίνεται διαγνωστική παρακέντηση, λαπαροσκόπηση, υπέρηχος, μαγνητική τομογραφία, αξονική τομογραφία
Διίδρωμα
Πρωτεϊνη μικρότερη από 2 gr/dl
Γαλακτική αφυδρογονάση μικρότερη από 200 IU/L
Συμφορητική καρδιακή ανεπάρκεια
Συμπιεστική περικαρδίτιδα
Απόφραξη κάτω κοίλης φλέβας
Σύνδρομο Budd-Chiari
Κίρρωση
Νεφρωσικό σύνδρομο
Υποαλβουμιναιμία
Εξίδρωμα
Πρωτεϊνη μεγαλύτερη από 2 gr/dl
Γαλακτική δεϋδρογενάση μεγαλύτερη από 200 IU/L
Πολυμορφοπύρηνα περισσότερα από 200 mm3
Νεοπλάσματα
Φυματίωση
Παγκρεατίτιδα
Μυξοίδημα
Αγγειίτιδα
Σε κίρρωση του ήπατος με ασκίτη
Πρέπει να διεξάγεται γενική αίματος, βασικό μεταβολικό προφίλ, ηπατικά ένζυμα και πήξη. Οι περισσότεροι ειδικοί συστήνουν να γίνει μια διαγνωστική παρακέντηση εάν ο ασκίτης είναι νέος ή αν το άτομο με ασκίτη εισάγεται στο νοσοκομείο. Το υγρό στη συνέχεια εξετάζεται για τη συνολική εμφάνιση, το επίπεδο πρωτεΐνης, την αλβουμίνη και τον αριθμό των κυττάρων (ερυθρά και λευκά). Επιπρόσθετες δοκιμές θα πραγματοποιηθούν εάν υποδειχθεί, όπως μικροβιολογική καλλιέργεια, χρώση Gram και κυτταρολογική.
Ο λόγος αλβουμίνης ορού-ασκίτη είναι καθοριστική για να βρεθούν οι αιτίες του ασκίτη. Μια υψηλή τιμή (> 1,1 g / dL) υποδεικνύει ότι ο ασκίτης οφείλεται σε πυλαία υπέρταση. Μία χαμηλή τιμή (<1,1 g / dL) υποδηλώνει ασκίτη μη πυλαίας υπέρτασης.
Ταξινόμηση του ασκίτη
Βαθμός 1: ήπιος, ορατός μόνο σε υπερήχους και CT
Βαθμός 2: ανιχνεύσιμος με κλινική εξέταση
Βαθμός 3: άμεσα ορατός, και επιβεβαιώνεται με τη δοκιμή υγρού κύματος
Παθοφυσιολογία ασκίτη
Το διίδρωμα είναι αποτέλεσμα αυξημένης πίεσης στην πυλαία φλέβα (> 8 mmHg, συνήθως, γύρω στα 20 mmHg), π.χ. λόγω κίρρωσης, ενώ τα εξιδρώματα παρατηρούνται λόγω φλεγμονής ή κακοήθειας, είναι υψηλά σε πρωτεΐνη και γαλακτική αφυδρογονάση και έχουν χαμηλό pH (<7,30), χαμηλό επίπεδο γλυκόζης και περισσότερα λευκά αιμοσφαίρια. Τα διιδρώματα έχουν χαμηλή πρωτεΐνη (<30 g / L), χαμηλή LDH, υψηλό pΗ, φυσιολογική γλυκόζη και λιγότερα από 1 λευκά κύτταρα ανά 1000 mm3. Κλινικά, το πιο χρήσιμο μέτρο είναι η διαφορά μεταξύ των συγκεντρώσεων λευκωματίνης ορού και ασκιτικού υγρού. Μια διαφορά μικρότερη από 1 g / dl (10 g / L) συνεπάγεται εξίδρωμα.
Η συλλογή του υγρού μέσα στην κοιλιακή χώρα οδηγεί σε επιπρόσθετη κατακράτηση υγρών από τα νεφρά λόγω διεγερτικής επίδρασης στις ορμόνες πίεσης του αίματος, κυρίως, στην αλδοστερόνη. Το συμπαθητικό νευρικό σύστημα ενεργοποιείται, επίσης και η παραγωγή ρενίνης αυξάνεται λόγω μειωμένης αιμάτωσης των νεφρών. Η ακραία διάσπαση της νεφρικής ροής αίματος μπορεί να οδηγήσει σε ηπατονεφρικό σύνδρομο. Άλλες επιπλοκές του ασκίτη είναι η αυτόματη βακτηριακή περιτονίτιδα, λόγω μειωμένων αντιβακτηριακών παραγόντων στο ασκτικό υγρό, όπως το συμπλήρωμα.
Θεραπεία ασκίτη
Για ασκίτη με οίδημα
Περιορισμός άλατος και διουρητικά, συνήθως, προκαλούν διούρηση.
Περιορισμός νατρίου.
Περιορισμός νερού όταν τα επίπεδα νατρίου του ορού πέσουν κάτω από 130 mEq/L.
Η μέγιστη απώλεια νερού υπολογίζεται σε 2.5 Kg/ημέρα.
Για ασκίτη χωρίς οίδημα
Περιορισμός νατρίου και νερού και διουρητικά.
Μέγιστη απώλεια 1 Kg/ημέρα.
Ασκίτης που αυξάνεται ή δεν απαντά στη θεραπεία
Λαμβάνεται δείγμα νατρίου ούρων για να αναγνωρισθεί η αντίδραση.
Παρακέντηση έως 10 λίτρα εάν είναι αυξημένη η ουρία ή η κρεατινίνη, αντικατάσταση της αλβουμίνης ενδοφλέβια, για κάθε 10 gr/Lt που μετακινείται.
Σε χρόνιες περιπτώσεις τοποθετείται φλεβοπεριτοναϊκή επικοινωνία ή σφαγιτιδο ενδοηπατική πυλαία επικοινωνία-TIPS. Η TIPS είναι πιο αποτελεσματική στην απομάκρυνση του ασκίτη σε σύγκριση με την παρακέντηση … ωστόσο, τα άτομα με TIPS αναπτύσσουν ηπατική εγκεφαλοπάθεια σημαντικά πιο συχνά.
Τα διουρητικά
Σπιρονολακτόνη 100-300 mg/ημέρα από το στόμα σε μια δόση για την κίρρωση και φουροσεμίδη 40-120 mg/ημέρα για τις άλλες αιτιολογίες. Έτσι, γίνεται καθαρή απώλεια νατρίου στα ούρα.
Κλάσμα νατρίου σε mEq/L x εκτιμώμενη αποβολή ούρων (1 L) πρέπει να ισούται με την εκτιμώμενη διαιτητική πρόσληψη νατρίου. Πρέπει να γίνεται μέτρηση ηλεκτρολυτών. Γίνεται έλεγχος για μεταβολές στο διανοητικό επίπεδο, ολιγουρία, αζωθαιμία και υπερκαλιαιμία, για σημεία εξάντλησης, εγκεφαλοπάθεια και νεφρική ανεπάρκεια. Όταν χορηγείται σπιρονολακτόνη δεν χορηγούνται συμπληρώματα καλίου.
Η σπιρονολακτόνη είναι το φάρμακο επιλογής, επειδή εμποδίζει τον υποδοχέα αλδοστερόνης στο σωληνάριο συλλογής. Το επίπεδο του καλίου στον ορό και η νεφρική λειτουργία θα πρέπει να παρακολουθούνται στενά.
Παρακολούθηση της διούρησης: Η διούρηση παρακολουθείται με ζύγισμα του ατόμου καθημερινά. Ο στόχος είναι η απώλεια βάρους όχι μεγαλύτερης από 1,0 kg / ημέρα για άτομα με ασκίτη και περιφερικό οίδημα και όχι περισσότερο από 0,5 kg / ημέρα για άτομα με ασκίτη μόνο. Ελέγχεται και η συγκέντρωση νατρίου στα ούρα. Η δοσολογία αυξάνεται έως ότου εμφανιστεί αρνητική ισορροπία νατρίου. Μια τυχαία αναλογία νατρίου προς κάλιο ούρων > 1 δείχνει 90% ευαισθησία στην πρόβλεψη του αρνητικού ισοζυγίου (> 78-mmol / ημέρα απέκκριση νατρίου).
Διουρητική αντοχή: Η διουρητική αντίσταση μπορεί να προβλεφθεί με χορήγηση ενδοφλέβιας φουροσεμίδης 80 mg μετά από 3 ημέρες χωρίς διουρητικά και με δίαιτα νατρίου 80 mEq ημερησίως / ημέρα. Η απέκκριση νατρίου ούρων σε διάστημα 8 ωρών <50 mEq / 8 ώρες προβλέπει αντίσταση.
Εάν το άτομο παρουσιάζει αντίσταση ή κακή ανταπόκριση στη θεραπεία με διουρητικά, μπορεί να χρειαστεί υπερδιήθηση ή υδραφαίρεση, για να επιτευχθεί επαρκής έλεγχος της κατακράτησης υγρών και της συμφόρησης. Η χρήση τέτοιων μηχανικών μεθόδων απομάκρυνσης υγρών μπορεί να παράγει σημαντικά κλινικά οφέλη σε άτομα με διουρητική αντοχή και μπορεί να αποκαταστήσει την ανταπόκριση σε συμβατικές δόσεις διουρητικών.
Η υπερβολική διούρηση μπορεί να οδηγήσει σε υποκαλιαιμία χειρότερη της ηπατικής εγκεφαλοπάθειας, ενδοαγγειακή εξάντληση όγκου, αζωθαιμία και νεφρική ανεπάρκεια.

Παρακέντηση
Σε εκείνους με σοβαρό ασκίτη, υπό τάση, μπορεί να χρειαστεί θεραπευτική παρακέντηση. Καθώς, αυτό μπορεί να καταστρέφει τα επίπεδα αλβουμίνης ορού στο αίμα, η αλβουμίνη γενικά χορηγείται ενδοφλέβια σε αναλογία με την ποσότητα του ασκίτη που έχει αφαιρεθεί.
Χειρουργική επέμβαση
Ο ασκίτης που είναι ανθεκτικός στην ιατρική θεραπεία θεωρείται μια ένδειξη για μεταμόσχευση ήπατος.
Ο εξιδρωτικός ασκίτης γενικά δεν αποκρίνεται στον χειρισμό της ισορροπίας του άλατος ή της διουρητικής θεραπείας. Η επαναλαμβανόμενη παρακέντηση και η θεραπεία της υποκείμενης αιτίας είναι ο βασικός άξονας της θεραπείας.
Τα κατάλληλα συμπληρώματα διατροφής για τον ασκίτη
Πατήστε, εδώ, για να παραγγείλετε τα κατάλληλα συμπληρώματα διατροφής για τον ασκίτη
Η καθοδήγηση για την επιλογή των ποιων συμπληρωμάτων διατροφής, από τα ανωτέρω, είναι κατάλληλα για την ασθένειά σας θα γίνει σε συνεννόηση με το θεράποντα ιατρό
Διαβάστε, επίσης,
Ο καρκίνος ωοθηκών θεραπεύεται
Ο ασθενής με δύσπνοια στα επείγοντα





