Ο απλός έρπητας είναι μια ιογενής λοίμωξη
Ο απλός έρπητας είναι μια ιογενής λοίμωξη που προκαλείται από τον ιό του απλού έρπητα.
Οι μολύνσεις κατηγοριοποιούνται με βάση το μέρος του σώματος που έχει μολυνθεί.
Ο στοματικός έρπης περιλαμβάνει το πρόσωπο ή το στόμα. Παρουσιάζεται με μικρές φουσκάλες σε ομάδες που, συχνά, συνοδεύονται από πυρετό ή πονόλαιμο.
Ο έρπης των γεννητικών οργάνων, συχνά, έχει ελάχιστα συμπτώματα ή σχηματίζει φυσαλίδες που ανοίγουν και οδηγούν σε μικρά έλκη. Συνήθως, επουλώνονται για δύο έως τέσσερις εβδομάδες. Μπορεί να εμφανιστούν μυρμήγκιασμα ή πόνοι πριν εμφανιστούν οι φουσκάλες.
Το πρώτο επεισόδιο είναι, συχνά, πιο σοβαρό και μπορεί να σχετίζεται με πυρετό, μυϊκούς πόνους, πρησμένους λεμφαδένες και πονοκεφάλους. Με την πάροδο του χρόνου, τα επεισόδια ενεργού νόσου μειώνονται στη συχνότητα και τη σοβαρότητα.
Άλλες διαταραχές που προκαλούνται από τον απλό έρπητα περιλαμβάνουν: έρπητας δακτύλων, έρπητας ματιού, έρπητας εγκεφάλου, και νεογνικό έρπητα όταν επηρεάζει ένα νεογέννητο.
Υπάρχουν δύο τύποι ιών του απλού έρπητα, τύπου 1 (HSV-1) και τύπου 2 (HSV-2).
Ο HSV-1 προκαλεί, συχνότερα, λοιμώξεις στο στόμα, ενώ ο HSV-2 προκαλεί συχνότερα λοιμώξεις στα γεννητικά όργανα.
Μεταδίδονται με άμεση επαφή με σωματικά υγρά ή βλάβες ενός μολυσμένου ατόμου. Η μετάδοση ενδέχεται να συμβεί όταν δεν υπάρχουν συμπτώματα.
Ο έρπης των γεννητικών οργάνων ταξινομείται ως σεξουαλικά μεταδιδόμενη λοίμωξη.
Μπορεί να εξαπλωθεί στο βρέφος κατά τον τοκετό.
Μετά τη μόλυνση, οι ιοί μεταφέρονται κατά μήκος των αισθητήριων νεύρων στα σώματα των νευρικών κυττάρων, όπου κατοικούν δια βίου.
Οι αιτίες υποτροπής μπορεί να περιλαμβάνουν: μειωμένη ανοσολογική λειτουργία, άγχος και έκθεση στο ηλιακό φως.
Ο έρπης του στόματος και των γεννητικών οργάνων, συνήθως, διαγιγνώσκεται με βάση τα συμπτώματα που παρουσιάζουν. Η διάγνωση μπορεί να επιβεβαιωθεί με ιική καλλιέργεια ή ανίχνευση DNA έρπητα στο υγρό από τις φουσκάλες. Η εξέταση του αίματος για αντισώματα κατά του ιού μπορεί να επιβεβαιώσει μια προηγούμενη λοίμωξη, αλλά θα είναι αρνητική σε νέες λοιμώξεις.
Η πιο αποτελεσματική μέθοδος αποφυγής λοιμώξεων των γεννητικών οργάνων είναι η αποφυγή κολπικού, στοματικού και πρωκτικού σεξ. Η χρήση προφυλακτικού μειώνει τον κίνδυνο. Η καθημερινή αντιιική φαρμακευτική αγωγή που λαμβάνεται από κάποιον που έχει τη λοίμωξη μπορεί, επίσης, να μειώσει την εξάπλωση.
Η παρακεταμόλη (ακεταμινοφαίνη) και η τοπική λιδοκαΐνη μπορούν να χρησιμοποιηθούν για να βοηθήσουν στα συμπτώματα.
Οι θεραπείες με αντιιικά φάρμακα, όπως το aciclovir ή το valaciclovir μπορούν να μειώσουν τη σοβαρότητα των συμπτωματικών επεισοδίων.
Η επίπτωση, σε παγκόσμιο επίπεδο, είτε του ιού HSV-1 είτε του ιού HSV-2 κυμαίνεται μεταξύ 60% και 95% σε ενήλικες.
Ο HSV-1 αποκτάται, συνήθως, κατά την παιδική ηλικία. Τα ποσοστά και των δύο αυξάνονται, καθώς, οι άνθρωποι γερνούν. Τα ποσοστά του HSV-1 κυμαίνονται μεταξύ 70% και 80% σε πληθυσμούς χαμηλής κοινωνικοοικονομικής κατάστασης και 40% έως 60% σε πληθυσμούς βελτιωμένης κοινωνικοοικονομικής κατάστασης. Υπολογίζεται ότι 536 εκατομμύρια άνθρωποι παγκοσμίως (16% του πληθυσμού) μολύνθηκαν από τον HSV-2. Τα περισσότερα άτομα με HSV-2 δεν αντιλαμβάνονται ότι έχουν μολυνθεί.
Ο απλός έρπητας είναι ιογενής λοίμωξη με ποικιλία κλινικών εκδηλώσεων. Συνήθως εμφανίζεται με επώδυνες φυσαλίδες κατά ομάδες στο δέρμα, στον κερατοειδή ή στους βλεννογόνους. Μπορεί να παρουσιασθεί σαν εγκεφαλίτιδα, πνευμονία ή διάσπαρτη λοίμωξη.
Συνήθης πορεία της πρωτολοίμωξης είναι δύο βδομάδες.
Η διάρκεια των υποτροπών ποικίλει.
Η αποβολή του ιού στις υποτροπές είναι πιο σύντομη από την πρωτολοίμωξη.
Νεογνά ή άτομα με ανοσοανεπάρκεια παρουσιάζουν μεγαλύτερη νοσηρότητα ή θνητότητα.
Επηρεαζόμενα συστήματα: Δέρμα/εξωκρινείς, Νευρικό
Επικρατέστερη ηλικία: Όλες οι ηλικίες
Επικρατέστερο φύλο: Άνδρες = Γυναίκες

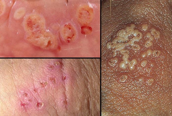
ΣΗΜΕΙΑ ΚΑΙ ΣΥΜΠΤΩΜΑΤΑ ΑΠΛΟΥ ΕΡΠΗΤΑ
Η μόλυνση από τον απλό έρπητα HSV προκαλεί πολλές διαφορετικές ιατρικές διαταραχές Η συχνή λοίμωξη του δέρματος ή του βλεννογόνου μπορεί να επηρεάσει το πρόσωπο και το στόμα, τα γεννητικά όργανα (έρπης των γεννητικών οργάνων) ή τα χέρια (έρπητας δακτύλων).
Πιο σοβαρές διαταραχές εμφανίζονται όταν ο ιός μολύνει και βλάπτει τον οφθαλμό (κερατίτιδα από έρπητα) ή εισβάλλει στο κεντρικό νευρικό σύστημα, βλάπτοντας τον εγκέφαλο (εγκεφαλίτιδα από έρπητα).
Άτομα με ανώριμο ή κατασταλμένο ανοσοποιητικό σύστημα, όπως νεογέννητα, αποδέκτες μεταμοσχεύσεων ή άτομα με AIDS, είναι επιρρεπή σε σοβαρές επιπλοκές από λοιμώξεις από HSV. Η λοίμωξη από τον HSV έχει, επίσης, συσχετιστεί με γνωστικά ελλείμματα, με διπολική διαταραχή, και τη νόσου Alzheimer, αν και αυτό συχνά εξαρτάται από τη γενετική του μολυσμένου ατόμου.
Σε όλες τις περιπτώσεις, ο HSV δεν αφαιρείται ποτέ από το σώμα και από το ανοσοποιητικό σύστημα. Μετά από μια πρωτογενή λοίμωξη, ο ιός εισέρχεται στα νεύρα στη θέση της πρωτογενούς λοίμωξης, μεταναστεύει στο κυτταρικό σώμα του νευρώνα και εγκαθίσταται στο γάγγλιο. Ως αποτέλεσμα μιας πρωτογενούς λοίμωξης, το σώμα παράγει αντισώματα έναντι του συγκεκριμένου τύπου HSV που εμπλέκεται, αποτρέποντας την επακόλουθη μόλυνση αυτού του τύπου σε διαφορετική θέση. Σε άτομα που έχουν προσβληθεί από HSV-1, η ορομετατροπή μετά από στοματική λοίμωξη αποτρέπει επιπρόσθετες λοιμώξεις HSV-1, όπως, ο έρπητας των χεριών, ο έρπης των γεννητικών οργάνων και ο έρπης του ματιού. Η προηγούμενη ορομετατροπή HSV-1 φαίνεται να μειώνει τα συμπτώματα μιας μεταγενέστερης λοίμωξης HSV-2.
Πολλά άτομα που έχουν μολυνθεί με HSV-2 δεν εμφανίζουν φυσικά συμπτώματα.
- Φυσαλίδες – συνήθως, κατά ομάδες, σπάζουν και σχηματίζονται επώδυνες ελκωτικές βλάβες, συχνά σε ερυθηματώδη βάση
Ερπητικές εκδηλώσεις (κλασσικές;) κατά την πρωτολοίμωξη:
- Ερπητική παρωνυχία – τοπική πρωτοπαθής προσβολή σε δάκτυλο με έντονο κνησμό και πόνο που εξελίσσεται σε φυσαλιδώδη βλάβη με οίδημα και ερύθημα. Μπορεί να δώσει την εντύπωση βακτηριδιακής παρωνυχίας, μερικές φορές συνοδεύεται από νευραλγία και μασχαλιαία αδενοπάθεια, μετά από 2-3 βδομάδες χωρίς διάνοιξη. Πρωτοπαθής ενοφθαλμισμός μπορεί να εμφανιστεί σε άλλες τραυματισμένες περιοχές του δέρματος (όπως στον έρπη των παλαιστών)
- Ερπητική ουλοστοματίτιδα και φαρυγγίτιδα – η πρωτοπαθής προσβολή με HSV1 συμβαίνει, συνήθως, κατά την πρώτη παιδική ηλικία. Χρόνος επώασης από 2-12 ημέρες. Ακολουθεί πυρετός, πονόλαιμος, οίδημα και ερύθημα φάρυγγα. Μικρές φυσαλίδες εμφανίζονται στο φαρυγγικό και στοματικό βλεννογόνο. Εξελίσσονται ταχέως σε εφελκίδες αυξάνονται σε αριθμό που επεκτείνονται στη μαλακή υπερώα, στο στοματικό βλεννογόνο, στη γλώσσα, στο έδαφος του στόματος και συχνά στα χείλη και στις παρειές. Ευαίσθητα ούλα που μπορεί να αιμορραγούν εύκολα, δύσοσμη αναπνοή, αυχενική λεμφαδενοπάθεια, πυρετός, γενικευμένη τοξικότητα (καταβολή), αδυναμία κατά τη μάσηση και ακούσια σιελόρροια που οδηγεί σε αφυδάτωση, πιθανά αυτοενοφθαλμισμός άλλων περιοχών. Υποχωρεί σε 10-14 μέρες με βραδύτερη υποχώρηση της αδενοπάθειας
- Πρωτοπαθής έρπης των γεννητικών οργάνων
- Πρωτοπαθής ερπητική κερατοεπιπεφυκίτιδα – συνήθως από HSV1. Εμφανίζεται ως αμφοτερόπλευρη επιπεφυκίτιδα με τοπική αδενοπάθεια, ως βλεφαρίτιδα με φυσαλίδες του βλεφαρικού χείλους, ως κερατίτιδα με δενδριτικές βλάβες ή κηλιδοειδείς θολερότητες. Διαρκεί 2-3 εβδομάδες ή περισσότερο όταν υπάρχει συστηματική μόλυνση
- Ερπητικό έκζεμα – αναπτύσσεται ευλογιοειδές εξάνθημα σε έδαφος ατοπικής δερματίτιδας. Μια αιτία του ανεμοβλογοειδούς εξανθήματος Kaposi. Ξαφνική εμφάνιση βλαβών σε τυπικές ατοπικές περιοχές του δέρματος (άνω επιφάνεια του κορμού, λαιμός, κεφαλή). Υψηλός πυρετός, τοπικό οίδημα, αδενοπάθεια, ομφαλωτές φυσαλίδες που καλύπτονται από αιματηρές εφελκίδες ή εξελίσσονται σε φλύκταινες. Εμφανίζονται σε σωρούς έως μία εβδομάδα. Σημαντική οροαιματηρή εξίδρωση και δευτεροπαθείς βακτηριακές επιμολύνσεις μπορεί να οδηγήσουν στον θάνατο. Παρόμοιος ενοφθαλμισμός του ιού λαμβάνει χώρα και σε ασθενείς με σοβαρά εγκαύματα, όπου ο ιός μη αναγνωρίσιμος εγκαθίσταται κάτω από την εσχάρα
- Ερπητική λοίμωξη του νεογνού – περιγεννητική πρωτοπαθής λοίμωξη, συχνά θανατηφόρα, μεταδίδεται, συνήθως, κατά τον τοκετό από την προσβεβλημένη μητέρα. Ο κίνδυνος για το έμβρυο ή το νεογνό είναι υψηλότερος σε μητέρες με πρωτολοίμωξη γεννητικών οργάνων, διότι τότε η αποβολή του ιού παρατείνεται και ο ενοφθαλμισμός είναι μεγαλύτερος. Χρόνος επώασης συνήθως 5-7 ημέρες (σπανίως 4 εβδομάδες). Εκδηλώσεις στο δέρμα, βλεννογόνους ή αλλού μόνο στο 70% – η νόσος που μεταδίδεται προγεννητικά, διαμέσου του πλακούντα εκδηλώνεται με ίκτερο, ηπατοσπληνομεγαλία, διάχυτη ενδοαγγειακή πήξη, εγκεφαλίτιδα, διαταραχή του θερμορυθμιστικού κέντρου, χοριομφιβληστροειδοπάθεια και/ή επιπεφυκίτιδα με ή χωρίς δερματικές φυσαλίδες. Η νευρολογική νοσηρότητα είναι βαρύτερη σε λοίμωξη από HSV2 από HSV1 στα νεογνά και μπορεί να εμφανιστούν νεκρώσεις ήπατος και επινεφριδίων στο έμβρυο.
Ερπητικές υποτροπιάζουσες εκδηλώσεις από αναζωπύρωση:
- Επιχείλιος έρπητας – υποτροπιάζοντα στα χείλη από το HSV1, συνήθως, λιγότερο από μία υποτροπή στους 6 μήνες, όμως το 5-25% μπορεί να υποτροπιάζουν κάθε μήνα. Προδιαθεσικούς παράγοντες αποτελούν ο ήλιος, ο πυρετός, ο τραυματισμός, η έμμηνος ρύση, το άγχος. Πρόδρομα συμπτώματα πόνου, αίσθημα καύσου και κνησμού εμφανίζονται 6-48 ώρες πριν την εμφάνιση των φυσαλίδων, συχνά στο όριο των χειλέων με έντονο πόνο. Εξελκώνεται και εφελκιδοποιείται μετά σε 48 ώρες. Επουλώνεται σε 8-10 ημέρες, συνήθως. Μπορεί να υπάρχει τοπική λεμφαδενοπάθεια
- Οφθαλμικός έρπητας – μπορεί να υποτροπιάσει σαν κερατίτιδα, βλεφαρίτιδα ή κερατοεπιπεφυκίτιδα. Μπορεί να υπάρχουν δενδριτικά έλκη, υπαισθησία του κερατοειδούς, μειωμένη οπτική οξύτητα. Η ραγοειδίτιδα μπορεί να οδηγήσει σε μόνιμη απώλεια οράσεως
- Υποτροπιάζων έρπης των γεννητικών οργάνων
| Ιατρική Κατάσταση | Περιγραφή | |
|---|---|---|
| Ερπητική Ουλοστοματίτιδα | Η ερπητική ουλίτιδα του στόματος είναι, συχνά,
η αρχική παρουσίαση κατά τη διάρκεια της πρώτης μόλυνσης από έρπητα. |
|
| Έρπης χειλέων | Συνήθως, εμφανίζεται με φουσκάλες πυρετού και είναι είναι η πιο συχνή μορφή υποτροπιάζουσας λοίμωξης HSV-1 μετά την επανεμφάνιση του ιού από το νεύρο του τριδύμου | |
| Έρπητας γεννητικών οργάνων | Όταν είναι συμπτωματική, η τυπική εκδήλωση μιας πρωτογενούς λοίμωξης των γεννητικών οργάνων HSV-1 ή HSV-2 είναι οι συστάδες φλεγμονωδών φυσαλίδων και κυστιδίων στην εξωτερική επιφάνεια των γεννητικών οργάνων που μοιάζουν με πληγές. | |
| Έρπητας δαχτύλων | Είναι μια επώδυνη λοίμωξη που, συνήθως, προσβάλλει τα δάχτυλα ή τους αντίχειρες. Περιστασιακά, η λοίμωξη εμφανίζεται στα δάκτυλα των ποδιών ή στο δέρμα των νυχιών. Άτομα που συμμετέχουν σε αθλήματα επαφής, όπως πάλη, ράγκμπι και ποδόσφαιρο (έρπητας παλαιστή. Εμφανίζεται ως έλκος του δέρματος στο πρόσωπο, αυτιά και λαιμό. Τα συμπτώματα περιλαμβάνουν πυρετό, πονοκέφαλο, πονόλαιμο και πρησμένους αδένες. Περιστασιακά επηρεάζει τα μάτια ή τα βλέφαρα. | |
| Ερπητική εγκεφαλίτιδα και μηνιγγίτιδα | Η εγκεφαλίτιδα απλού έρπητα (HSE) είναι μια σπάνια απειλητική για τη ζωή κατάσταση που πιστεύεται ότι προκαλείται από τη μετάδοση του HSV-1 είτε από τη ρινική κοιλότητα στον κροταφικό λοβό του εγκεφάλου είτε από μια περιφερειακή θέση στο πρόσωπο, κατά μήκος του τριγωνικού νευρικού άξονα, στο εγκεφαλικό στέλεχος. Παρά τη χαμηλή συχνότητα εμφάνισης, είναι η πιο συχνή σποραδική θανατηφόρα εγκεφαλίτιδα παγκοσμίως. Ο HSV-2 είναι η πιο κοινή αιτία της ερπητικής μηνιγγίτιδας. | |
| Ερπητική οισοφαγίτιδα | Τα συμπτώματα της οισοφαγίτιδας από έρπητα μπορεί να περιλαμβάνουν επώδυνη κατάποση (οδυνοφαγία) και δυσκολία στην κατάποση (δυσφαγία). Συχνά, σχετίζεται με μειωμένη ανοσολογική λειτουργία (π.χ. HIV / AIDS, ανοσοκαταστολή σε μεταμοσχεύσεις στερεών οργάνων, σε χημειοθεραπείες και ακτινοθεραπείες). |
Ο νεογνικός απλός έρπητας είναι λοίμωξη HSV σε βρέφος. Είναι μια σπάνια αλλά σοβαρή κατάσταση, που συνήθως, προκαλείται από κάθετη μετάδοση του HSV-1 ή -2 από τη μητέρα στο νεογέννητο.
Έρπητας από ανοσοανεπάρκεια. Κατά τη διάρκεια της ανοσοανεπάρκειας, ο απλός έρπης μπορεί να προκαλέσει ασυνήθιστες βλάβες στο δέρμα. Μία από τις πιο εντυπωσιακές είναι η εμφάνιση καθαρών γραμμικών διαβρώσεων στις πτυχώσεις του δέρματος, με την εμφάνιση κοπής μαχαιριού. Η ερπητική σύκωση είναι μια επαναλαμβανόμενη ή αρχική λοίμωξη απλού έρπητα που επηρεάζει, κυρίως, τα θυλάκια των μαλλιών.
Η ερπητική κερατοεπιπεφυκίτιδα. Είναι μια πρωτογενής λοίμωξη, που εμφανίζεται, συνήθως, ως οίδημα του επιπεφυκότα και των βλεφάρων (βλεφαροεπιπεφυκίτιδα), συνοδευόμενη από μικρές λευκές αλλοιώσεις στην επιφάνεια του κερατοειδούς.
Η ερπητική σύκωση είναι μια επαναλαμβανόμενη ή αρχική λοίμωξη απλού έρπητα που επηρεάζει, κυρίως, τα θυλάκια των μαλλιών.
Παράλυση του Bell. Είναι ένας ένας τύπος παράλυσης του προσώπου που σχετίζεται με την επανενεργοποίηση του HSV-1. Τα αντιιικά μπορεί να βελτιώσουν ελαφρώς την κατάσταση όταν χρησιμοποιούνται μαζί με κορτικοστεροειδή σε άτομα με σοβαρή νόσο.
Νόσος Αλτσχάϊμερ. Ο HSV-1 είνα πιθανή αιτία της νόσου του Αλτσχάιμερ. Παρουσία συγκεκριμένης γονιδιακής παραλλαγής (φορείς αλληλόμορφων APOE-epsilon4), ο HSV-1 φαίνεται να είναι ιδιαίτερα επιζήμιος για το νευρικό σύστημα και αυξάνει τον κίνδυνο εμφάνισης της νόσου του Αλτσχάιμερ. Ο ιός αλληλεπιδρά με τα συστατικά και τους υποδοχείς των λιποπρωτεϊνών, που μπορεί να οδηγήσουν στην ανάπτυξή του.
Παθοφυσιολογία απλού έρπητα
Ο έρπης προσβάλλει μέσω άμεσης επαφής με ενεργή βλάβη ή σωματικό υγρό μολυσμένου ατόμου. Η μετάδοση του έρπητα συμβαίνει από ένα άτομο με ιστορικό λοίμωξης (HSV οροθετικό) που μεταδίδει τον ιό σε ένα οροαρνητικό άτομο HSV. Ο ιός του απλού έρπητα 2, συνήθως, προσβάλλει μέσω άμεσης επαφής από δέρμα σε δέρμα από μολυσμένο άτομο, αλλά, μπορεί, επίσης, να συμβεί μετά από έκθεση σε μολυσμένο σάλιο, σπέρμα, κολπικό υγρό ή από υγρό ερπητικών φυσαλίδων. Για να μολυνθεί ένα νέο άτομο, ο HSV ταξιδεύει στο δέρμα ή στους βλεννογόνους στο στόμα ή στις γεννητικές περιοχές. Ακόμη και μικροσκοπικές εκδορές στους βλεννογόνους είναι αρκετές για να επιτρέψουν την είσοδο του ιού.
Ο ιός εισέρχεται σε ευαίσθητα κύτταρα από υποδοχείς εισόδου. Τα μολυσμένα άτομα που δεν εμφανίζουν ορατά συμπτώματα μπορούν να μεταδώσουν ιούς μέσω του δέρματός τους. Η ταυτόχρονη λοίμωξη με HIV αυξάνει τη συχνότητα και τη διάρκεια της ασυμπτωματικής φάσης.
Σε ένα μονογαμικό ζευγάρι, μια οροαρνητική γυναίκα διατρέχει μεγαλύτερο από 30%, ετησίως, κίνδυνο να προσβληθεί από λοίμωξη από τον HSV από έναν οροθετικό άντρα.
ΑΙΤΙΑ ΑΠΛΟΥ ΕΡΠΗΤΑ
Ο ιός του απλού έρπητα είναι DNA ιός με δύο κύριους τύπους: τον τύπο 1 (HSV1) και τον τύπο 2 (HSV2). Ο τύπος 1 εκδηλώνεται με στοματικές βλάβες και ο τύπος 2 με γεννητικές βλάβες. Το αντίθετο μπορεί, επίσης, να συμβεί.
ΠΑΡΑΓΟΝΤΕΣ ΚΙΝΔΥΝΟΥ ΓΙΑ ΑΠΛΟ ΕΡΠΗΤΑ
- Ανοσοανεπάρκεια (βραχεία προσβολή) σε εμφάνιση άλλης νόσου ή άγχους, χρονιότερη σε χημειοθεραπεία, κακοήθεια, ακτινοθεραπεία ή AIDS
- Νεογνά – όταν μολύνονται από ενεργό λοίμωξη της μητέρας κατά την διέλευση από το γεννητικό σωλήνα ή όταν μολύνονται από νοσηλευτικό προσωπικό (ανεπαρκή μεταβίβαση μητρικών αντισωμάτων στο παιδί). Ο κίνδυνος είναι υψηλότερος στα νεογέννητα από μητέρα με ενεργό πρωτολοίμωξη
- Προηγούμενη λοίμωξη από HSV
- Σεξουαλική επαφή με προσβεβλημένα άτομα (τα προφυλακτικά συνήθως, βοηθούν, αν και μερικές φορές επιτρέπουν τη διάδοση)
- Επαγγελματική έκθεση (κατά την ιατρική/οδοντιατρική πράξη μεγαλύτερος κίνδυνος για παρωνυχία από HSV1 και σε γενικότερη επαφή παρωνυχία από HSV2)
ΔΙΑΓΝΩΣΗ ΑΠΛΟΥ ΕΡΠΗΤΑ
ΔΙΑΦΟΡΙΚΗ ΔΙΑΓΝΩΣΗ ΑΠΛΟΥ ΕΡΠΗΤΑ
- Μολυσματικό κηρίο – μελιτόχροες φυσαλίδες που εφελκιδοποιούνται
- Αφθώδης στοματίτιδα – γκριζωπές, επιπολής διαβρώσεις με υπεραιμία στην περιφέρειά τους, συνήθως, μόνο στα πρόσθια μοίρα του στόματος και των χειλέων
- Έρπητας ζωστήρας – αμφοτερόπλευρη δερμοτομιακή κατανομή
- Συφιλιδικό έλκος – συνήθως επώδυνο
- Ερπητική κυνάγχη – οι φυσαλίδες εμφανίζονται συνήθως στις πρόσθιες αμυγδαλές, μαλακή υπερώα, σταφυλή και στοματοφάρυγγα όχι όμως πιο μπροστά στα χείλη και τα ούλα (συνήθως οφείλεται στον ιό Coxsackie της ομάδας Α)
- Σύνδρομο Stevens-Johnson
- Άλλες αιτίες ανεμοβλογιάς εξανθήματος του Kaposi είναι η ανεμοβλογιά και ο ιός Coxsackie Α16
ΕΡΓΑΣΤΗΡΙΑΚΑ ΕΥΡΗΜΑΤΑ
- Στο παρασκεύασμα Tzanck παρατηρούνται πολυπύρηνα γιγαντοκύτταρα συχνά με Cowdria τύπου Α ενδοπυρηνικά έγκλειστα (απόξεση υλικού από τις βλάβες, επίστρωση σε πλακίδιο, μονιμοποίηση με αιθανόλη ή μεθανόλη και προετοιμασία σε χρώση Giesma ή Right. Εναλλακτικά ψεκασμός σε πλακίδιο, μονιμοποίηση και χρώση όπως στο επίχρισμα Pap
- Καλλιέργεια του απλού έρπητα – μόνο οι μισές από τις ορθώς θετικές δίνουν αποτέλεσμα σε 2 ημέρες, οι υπόλοιπες χρειάζονται 6 ημέρες ή περισσότερο για να θετικοποιηθούν. Δεν θεωρείται σκόπιμη η παρακολούθηση της δραστηριότητας της υποτροπιάζουσας νόσου κατά την περίοδο του τοκετού
Διαταραχές που μπορεί να μεταβάλλουν τα ευρήματα: O έρπητας ζωστήρας) δίνει τα ίδια ευρήματα στο επίχρισμα Tzanck
ΠΑΘΟΛΟΓΟΑΝΑΤΟΜΙΚΑ ΕΥΡΗΜΑΤΑ
Πολυπύρηνα γιγαντοκύτταρα με 2-15 πυρήνες σε κάθε κύτταρο με ηωσινοφιλικά έγκλειστα εντός των πυρήνων. Ενδοεπιθηλιακό οίδημα (σφαιροειδής εκφύλιση) και ενδοκυττάριο οίδημα. Η βιοψία εγκεφάλου (σε εγκεφαλίτιδα) δείχνει αιμορραγική νέκρωση της φαιάς και λευκής ουσίας με οξεία και χρόνια φλεγμονή, θρόμβωση και ινιδοειδή νέκρωση των παρεγχυματικών αγγείων και ενδοπυρηνικά έγκλειστα σε αστροκύτταρα, ολιγοδενδρογλοία και νευρώνες
ΕΙΔΙΚΕΣ ΔΟΚΙΜΑΣΙΕΣ
- Οι τίτλοι των ειδικών HSV αντισωμάτων στον ορό παρουσιάζουν τη μεγαλύτερη αύξηση μεταξύ οξείας φάσης και ανάρρωσης κατά την πρωτολοίμωξη, δεν χρησιμεύουν στις υποτροπές
- IgM HSV αντισώματα μπορεί να εμφανιστούν στις πρώτες 4 εβδομάδες της ζωής των προσβεβλημένων βρεφών
Η αλυσιδωτή αντίδραση πολυμεράσης PCR χρησιμοποιείται για έλεγχο της παρουσίας ιικού DNA.
ΘΕΡΑΠΕΙΑ ΑΠΛΟΥ ΕΡΠΗΤΑ

ΓΕΝΙΚΑ ΜΕΤΡΑ
- Περιορισμένες δερματικές βλάβες (όπως στον υποτροπιάζοντα επιχείλιο έρπητα) επουλώνονται ευκολότερα λόγω της πρώιμης ρήξης των φυσαλίδων και της επάλειψης με αντισηπτικό
- Κατά διαστήματα χρήση ψυχρών υγρών επιθεμάτων διαποτισμένα με αλουμινόνερο
- Σοβαρές περιουρηθρικές βλάβες αντιμετωπίζονται όταν κατά τη διάρκεια της ούρησης αδειάσουμε ένα ποτήρι ζεστό νερό στα γεννητικά όργανα ή καθίσουμε μέσα σε ζεστό μπάνιο να ουρήσουμε
- Παιδιά με ουλοστοματίτιδα ενδεχομένως να χρειαστούν ενδοφλέβια ενυδάτωση
- Σε εκτεταμένες δερματικές βλάβες (όπως στα νεογνά ή στο ερπητικό έκζεμα) ενδεχομένως να απαιτείται μεγάλη υποκατάσταση υγρών
- Έλεγχος για άλλες σεξουαλικώς μεταδιδόμενες νόσους σε πρωτοπαθή λοίμωξη των γεννητικών οργάνων
ΔΙΑΙΤΑ
Αποφυγή όξινων τροφών σε ουλοστοματίτιδα
ΕΚΠΑΙΔΕΥΣΗ ΤΟΥ ΑΣΘΕΝΟΥΣ
- Αποφυγή επαφής με ανοσοκατεσταλμένα άτομα συμπεριλαμβανομένων των νεογνών
- Πρόληψη τόσο της μετάδοσης σε άλλους όσο και του αυτοενοφθαλμισμού
- Για τον έρπη των γεννητικών οργάνων – αποφυγή σεξουαλικής επαφής κατά τη διάρκεια ενεργού νόσου, αποφυγή του stress και των ελαστικών προφυλακτικών, ενίσχυση των αμοιβαίων μονογαμικών σχέσεων
ΦΑΡΜΑΚΟ(Α) ΕΚΛΟΓΗΣ
- Αναλγητικά (μη ναρκωτικά)
- Ακυκλοβίρη:
- Έχει συγκεκριμένες ενδείξεις σε ανοσοκατεσταλμένα άτομα με πρωτοπαθή νόσο ή υποτροπή σε εγκεφαλίτιδα ή σε άτομα με σοβαρή γεννητική λοίμωξη. Χορηγούνται μικρότερες δόσεις σε νεφρική ανεπάρκεια
- Απλός έρπητας των νεογνών – 10 mg/kg ΕΦ για άνω από μια ώρα κάθε 8 ώρες x 10-14 ημέρες
- Εγκεφαλίτιδα – 10 mg/kg ΕΦ για άνω από 1 ώρα κάθε 8 ώρες x 10 ημέρες (για ηλικίες από 6 μηνών – 12 χρονών δίνουμε 500 mg/m2)
- Πρωτοπαθής λοίμωξη γεννητικών οργάνων
- Υποτροπιάζουσα λοίμωξη γεννητικών οργάνων
- Υποτροπιάζων επιχείλιος έρπητας – δεν αποτελεί ένδειξη αλλά ανεπίσημα στοιχεία αναφέρουν ότι ωφελεί
Αντενδείξεις: Υπερευαισθησία ή μη ανοχή
Προφυλάξεις:
- Μείωση της δόσης σε νεφρική ανεπάρκεια
- Μπορεί να παρουσιαστούν ναυτία, εμετός, κεφαλαλγία ή εκδηλώσεις εγκεφαλοπάθειας
- Κύηση – χρήση μόνο όταν τα οφέλη είναι περισσότερα από τους κινδύνους για το βρέφος μπορεί να περάσει στο μητρικό γάλα
Σημαντικές πιθανές αλληλεπιδράσεις:
Η προβενεσίδη μπορεί να αυξήσει τον χρόνο ημιζωής της ΕΦ ακυκλοβίρης και να ελαττώσει τη νεφρική κάθαρση

ΕΝΑΛΛΑΚΤΙΚΑ ΦΑΡΜΑΚΑ
- Βιδαραβίνη:
- Έχει ενδείξεις σε εγκεφαλίτιδα από απλό έρπητα, νεογνική λοίμωξη και κερατίτιδα. Δεν διαλύεται εύκολα. Ένα λίτρο ενδοφλέβιου διαλύματος διαλύει το μέγιστο 450 mg βιδαραβίνης. Προσοχή στη χορήγηση σε ασθενείς με νεφρική δυσλειτουργία
- Εγκεφαλίτιδα – 15 mg/kg/ημέρα x 10 ημέρες
- Κερατίτιδα – οφθαλμική αλοιφή 3% (Viva-A) επάλειψη 1 εκατοστού περίπου 5 φορές ημερησίως για 7-21 ημέρες ή περισσότερο
- Άλλα φάρμακα για τοπική χρήση:
- Ιωδοδεσοξυουριδίνη και τριφλουροθυμιδίνη (παραπομπή σε οφθαλμίατρο)
Τα αντιιικά φάρμακα μπορούν να μειώσουν τη συχνότητα, τη διάρκεια και τη σοβαρότητα των εστιών. Το αντιικό φάρμακο aciclovir, το valaciclovir, το famciclovir και το penciclovir, χρησιμοποιούνται. Η χρήση του aciclovir και του valaciclovir συνιστώνται για τις λοιμώξεις από έρπητα σε άτομα με καρκίνο. Ορισμένα τοπικά αντιιικά είναι αποτελεσματικά για τον έρπητα (aciclovir, penciclovir και docosanol).
ΦΥΣΙΚΕΣ ΘΕΡΑΠΕΙΕΣ ΓΙΑ ΤΟΝ ΑΠΛΟ ΕΡΠΗΤΑ
Χρησιμοποιούνται: Εχινάκεια, eleuthero ή siberian ginseng, L-λυσίνη, ψευδάργυρος, προϊόντα μελισσών (κόκκινη πρόπολη κ.ά) μονολαυρίνη από το έλαιο καρύδας και αλόη βέρα, ασπιρίνη, βάλσαμο λεμονιού, κρέμα ρίζας γλυκόριζας κ.ά.
ΠΑΡΑΚΟΛΟΥΘΗΣΗ ΑΣΘΕΝΟΥΣ ΜΕ ΑΠΛΟ ΕΡΠΗΤΑ
ΠΑΡΑΚΟΛΟΥΘΗΣΗ ΤΟΥ ΑΣΘΕΝΟΥΣ
Παρακολούθηση της υποχώρησης των βλαβών και των συστηματικών εκδηλώσεων
ΠΙΘΑΝΕΣ ΕΠΙΠΛΟΚΕΣ
- Ερπητική εγκεφαλίτιδα-μπορεί να χρειαστεί βιοψία εγκεφάλου για τη διάγνωση
- Ερπητική πνευμονία
- Άσηπτη μηνιγγίτιδα
- Ερπητική σηψαιμία
ΑΝΑΜΕΝΟΜΕΝΗ ΠΟΡΕΙΑ ΚΑΙ ΠΡΟΓΝΩΣΗ
- Καλή σε θεραπεία των υποτροπών
- Συχνές υποτροπές
ΣΧΕΤΙΖΟΜΕΝΕΣ ΚΑΤΑΣΤΑΣΕΙΣ
Πολύμορφο ερύθημα
ΗΛΙΚΙΑΚΑ ΣΧΕΤΙΖΟΜΕΝΕΣ ΚΑΤΑΣΤΑΣΕΙΣ
Γηριατρικό: Η μειωμένη ανοσολογική ικανότητα στους ηλικιωμένους αυξάνει τον κίνδυνο
ΚΥΗΣΗ
- Η απόφαση για την πραγματοποίηση ή όχι καισαρικής τομής, ώστε να περιοριστεί η επαφή του νεογνού με τον ιό, βασίζεται στην παρακολούθηση των ενεργών ή κλινικά ύποπτων βλαβών στον τράχηλο της μήτρας ή στο γεννητικό σωλήνα κατά τη διάρκεια του τοκετού. Η διάρκεια της μετάδοσης και ο κίνδυνος για το έμβρυο ή το νεογέννητο είναι υψηλότερος κατά την πρωτολοίμωξη
- Φλεγμονή στη μήτρα μπορεί να προκαλέσει σημαντική εμβρυική θνητότητα και νοσηρότητα (προωρότητα και καθυστέρηση της ανάπτυξης του εμβρύου). Ο έλεγχος απαιτείται για να καθοριστεί το εφικτό/ασφαλές της ενδοφλέβιας χορήγησης ακυκλοβίρης για την πρωτολοίμωξη κατά τη διάρκεια της κυήσεως

ΠΡΟΛΗΨΗ ΑΠΛΟΥ ΕΡΠΗΤΑ
Όπως συμβαίνει με όλες σχεδόν τις σεξουαλικά μεταδιδόμενες λοιμώξεις, οι γυναίκες είναι πιο ευαίσθητες στην απόκτηση ερπητικής λοίμωξης HSV-2 από τους άνδρες. Σε ετήσια βάση, χωρίς τη χρήση αντιικών ή προφυλακτικών, ο κίνδυνος μετάδοσης του HSV-2 από μολυσμένο άνδρα σε γυναίκα είναι περίπου 8-11%. Αυτό πιστεύεται ότι οφείλεται στην αυξημένη έκθεση του βλεννογόνου σε μόλυνση. Ο κίνδυνος μετάδοσης από μολυσμένη γυναίκα σε άνδρα είναι περίπου 4–5% ετησίως. Η κατασταλτική αντιική θεραπεία μειώνει αυτούς τους κινδύνους κατά 50%. Η χρήση προφυλακτικού μειώνει, σημαντικά, τον κίνδυνο μετάδοσης.
Οι ασυμπτωματικοί φορείς του ιού HSV-2 εξακολουθούν να είναι μεταδοτικοί. Σε πολλές λοιμώξεις, το πρώτο σύμπτωμα που θα έχουν οι άνθρωποι από τις δικές τους λοιμώξεις είναι η οριζόντια μετάδοση σε έναν σεξουαλικό σύντροφο ή η κάθετη μετάδοση του έρπητα του νεογνού σε ένα νεογέννητο. Δεδομένου ότι τα περισσότερα ασυμπτωματικά άτομα δεν γνωρίζουν τη μόλυνσή τους, θεωρούνται ότι διατρέχουν υψηλό κίνδυνο εξάπλωσης του HSV.
Το φάρμακο κατά του HIV tenofovir, όταν χρησιμοποιείται τοπικά σε ένα μικροβιοκτόνο κολπικό πήκτωμα, αναφέρθηκε ότι μειώνει τη σεξουαλική μετάδοση του ιού του έρπητα κατά 51%.
Τα καλύτερα προϊόντα για τις δερματικές παθήσεις
Πατήστε, εδώ, για να παραγγείλετε τα κατάλληλα προϊόντα για τις δερματικές παθήσεις
Η καθοδήγηση για την επιλογή των ποιων συμπληρωμάτων διατροφής, από τα ανωτέρω, είναι κατάλληλα για την ασθένειά σας θα γίνει σε συνεννόηση με το θεράποντα ιατρό
Διαβάστε, επίσης,
Οι δερματικές βλάβες από τις χημειοθεραπείες και τις ακτινοθεραπείες
Μάθετε να αναγνωρίζετε τα εξανθήματα του δέρματος
Συστηματικός ερυθηματώδης λύκος
Ερπητικές οφθαλμολογικές λοιμώξεις
Χρήσιμες πληροφορίες για τον έρπητα γεννητικών οργάνων
Θεραπεία του έρπητα ζωστήρα εναλλακτικά
Όλα τα κόλπα για να θεραπεύσετε τον έρπητα ζωστήρα
Οι δερματολογικές παθήσεις στην τρίτη ηλικία
Όλα τα κόλπα για να θεραπεύσετε τον έρπητα
‘Ερπητας των γεννητικών οργάνων
Εργαστηριακός έλεγχος για σεξουαλικώς μεταδιδόμενα νοσήματα
L-αργινίνη, το θαυματουργό αμινοξύ
Διάγνωση ασθενειών από τα μάτια






