Πιροπλάσμωση

0
1242
OLYMPUS DIGITAL CAMERA

Χρήσιμες πληροφορίες για την πιροπλάσμωση ή μπαμπεσίωση

Πιροπλάσμωση είναι μια ομάδα ασθενειών που μεταδίδονται από κρότωνες και προσβάλλουν τα πρόβατα, τα κατσίκια, τα άλογα, τους χοίρους, τους σκύλους και τις γάτες.

Προκαλούνται από πρωτόζωα του γένους Babesia, τα οποία παρασιτούν μέσα στα ερυθρά αιμοσφαίρια, προκαλώντας αιμόλυση.

Συνήθης πορεία, οξεία.

Η πιροπλάσμωση ή μπαμπεσίωση είναι μια παρασιτική ασθένεια παρόμοια με την ελονοσία που προκαλείται από μόλυνση με ένα ευκαρυωτικό παράσιτο της τάξης Piroplasmida, τυπικά την Babesia ή Theileria, που ανήκουν στο γένος Apicomplexa.

Η μετάδοση της ανθρώπινης μπαμπεσίωσης μέσω δαγκώματος τσιμπουριού είναι πιο συχνή στις Βορειοανατολικές και Μεσοδυτικές Ηνωμένες Πολιτείες και σε μέρη της Ευρώπης και σποραδική σε όλο τον υπόλοιπο κόσμο.

Εμφανίζεται σε ζεστό καιρό.

Οι άνθρωποι μπορούν να μολυνθούν από παράσιτα Babesia από το δάγκωμα ενός μολυσμένου κρότωνα, με μετάγγιση αίματος από μολυσμένο δότη προϊόντων αίματος ή με συγγενή μετάδοση, μολυσμένη μητέρα στο μωρό της. Τα τσιμπούρια μεταδίδουν το ανθρώπινο στέλεχος της μπαμπέσωσης, επομένως συχνά εμφανίζεται με άλλες ασθένειες που μεταδίδονται από κρότωνες όπως η νόσος του Lyme.

Μετά τα τρυπανοσώματα, η Babesia πιστεύεται ότι είναι το δεύτερο πιο συχνό παράσιτο αίματος των θηλαστικών. Μπορούν να έχουν σημαντικές δυσμενείς επιπτώσεις στην υγεία των κατοικίδιων ζώων σε περιοχές χωρίς έντονους χειμώνες. Στα βοοειδή η ασθένεια είναι γνωστή ως πυρετός των βοοειδών του Τέξας ή redwater fever. 

ΣΗΜΕΙΑ ΚΑΙ ΣΥΜΠΤΩΜΑΤΑ ΠΙΡΟΠΛΑΣΜΩΣΗΣ

Τα μισά από όλα τα παιδιά και το ένα τέταρτο των προηγουμένως υγιών ενηλίκων με λοίμωξη από Babesia είναι ασυμπτωματικά. Όταν οι άνθρωποι εμφανίζουν συμπτώματα, τα πιο συχνά είναι ο πυρετός και η αιμολυτική αναιμία, συμπτώματα παρόμοια με εκείνα της ελονοσίας. Τα άτομα με συμπτώματα, συνήθως, αρρωσταίνουν 1 έως 4 εβδομάδες μετά το δάγκωμα ή 1 έως 9 εβδομάδες μετά τη μετάγγιση μολυσμένων προϊόντων αίματος. Ένα άτομο που έχει μολυνθεί από μπαμπεσίωση αναπτύσσει σταδιακά κακουχία και κόπωση, ακολουθούμενα από πυρετό. Αναπτύσσεται, επίσης, αιμολυτική αναιμία, κατά την οποία τα ερυθρά αιμοσφαίρια καταστρέφονται και απομακρύνονται από το αίμα. Τα ρίγη, ο ιδρώτας και η θρομβοπενία είναι επίσης κοινά συμπτώματα. Τα συμπτώματα μπορεί να διαρκέσουν από αρκετές ημέρες έως αρκετούς μήνες.

Λιγότερο συχνά συμπτώματα και ευρήματα φυσικής εξέτασης ήπιας έως μέτριας βαρύτητας μπαμπεσίωσης:

  • Πονοκέφαλο;
  • Μυϊκός πόνος
  • Ανορεξία
  • Μη παραγωγικός βήχας
  • Αρθραλγίες, μη φλεγμονώδης πόνος στις αρθρώσεις, σε αντίθεση με την αρθρίτιδα, που είναι φλεγμονώδης
  • Ναυτία
  • Εμετός
  • Πονόλαιμος
  • Κοιλιακός πόνος
  • Ροζ μάτι/Επιπεφυκίτιδα
  • Φωτοφοβία
  • Απώλεια βάρους
  • Συναισθηματική αστάθεια
  • Κατάθλιψη
  • Υπερευαισθησία
  • Διόγκωση σπλήνα
  • Φαρυγγικό ερύθημα
  • Διόγκωση ήπατος
  • Ίκτερος 
  • Αμφιβληστροειδοπάθεια με αιμορραγίες 
  • Εμφράγματα αμφιβληστροειδούς
  • Ουδετεροπενία

Σε πιο σοβαρές περιπτώσεις, εμφανίζονται συμπτώματα παρόμοια με την ελονοσία, με πυρετούς έως 40,5 °C, ρίγη, τρέμουλο και σοβαρή αναιμία. Μπορεί να ακολουθήσει οργανική ανεπάρκεια, συμπεριλαμβανομένου του συνδρόμου αναπνευστικής δυσχέρειας των ενηλίκων. Η σήψη σε άτομα που έχουν υποβληθεί σε σπληνεκτομή μπορεί να εμφανιστεί γρήγορα, σε συμφωνία με τη συντριπτική λοίμωξη μετά τη σπληνεκτομή. Σοβαρές περιπτώσεις είναι, επίσης, πιο πιθανό να εμφανιστούν σε πολύ νέους, πολύ ηλικιωμένους και άτομα με ανοσοανεπάρκεια, όπως ασθενείς με HIV/AIDS. Μια αναφερόμενη αύξηση στις διαγνώσεις ανθρώπινης μπαμπeσίωσης στη δεκαετία του 2000 πιστεύεται ότι προκαλείται από πιο διαδεδομένες δοκιμές και από υψηλότερο αριθμό ατόμων με ανοσοανεπάρκεια που έρχονται σε επαφή με τα τσιμπούρια, τον φορέα της νόσου. Λίγα είναι γνωστά για την εμφάνιση του είδους Babesia σε ενδημικές περιοχές της ελονοσίας, όπου η Babesia μπορεί εύκολα να διαγνωστεί λανθασμένα ως Plasmodium. Ανθρώπινοι ασθενείς με επαναλαμβανόμενη λοίμωξη από μπαμπεσίωση μπορεί να εμφανίσουν πρώιμο στάδιο της ελονοσίας. 

ΑΙΤΙΑ ΠΙΡΟΠΛΑΣΜΩΣΗΣ

Τα είδη Babesia ανήκουν στο γένος Apicomplexa, το οποίο έχει, επίσης, τα πρωτόζωα παράσιτα που προκαλούν ελονοσία, την τοξοπλάσμωση και την κρυπτοσποριδίωση.

Τέσσερα είδη Babesia μολύνουν τους ανθρώπους.

  • Babesia microti (<3 µm)
  • Babesia duncani
  • Babesia divergens (παράσιτο βοοειδών που παρατηρείται ως επί το πλείστον στην Ευρώπη) και
  • Babesia venatorum (παράσιτο ζαρκαδιών, παλαιότερα ονομαζόμενο EU1)

ΠΑΘΟΦΥΣΙΟΛΟΓΙΑ ΠΙΡΟΠΛΑΣΜΩΣΗΣ

Τα παράσιτα Babesia αναπαράγονται στα ερυθρά αιμοσφαίρια, όπου μπορούν να θεωρηθούν ως εγκλείσματα σε σχήμα σταυρού και προκαλούν αιμολυτική αναιμία, αρκετά παρόμοια με την ελονοσία. Σε αντίθεση με τα παράσιτα Plasmodium που προκαλούν την ελονοσία, τα είδη Babesia στερούνται εξωερυθροκυτταρικής φάσης, επομένως το ήπαρ συνήθως δεν επηρεάζεται. Σε ζώα, τα Babesia canis rossi, Babesia bigemina και Babesia bovis προκαλούν ιδιαίτερα σοβαρές μορφές της νόσου, συμπεριλαμβανομένης μιας σοβαρής αιμολυτικής αναιμίας, με θετικό τεστ συγκόλλησης ερυθροκυττάρων σε αλατούχο διάλυμα που υποδεικνύει ένα ανοσοποιητικό συστατικό στην αιμόλυση. Τα κοινά επακόλουθα περιλαμβάνουν αιμοσφαιρινουρία “κόκκινα ούρα”, διάχυτη ενδοαγγειακή πήξη και “εγκεφαλική μπαμπεσίωση” που προκαλείται από λάσπη ερυθροκυττάρων στα εγκεφαλικά τριχοειδή αγγεία. Στα βοοειδή, ο οργανισμός προκαλεί αιμολυτική αναιμία, έτσι ένα μολυσμένο ζώο εμφανίζει αρχικά ωχρούς βλεννογόνους. Καθώς τα επίπεδα της χολερυθρίνης συνεχίζουν να αυξάνονται, οι ορατοί βλεννογόνοι γίνονται κίτρινοι λόγω της αδυναμίας του ήπατος να μεταβολίσει την περίσσεια χολερυθρίνης. Η αιμοσφαιρινουρία παρατηρείται λόγω της απέκκρισης των υποπροϊόντων λύσης των ερυθρών αιμοσφαιρίων μέσω των νεφρών. Πυρετός 40,5 °C αναπτύσσεται λόγω της απελευθέρωσης φλεγμονωδών υποπροϊόντων.

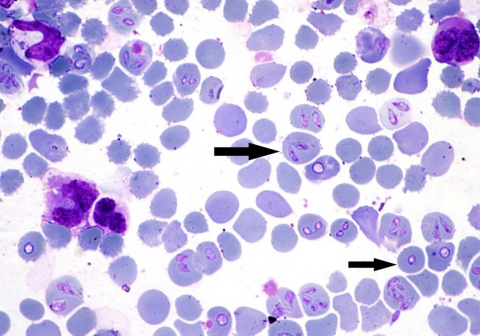
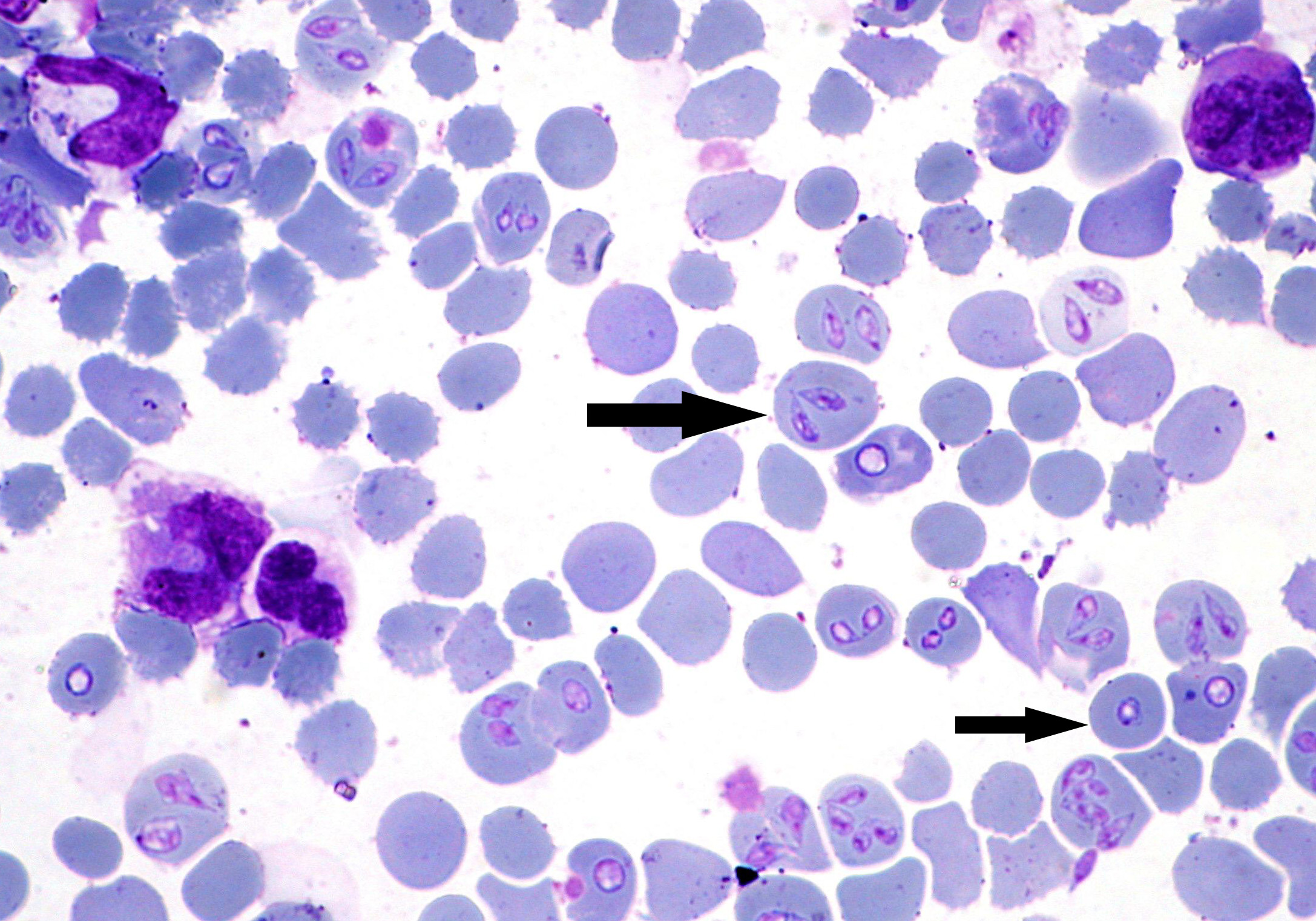
ΔΙΑΓΝΩΣΗ ΠΙΡΟΠΛΑΣΜΩΣΗΣ

Μόνο εξειδικευμένα εργαστήρια μπορούν να διαγνώσουν επαρκώς τη λοίμωξη από Babesia στον άνθρωπο. Αναπτύσσεται σε ασθενείς που ζουν ή ταξιδεύουν σε μια ενδημική περιοχή ή λαμβάνουν μετάγγιση μολυσμένου αίματος εντός των προηγούμενων 9 εβδομάδων, επομένως αυτή η πτυχή του ιατρικού ιστορικού είναι ζωτικής σημασίας. Μπαμπεσίωση μπορεί να υποπτευόμαστε όταν ένα άτομο με τέτοιο ιστορικό έκθεσης αναπτύσσει επίμονους πυρετούς και αιμολυτική αναιμία. Η οριστική διαγνωστική εξέταση είναι η ταυτοποίηση παρασίτων σε ένα επίχρισμα αίματος λεπτής μεμβράνης χρωματισμένο με Giemsa. Μπορεί να είναι απαραίτητη η προσεκτική εξέταση πολλαπλών επιχρισμάτων, καθώς το πρωτόζωο Babesia μπορεί να μολύνει λιγότερο από το 1% των κυκλοφορούντων ερυθρών αιμοσφαιρίων. Ο ορολογικός έλεγχος για αντισώματα κατά του Babesia, τόσο IgG όσο και IgM, μπορεί να ανιχνεύσει λοίμωξη χαμηλού επιπέδου σε περιπτώσεις με υψηλή κλινική υποψία. Δεδομένου ότι οι ανιχνεύσιμες αποκρίσεις αντισωμάτων απαιτούν περίπου μια εβδομάδα μετά τη μόλυνση για να αναπτυχθούν, οι ορολογικές εξετάσεις μπορεί να είναι ψευδώς αρνητικές στην αρχή της πορείας της νόσου.

Μια δοκιμή αλυσιδωτής αντίδρασης πολυμεράσης (PCR) έχει αναπτυχθεί για την ανίχνευση της Babesia από το περιφερικό αίμα. Η PCR μπορεί να είναι τουλάχιστον εξίσου ευαίσθητη και ειδική με την εξέταση μεμβράνης αίματος για τη διάγνωση της μπαμπεσίωσης, αν και είναι επίσης σημαντικά πιο ακριβή. Τις περισσότερες φορές, η εξέταση PCR χρησιμοποιείται σε συνδυασμό με εξέταση αίματος και πιθανώς ορολογικό έλεγχο. Άλλα εργαστηριακά ευρήματα περιλαμβάνουν μειωμένο αριθμό ερυθρών αιμοσφαιρίων και αιμοπεταλίων στην πλήρη αιματολογική εξέταση. Στα ζώα, υπάρχει υποψία μπαμπεσίωσης με την παρατήρηση κλινικών σημείων, όπως η αιμοσφαιρινουρία και η αναιμία σε ζώα σε ενδημικές περιοχές. Η διάγνωση επιβεβαιώνεται με παρατήρηση μεροζωιτών σε επίχρισμα αίματος λεπτής μεμβράνης που εξετάζεται σε μέγιστη μεγέθυνση κάτω από λάδι χρησιμοποιώντας κηλίδες Romonovski, μπλε του μεθυλενίου και ηωσίνη. Αυτό είναι ρουτίνα της κτηνιατρικής εξέτασης σκύλων και μηρυκαστικών σε περιοχές όπου η μπαμπεσίωση είναι ενδημική. Το Babesia canis και το B. bigemina είναι «μεγάλα είδη Babesia» που σχηματίζουν ζευγαρωμένους μεροζωίτες στα ερυθροκύτταρα, που συνήθως περιγράφονται ως «δύο αχλάδια που κρέμονται μαζί», αντί του «μαλτεζικού σταυρού» του «μικρού είδους Babesia». Οι μεροζωίτες τους έχουν διπλάσιο μέγεθος από τους μικρούς. Η εγκεφαλική μπαμπεσίωση είναι ύποπτη in vivo όταν εμφανίζονται νευρολογικά σημεία σε βοοειδή που είναι θετικά για B. bovis στο επίχρισμα αίματος. Ο έντονος κόκκινος αποχρωματισμός της φαιάς ουσίας μετά το θάνατο ενισχύει περαιτέρω την υποψία εγκεφαλικής μπαμπεσίωσης. Η διάγνωση επιβεβαιώνεται μεταθανάτια με παρατήρηση μολυσμένων από Babesia ερυθροκυττάρων που έχουν ουσία στα τριχοειδή αγγεία του εγκεφαλικού φλοιού σε ένα επίχρισμα εγκεφάλου.

Boophone disticha Άνθος
Boophone disticha Φυτό σε γλάστρα

ΘΕΡΑΠΕΙΑ ΠΙΡΟΠΛΑΣΜΩΣΗΣ

Η θεραπεία ασυμπτωματικών φορέων θα πρέπει να εξετάζεται εάν τα παράσιτα εξακολουθούν να ανιχνεύονται μετά από 3 μήνες. Στην ήπια έως μέτρια μπαμπεσίωση, η θεραπεία εκλογής είναι ο συνδυασμός ατοβακουόνης και αζιθρομυκίνης. Αυτό το σχήμα προτιμάται από την κλινδαμυκίνη και την κινίνη γιατί έχει λιγότερες παρενέργειες. Η τυπική διάρκεια θεραπείας είναι 7 έως 10 ημέρες, αλλά επεκτείνεται σε τουλάχιστον 6 εβδομάδες σε άτομα με υποτροπιάζουσα νόσο. Ακόμη και ήπιες περιπτώσεις συνιστάται να αντιμετωπίζονται για να μειωθεί η πιθανότητα ακούσιας μετάδοσης της λοίμωξης με αιμοδοσία. Σε σοβαρή μπαμπεσίωση προτιμάται ο συνδυασμός κλινδαμυκίνης και κινίνης. Σε περιπτώσεις απειλητικές για τη ζωή, πραγματοποιείται μετάγγιση ανταλλαγής. Σε αυτή τη διαδικασία, τα μολυσμένα ερυθρά αιμοσφαίρια αφαιρούνται και αντικαθίστανται με μη μολυσμένα. Το Imizol είναι ένα φάρμακο που χρησιμοποιείται για τη θεραπεία της μπαμπεσίωσης σε σκύλους. Εκχυλίσματα από το δηλητηριώδες, βολβώδες φυτό Boophone disticha χρησιμοποιούνται στη λαϊκή ιατρική της Νότιας Αφρικής για τη θεραπεία της μπαμπεσίωσης των ιπποειδών. Το B. disticha είναι μέλος της οικογένειας των ασφόδελων Amaryllidaceae και έχει επίσης χρησιμοποιηθεί σε παρασκευάσματα που χρησιμοποιούνται ως δηλητήρια για τα βέλη, παραισθησιογόνα και στην ταρίχευση. Το φυτό είναι πλούσιο σε αλκαλοειδή, μερικά από τα οποία εμφανίζουν δράση παρόμοια με αυτή της σκοπολαμίνης.

Τα κατάλληλα συμπληρώματα διατροφής για τις λοιμώξεις

Πατήστε, εδώ, για να παραγγείλετε τα κατάλληλα προϊόντα για τις λοιμώξεις

Η καθοδήγηση για την επιλογή των ποιων συμπληρωμάτων διατροφής, από τα ανωτέρω, είναι κατάλληλα για την ασθένειά σας θα γίνει σε συνεννόηση με το θεράποντα ιατρό.

Διαβάστε, επίσης,

Πυρετός Q

Κηλιδώδης πυρετός των βραχωδών ορέων

Αφρικανικός τύφος από κρότωνα

Νόσος Lyme

Ερλιχίωση από μολυσμένο τσιμπούρι

Χρήσιμες πληροφορίες για τη νόσο του Lyme

Home

Print Friendly, PDF & Email

ΑΦΗΣΤΕ ΜΙΑ ΑΠΑΝΤΗΣΗ

εισάγετε το σχόλιό σας!
παρακαλώ εισάγετε το όνομά σας εδώ