Χρήσιμες πληροφορίες για τα αποστήματα εγκεφάλου
Απόστημα εγκεφάλου μονήρες ή πολλαπλά αποστήματα στον εγκέφαλο, συνήθως, προκύπτουν δευτεροπαθώς σε μια εστία λοίμωξης έξωθεν του κεντρικού νευρικού συστήματος. Μπορεί να μιμείται όγκο εγκεφάλου, αλλά, εξελίσσεται πιο γρήγορα (από ημέρες έως λίγες εβδομάδες). Αρχίζει ως εγκεφαλίτιδα, γίνεται απόστημα και μεταγενέστερα γίνεται εγκυστωμένο.
Επηρεαζόμενα συστήματα: Νευρικό
Γενετική: Μη γνωστό γενετικό πρότυπο
Επικρατέστερη ηλικία: Όλες οι ηλικίες
Επικρατέστερο φύλο: Άνδρες = Γυναίκες
ΣΗΜΕΙΑ ΚΑΙ ΣΥΜΠΤΩΜΑΤΑ ΑΠΟΣΤΗΜΑΤΟΣ ΕΓΚΕΦΑΛΟΥ
- Πρόσφατη έναρξη πονοκεφάλου που γίνεται έντονος
- Ναυτία, έμετος
- Προοδευτικές διανοητικές αλλαγές έως κατατονία και κώμα
- Απύρετος ή πυρετός λίγων βαθμών (δέκατα)
- Αυχενική δυσκαμψία
- Σπασμοί
- Οίδημα οπτικής θηλής
- Εντοπισμένα νευρολογικά σημεία εξαρτώμενα από την εντόπιση

ΑΙΤΙΑ ΑΠΟΣΤΗΜΑΤΟΣ ΕΓΚΕΦΑΛΟΥ
- Άμεση επέκταση από ωτίτιδα, μαστοειδίτιδα ή παραρρινοκολπίτιδα
- Οστεομυελίτιδα κρανίου
- Διατιτραίνον τραύμα κρανίου
- Προηγούμενη κρανιοτομία
- Βακτηριαιμία από απόστημα πνεύμονος, πνευμονία
- Βακτηριακή ενδοκαρδίτιδα
- Μυκητιασική λοίμωξη ρινοφάρρυγγα
- Τοξόπλασμα gondii (σε ασθενείς με AIDS)
- Κυανωτική συγγενής καρδιοπάθεια
- Ενδοφλέβια χρήση φαρμάκων (ναρκωτικών)
- Οι πιο συχνοί λοιμογόνοι οργανισμοί – στρεπτόκοκκοι, σταφυλόκοκκοι και αναερόβια (συνήθως, οι ίδιοι με της πηγής της λοίμωξης)
ΠΑΡΑΓΟΝΤΕΣ ΚΙΝΔΥΝΟΥ ΑΠΟΣΤΗΜΑΤΟΣ ΕΓΚΕΦΑΛΟΥ
- AIDS
- Ανοσοκατεσταλμένοι
- Ενδοφλέβια χρήση ναρκωτικών
ΔΙΑΓΝΩΣΗ ΑΠΟΣΤΗΜΑΤΟΣ ΕΓΚΕΦΑΛΟΥ
ΔΙΑΦΟΡΙΚΗ ΔΙΑΓΝΩΣΗ ΑΠΟΣΤΗΜΑΤΟΣ ΕΓΚΕΦΑΛΟΥ
- Όγκοι εγκεφάλου
- Εγκεφαλικό επεισόδιο
- Ενδοκρανιακή αιμορραγία σε αποδρομή
- Υποσκληρίδιο εμπύημα
- Επισκληρίδιο απόστημα
- Εγκεφαλίτιδα
ΕΡΓΑΣΤΗΡΙΑΚΑ ΕΥΡΗΜΑΤΑ ΑΠΟΣΤΗΜΑΤΟΣ ΕΓΚΕΦΑΛΟΥ
- Τα λευκά αιμοσφαίρια μπορεί να είναι φυσιολογικά ή ελαφρώς αυξημένα
- Στην καλλιέργεια του περιεχομένου του αποστήματος οι οργανισμοί που κυριαρχούν περιλαμβάνουν το τοξόπλασμα (AIDS), σταφυλόκοκκο (τραύμα), αερόβια και αναερόβια βακτήρια, μύκητες (σπάνια)
- Αιμοκαλλιέργειες – ήπια πολυμορφοκυττάρωση, λευκοκυττάρωση, αυξημένη ΤΚΕ
Φάρμακα που μπορεί να μεταβάλλουν τα ευρήματα: Προηγούμενη χορήγηση αντιβιοτικών
ΠΑΘΟΛΟΓΟΑΝΑΤΟΜΙΚΑ ΕΥΡΗΜΑΤΑ ΑΠΟΣΤΗΜΑΤΟΣ ΕΓΚΕΦΑΛΟΥ
- Διαπύηση, ρευστοποίηση, εγκύστωση (σχηματισμός κάψας), ανάλογα με το στάδιο της εξέλιξης
- Ίνωση
ΕΙΔΙΚΕΣ ΔΟΚΙΜΑΣΙΕΣ
Χειρουργική μεγάλη οπή με εισρόφηση για να γίνει ειδική βακτηριολογική διάγνωση
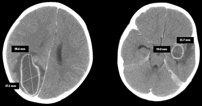
ΑΠΕΙΚΟΝΙΣΗ ΑΠΟΣΤΗΜΑΤΟΣ ΕΓΚΕΦΑΛΟΥ
- Αξονική τομογραφία και μαγνητική είναι διαγνωστικές μέθοδοι εκλογής – τα ευρήματα είναι αντίστοιχα με το στάδιο του αποστήματος
- Λευκοκύτταρα σημασμένα με ραδιονουκλεοτίδια 117 που μπορεί να διαφοροδιαγνώσουν το απόστημα από το νεόπλασμα
ΔΙΑΓΝΩΣΤΙΚΕΣ ΜΕΘΟΔΟΙ ΑΠΟΣΤΗΜΑΤΟΣ ΕΓΚΕΦΑΛΟΥ
- Ιστορικό
- Φυσική εξέταση
ΘΕΡΑΠΕΙΑ ΑΠΟΣΤΗΜΑΤΟΣ ΕΓΚΕΦΑΛΟΥ
ΕΝΔΕΙΚΝΥΟΜΕΝΗ ΑΓΩΓΗ ΥΓΕΙΑΣ ΑΠΟΣΤΗΜΑΤΟΣ ΕΓΚΕΦΑΛΟΥ
ΓΕΝΙΚΑ ΜΕΤΡΑ ΑΠΟΣΤΗΜΑΤΟΣ ΕΓΚΕΦΑΛΟΥ
- Παρηγορητικά και υποστηρικτικά
Φαρμακευτική αγωγή:
- Σε χειρουργικά απρόσιτα αποστήματα, πολλαπλά αποστήματα
- Σε αποστήματα σε πρώιμο στάδιο εγκεφαλίτιδας
- Η θεραπεία γίνεται για το πιο πιθανό μικρόβιο
- Εάν το απόστημα δεν αρχίσει να συρρικνώνεται σε 4 εβδομάδες, γίνεται χειρουργική επέμβαση
- Μικρό (< 2,5 cm) απόστημα
Χειρουργική θεραπεία:
- Υποχρεωτική όταν τα νευρολογικά ελλείματα είναι σοβαρά ή προοδευτικά
- Χρησιμοποιείται όταν το απόστημα είναι στον πρόσθιο κρανιακό βόθρο
- Παροχέτευση αποστήματος (δια βελόνης) μέσω στερεοτακτικής αξονικής τομογραφίας μέσω μιας οπής υπό τοπική ευαισθησία είναι πολύ αποτελεσματική μέθοδος. Μπορεί να επαναληφθεί αν χρειάζεται
- Κρανιοτομία – εάν το απόστημα είναι μεγάλο
- Μετατραυματικό απόστημα

ΔΡΑΣΤΗΡΙΟΤΗΤΑ ΑΠΟΣΤΗΜΑΤΟΣ ΕΓΚΕΦΑΛΟΥ
Κλινήρης έως ότου ελεγχθεί η λοίμωξη και το απόστημα εκκενωθεί ή λυθεί. Στη συνέχεια περιπατητικός όσο είναι ανεκτό
ΔΙΑΙΤΑ
Εάν υπάρχει ναυτία και έμετος υγρά ενδοφλέβια
ΦΑΡΜΑΚΑ ΑΠΟΣΤΗΜΑΤΟΣ ΕΓΚΕΦΑΛΟΥ
ΦΑΡΜΑΚΑ ΕΚΛΟΓΗΣ ΑΠΟΣΤΗΜΑΤΟΣ ΕΓΚΕΦΑΛΟΥ
Η θεραπεία περιλαμβάνει μείωση της αυξημένης ενδοκρανιακής πίεσης και έναρξη ενδοφλέβιας αντιβιοτικής (και εν τω μεταξύ προσδιορισμός του αιτιολογικού οργανισμού κυρίως από μελέτες καλλιέργειας αίματος).
Η θεραπεία με υπερβαρικό οξυγόνο (HBO2 ή HBOT) ενδείκνυται ως πρωταρχική και συμπληρωματική θεραπεία που παρέχει τέσσερις κύριες λειτουργίες.
- Πρώτον, το υπερβαρικό οξυγόνο μειώνει την ενδοκρανιακή πίεση.
- Δεύτερον, οι υψηλές μερικές πιέσεις οξυγόνου δρουν ως βακτηριοκτόνο και έτσι αναστέλλουν την αναερόβια και λειτουργικά αναερόβια χλωρίδα που είναι κοινή στο απόστημα του εγκεφάλου.
- Τρίτον, το υπερβαρικό οξυγόνο βελτιστοποιεί την ανοσολογική λειτουργία ενισχύοντας έτσι τους μηχανισμούς άμυνας του ξενιστή.
- Και τέταρτον, το υπερβαρικό οξυγόνο έχει βρεθεί ότι ωφελεί όταν το απόστημα του εγκεφάλου υπάρχει ταυτόχρονα με κρανιακή οστεομυελίτιδα.
Οι δευτερεύουσες λειτουργίες του υπερβαρικού οξυγόνου περιλαμβάνουν αυξημένη παραγωγή βλαστικών κυττάρων και αναβάθμιση του VEGF που βοηθούν στη διαδικασία επούλωσης και ανάκαμψης. Η χειρουργική αποστράγγιση του αποστήματος παραμένει μέρος της τυπικής διαχείρισης βακτηριακών αποστημάτων του εγκεφάλου. Η θέση και η θεραπεία της πρωτογενούς βλάβης είναι, επίσης, ζωτικής σημασίας, όπως και η απομάκρυνση τυχόν ξένων υλικών (οστά, βρωμιά, σφαίρες και ούτω καθεξής).
Υπάρχουν λίγες εξαιρέσεις σε αυτόν τον κανόνα: Η μηνιγγίτιδα του Haemophilus influenzae σχετίζεται, συχνά, με συλλογές που θεωρούνται λανθασμένα ως υποσκληρίδια εμπυήματα. Αυτές οι συλλογές υποχωρούν με αντιβιοτικά και δεν απαιτούν χειρουργική θεραπεία. Η φυματίωση μπορεί να προκαλέσει αποστήματα εγκεφάλου που μοιάζουν με τα συμβατικά βακτηριακά αποστήματα στην απεικόνιση CT (αξονική τομογραφία). Η χειρουργική αποστράγγιση ή αναρρόφηση είναι συχνά απαραίτητη για τον εντοπισμό του Mycobacterium tuberculosis, αλλά, μόλις γίνει η διάγνωση, δεν απαιτείται περαιτέρω χειρουργική επέμβαση. Η στερεοτακτική αναρρόφηση καθοδηγούμενη από CT υποδεικνύεται, επίσης, στη θεραπεία του εγκεφαλικού αποστήματος.
ΠΑΡΑΚΟΛΟΥΘΗΣΗ ΤΟΥ ΑΣΘΕΝΟΥΣ ΜΕ ΑΠΟΣΤΗΜΑ ΕΓΚΕΦΑΛΟΥ
- Μετεγχειρητική παρακολούθηση, όπως, χρειάζεται
- Διαδοχικές αξονικές τομογραφίες ή μαγνητικές τομογραφίες για να επιβεβαιώσουν την προοδευτική λύση, πρώιμη ανίχνευση και αντιμετώπιση επιπλοκών
ΠΡΟΛΗΨΗ/ΑΠΟΦΥΓΗ ΑΠΟΣΤΗΜΑΤΟΣ ΕΓΚΕΦΑΛΟΥ
- Επαρκής θεραπεία μέσης ωτίτιδας, μαστοειδίτιδας, οδοντικού αποστήματος και άλλων προδιαθεσικών παραγόντων
- Αντιβιοτικά προφυλακτικά μετά από επιλεγμένο κάταγμα κρανίου ή διατιτραίνοντος τραύματος κεφαλής
ΠΙΘΑΝΕΣ ΕΠΙΠΛΟΚΕΣ ΑΠΟΣΤΗΜΑΤΟΣ ΕΓΚΕΦΑΛΟΥ
- Μόνιμα νευρολογικά ελλείμματα
- Χειρουργικές επιπλοκές
- Υποτροπιάζον απόστημα
- Σπασμοί
ΑΝΑΜΕΝΟΜΕΝΗ ΠΟΡΕΙΑ ΚΑΙ ΠΡΟΓΝΩΣΗ ΑΠΟΣΤΗΜΑΤΟΣ ΕΓΚΕΦΑΛΟΥ
Επιβίωση 80% σε πρώιμη διάγνωση και θεραπεία
ΔΙΑΦΟΡΑ
ΣΧΕΤΙΖΟΜΕΝΕΣ ΚΑΤΑΣΤΑΣΕΙΣ
- AIDS
- Συμφορητική καρδιακή νόσος
ΗΛΙΚΙΑΚΑ ΣΧΕΤΙΖΟΜΕΝΕΣ ΚΑΤΑΣΤΑΣΕΙΣ
Παιδιατρικό:
- Περίπου το 1/3 των περιστατικών στα παιδιά
- Σπάνια ανευρίσκεται σε παιδιά κάτω του 1 έτους
- Κυανωτική συγγενής καρδιοπάθεια συχνά σχετίζεται
Γηριατρικό:
Η ηλικία δεν επηρεάζει τόσο την πρόγνωση όσο το μέγεθος του αποστήματος και η κατάσταση της νευρολογικής δυσλειτουργίας στην εμφάνιση
Τα κατάλληλα συμπληρώματα διατροφής για τις λοιμώξεις
Πατήστε, εδώ, για να παραγγείλετε τα κατάλληλα προϊόντα για τις λοιμώξεις
Η καθοδήγηση για την επιλογή των ποιων συμπληρωμάτων διατροφής, από τα ανωτέρω, είναι κατάλληλα για την ασθένειά σας θα γίνει σε συνεννόηση με το θεράποντα ιατρό.
Διαβάστε, επίσης,
Καρκίνος εγκεφάλου και κάνναβη
Boswellia Serrata το ισχυρό φυσικό αντιφλεγμονώδες
Διάγνωση του καρκίνου του εγκεφάλου
Τα αντισυλληπτικά υπεύθυνα και για καρκίνο του εγκεφάλου
Οι συχνότεροι ενδοκρανιακοί όγκοι
Η ακτινοβολία από τα κινητά τηλέφωνα
Τα νεώτερα για το γλοιοβλάστωμα





