Φαιοχρωμοκύττωμα. Φαιοχρωμοκύττωμα είναι νευροενδοκρινής όγκος του μυελού των επινεφριδίων που εκκρίνει μεγάλες ποσότητες κατεχολαμινών
Ειδικός Παθολόγος-Ογκολόγος, MD, PhD

Φαιοχρωμοκύττωμα
Το φαιοχρωμοκύττωμα ή παραγαγγλίωμα, ICD-10 D35.0, C74.1 είναι ένας νευροενδοκρινής όγκος του μυελού των επινεφριδίων που εκκρίνει μεγάλες ποσότητες κατεχολαμινών, ως επί το πλείστον νορεπινεφρίνη και επινεφρίνη σε μικρότερο βαθμό.
Τα παραγαγγλιώματα (συχνά, περιγράφονται ως εξωεπινεφριδικά φαιοχρωμοκυττώματα) και προέρχονται από τα γάγγλια του συμπαθητικού νευρικού συστήματος και ονομάζονται με βάση την πρωτογενή ανατομική θέση προέλευσής τους.
Στο 90% των περιπτώσεων οι όγκοι βρίσκονται στο μυελό των επινεφριδίων, αλλά μπορεί να βρεθούν σε άλλους ιστούς προερχόμενους από κύτταρα της νευρικής ακρολοφίας.
Το φαιοχρωμοκύττωμα παρατηρείται μεταξύ σε αναλογία 0,01-0,1% του υπερτασικού πληθυσμού. Εμφανίζεται, συνήθως, σε νεαρούς ενήλικες ή στη μέση ηλικία, αν και παρουσιάζεται και νωρίτερα σε κληρονομικές καταστάσεις εξίσου και στα 2 φύλλα.
Ο κανόνας των 10 που ισχύει για τα φαιοχρωμοκυττώματα
Περίπου το 10% των όγκων είναι πολλαπλοί ή αμφοτερόπλευροι (που υποδηλώνει κληρονομική ασθένεια)
Περίπου το 10% των όγκων συμβαίνουν σε παιδιά (επίσης, υποδηλώνει κληρονομική ασθένεια)
Περίπου το 15% είναι παραγαγγλιώματα: από αυτούς το 9% είναι στην κοιλιακή χώρα και 1% βρίσκονται αλλού
Περίπου το 11,1% των όγκων είναι κακοήθεις, αλλά το ποσοστό αυτό αυξάνεται σε 30% για τις εξωεπινεφριδικές περιπτώσεις
Περίπου το 15-20% είναι κληρονομικοί
Περίπου 5% προκαλούνται από τη νόσο Von Hippel Lindau
Περίπου 3% υποτροπιάζουν μετά την εκτομή
Περίπου το 14% των προσβεβλημένων ατόμων δεν έχουν αρτηριακή υπέρταση
Σημεία και συμπτώματα φαιοχρωμοκυττώματος
Τα σημεία και τα συμπτώματα ενός φαιοχρωμοκυτώματος είναι εκείνα της υπερδραστηριότητας του συμπαθητικού νευρικού συστήματος:
-Παροξυσμικές κρίσεις φαιοχρωμοκυττώματος
- Αιφνίδια αύξηση της αρτηριακής πίεσης
- Πόνος, κεφαλαλγία, θωρακικό και κοιλιακό άλγος
- Εφίδρωση
- Αίσθημα παλμών
- Ωχρότητα
- Δυσκοιλιότητα
- Τρόμος
- Απώλεια βάρους
- Άγχος
-Σημεία φαιοχρωμοκυττώματος
- Υπέρταση παροξυσμική
- Ορθοστατική υπόταση
- Αμφιβληστροειδοπάθεια βαθμού ΙΙ ως IV
- Πυρετός
- Υπεργλυκαιμία
- Υπερασβεστιαιμία
- Ερυθροκυττάρωση
Παράγοντες κινδύνου για φαιοχρωμοκύττωμα
- Οικογενές φαιοχρωμοκύττωμα
- Πολλαπλή ενδοκρινική νεοπλασία τύπου ΙΙα και ΙΙβ (ΜΕΝ/Multiple Endocrine Neoplasia/Πολλαπλή ενδοκρινική νεοπλασία ΙΙΑ και ΙΙΒ)
ΜΕΝ ΙΙΑ: μυελοειδές καρκίνωμα θυρεοειδούς και πρωτοπαθής υπερπαραθυρεοειδισμός
ΜΕΝ ΙΙΒ: μυελοειδές καρκίνωμα θυρεοειδούς και νευρινώματα βλεννογόνων
- Νευροϊνωμάτωση
- Σύνδρομο Von Hippel Lindau (αγγειωμάτωση αμφιβληστροειδούς και αιμαγγειοβλάστωμα παρεγκεφαλίδας)
- Αταξία-τηλαγγειεκτασία
- Οζώδης σκλήρυνση
- Σύνδρομο Sturge-Weber (αναπτυξιακή ανωμαλία των αρτηριών του προσώπου και του εγκεφάλου που προκαλούν διαταραχές στην αιματική ροή του)
- Χολολιθίαση
- Στένωση νεφρικής αρτηρίας
Διαφορική διάγνωση φαιοχρωμοκυττώματος
- παραγαγγλιώματα
- νόσος Von Hippel-Lindau
- ιδιοπαθής υπέρταση
- υπερθυρεοειδισμός και θυρεοτοξίκωση
- ινσουλίνωμα
- δηλητηρίαση από υδράργυρο
- παροξυσμική υπερκοιλιακή ταχυκαρδία
- νεφραγγειακή υπέρταση
- καρκινοειδές
- προσβολές άγχους και πανικού και σύνδρομο απόσυρσης των βενζοδιαζεπινών
- εμμηνοπαυσιακό σύνδρομο
- υπογλυκαιμία
- μαστοκυττάρωση
- διακοπή των αδρενοκατασταλτικών φαρμάκων
- στηθάγχη
- υπεραερισμός
- ημικρανία
- χρήση αμφεταμινών ή κοκαϊνης
- λήψη συμπαθητικομιμητικών
Αίτια φαιοχρωμοκυττώματος
Έως 25% των περιπτώσεων φαιοχρωμοκυττωμάτων, μπορεί να είναι οικογενείς. Οι μεταλλάξεις των γονιδίων VHL/Von Hippel-Lindau disease, RET/Rearranged during transfection/Αναδιάταξη κατά τη διάρκεια της μεταμόσχευσης, NF1/Neurofibromatosis type 1 (γονίδιο 17 νευροϊνωμάτωση τύπου 1) και SDHB/Succinate Dehydrogenase Complex Iron-Sulfur Subunit B/Σύμπλοκο ηλεκτρικής αφυδρογονάσης Υπομονάδα σιδήρου-θείου Β, SDHD/Succinate Dehydrogenase Complex Subunit D/Υπομονάδα D του συμπλόκου ηλεκτρικής αφυδρογονάσης όλα είναι γνωστό ότι προκαλούν οικογενή φαιοχρωμοκύττωμα/εξωεπινεφριδικό παραγαγγλίωμα.
Το φαιοχρωμοκύττωμα είναι ένας όγκος του συνδρόμου πολλαπλής ενδοκρινής νεοπλασίας, τύπου ΙΙΑ και τύπου ΙΙΒ (επίσης γνωστό ως MEN IIA και IIB MEN, αντίστοιχα).
Τα άλλα νεοπλάσματα του εν λόγω συνδρόμου περιλαμβάνουν αδενώματα του παραθυρεοειδούς αδένα και μυελώδη καρκίνο του θυρεοειδούς. Το φαιοχρωμοκύτωμα που συνδέεται με ΜΕΝ II μπορεί να προκληθεί από μεταλλάξεις του ογκογονιδίου RET. Και τα δύο σύνδρομα χαρακτηρίζονται από φαιοχρωμοκύττωμα, καθώς και καρκίνο του θυρεοειδούς (μυελοειδές καρκίνωμα του θυρεοειδούς). Το MEN IIA παρουσιάζεται, επίσης, με υπερπαραθυρεοειδισμό, ενώ το MEN IIB παρουσιάζεται, επίσης, με νευρινώματα των βλεννογόνων.
Το φαιοχρωμοκύτωμα συνδέεται, επίσης, με τη νευροϊνωμάτωση.
Διάγνωση φαιοχρωμοκυττώματος
- Αυξημένη μετανεφρίνη ούρων 24ώρου
- Αυξημένες κατεχολαμίνες ούρων ή πλάσματος σε 24ωρο, μετρημένες με υγρή χρωματογραφία υψηλής απόδοσης. Σε αμφίβολα αποτελέσματα επαναλαμβάνεται η συλλογή ούρων 24ώρου.
- Φάρμακα που μεταββάλλουν τα ευρήματα
Αυξάνονται από:
-Αμφεταμίνες
-Διακοπή κλονιδίνης ή άλλου φαρμάκου
-Λαβεταλόλη
-Αιθανόλη
-Μεθυλντόπα
-Σοταλόλη
-Λεβοντόπα
Μειώνονται από:
-Κεντρικούς α2 αγωνιστές
-Ρεσερπίνη
Επίσης, το φυσικό stress από ασθένεια ή χειρουργείο μεταβάλλει τα αποτελέσματα.
Η διάγνωση μπορεί να καθοριστεί με τη μέτρηση των κατεχολαμινών και μετανεφρινών στο πλάσμα (αίματος) ή μέσω μιας συλλογής ούρων 24-ώρου. Θα πρέπει να ληφθεί μέριμνα ώστε να αποκλειστούν άλλες αιτίες, όπως η υπογλυκαιμία, το στρες, η άσκηση και φάρμακα που επηρεάζουν τις κατεχολαμίνες όπως διεγερτικά, μεθυλντόπα, αγωνιστές ντοπαμίνης ή αντιυπερτασικά. Διάφορα τρόφιμα (π.χ. καφές, τσάι, μπανάνες, σοκολάτα, κακάο, τα εσπεριδοειδή και η βανίλια) μπορεί, επίσης, να επηρεάσουν τα επίπεδα της μετανεφρίνης ούρων και το VMA/Vanillylmandelic acid (βανιλομανδελικό οξύ).
- Η ιστοπαθολογική εξέταση των επινεφριδίων δείχνει όγκο που παράγει κατεχολαμίνες στο μυελό των επινεφριδίων, την παραορτική συμπαθητική αλυσίδα, το τοίχωμα ουροδόχου κύστης, τη συμπαθητική αλυσίδα στον αυχένα και το μεσοθωράκιο.
- Μπορεί να απαιτηθούν δοκιμασία καταστολής με κλονιδίνη ή δοκιμασία πρόκλησης ή καταστολής.
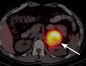
- Η μαγνητική τομογραφία προτιμάται της αξονικής.
- Χρήσιμο θεωρείται και το σπινθηρογράφημα με 131 Ι- μεταϊωδοβενζυλγουανιδίνη-MIBG/metaiodobenzylguanidine/ σπινθηρογράφημα (καλύτερα να μη γίνεται)
- Ακόμα λεπτομερής εντοπισμός μπορεί να ληφθεί με σάρωση ΡΕΤ χρησιμοποιώντας PET/CT-Positron Emission Tomography/Computed TomographyΤομογραφία Εκπομπής Ποζιτρονίων/Αξονική Τομογραφία με F-18-fluorodopamine (καλύτερα να μη γίνεται)
- Άλλες δοκιμές:
Η χρωμογρανίνη Α είναι αυξημένη σε περίπτωση φαιοχρωμοκυττώματος
Εντόπιση του φαιοχρωμοκυττώματος
Στους ενήλικες, περίπου το 80% των φαιοχρωμοκυττωμάτων είναι μονόπλευρα, 10% είναι αμφοτερόπλευρα και 10% είναι εξωεπινεφριδικά. Στα παιδιά, το ένα τέταρτο των όγκων είναι αμφοτερόπλευρα και ένα επιπλέον 1/3 είναι εξωεπινεφριδικά. Μεμονωμένες βλάβες υπάρχουν, κυρίως στη δεξιά πλευρά. Μολονότι τα φαιοχρωμοκυττώματα μπορεί να αυξηθούν σε μεγάλο μέγεθος (> 3 kg), οι περισσότεροι ζυγίζουν <100 g και είναι <10 cm σε διάμετρο. Τα φαιοχρωμοκυττώματα είναι πολύ αγγειοβριθή.
Οι όγκοι αποτελούνται από μεγάλα, πολυεδρικά, πλειόμορφα κύτταρα χρωμαφίνης. Λιγότεροι από το 10% των όγκων αυτών είναι κακοήθεις. Όπως και με πολλούς άλλους ενδοκρινείς όγκους, η κακοήθεια δεν μπορεί να προσδιοριστεί από την ιστολογική εμφάνιση. Οι όγκοι που περιέχουν μεγάλο αριθμό από ανευπλοειδικά ή τετραπλοειδή κύτταρα, όπως προσδιορίζεται με την κυτταρομετρία ροής, είναι πιο πιθανό να υποτροπιάσουν. Τοπική εισβολή των γύρω ιστών ή απομακρυσμένες μεταστάσεις υποδεικνύουν κακοήθεια.
Τα εξωεπινεφριδικά φαιοχρωμοκυττώματα ζυγίζουν συνήθως 20 έως 40 g και είναι <5 cm σε διάμετρο. Τα περισσότερα βρίσκονται μέσα στην κοιλιά και συνυπάρχουν με την κοιλιοκάκη. Περίπου 10% είναι στο θώρακα, 1% είναι εντός της ουροδόχου κύστεως και λιγότερο από το 3% είναι στο λαιμό, συνήθως, στα συμπαθητικά γάγγλια ή τον εξωκράνιο κλάδο των ένατου κρανιακού νεύρου.

Θεραπεία φαιοχρωμοκυττώματος
Καλύτερα να χορηγείται συνδυασμένος α και β αδρενεργικού αποκλεισμού. Η χειρουργική διαδικασία είναι υψηλού κινδύνου.
Φάρμακο εκλογής
Συνδυασμένος α και β αδρενεργικός αποκλεισμός.
Ξεκινήστε πρώτα με άλφα αποκλεισμό με φαινοξυβενζαμίνη 10mg και αυξήστε 10 mg κάθε 2 ημέρες με μέση δόση 0,5-1 mg/kg/ημερησίως.
Μετά χορηγήστε βήτα αποκλεισμό με προπρανολόλη 10 mg κάθε 6 ώρες.
Οι οξείες υπερτασικές κρίσεις αντιμετωπίζονται με φαιντολαμίνη ενδοφλέβια.
Οι αντενδείξεις βήτα αποκλεισμού είναι το άσθμα, η κολπική βραδυκαρδία και ο πάνω από 1ου βαθμού κολποκοιλιακός αποκλεισμός ή η συγγενής καρδιακή ανεπάρκεια. Ο βήτα αποκλεισμός μπορεί να οδηγήσει σε πιο σοβαρή υπέρταση λόγω άλφα αδρενεργικού ερεθισμού και ορθοστατική υπόταση και κίνδυνο πνευμονικού οιδήματος σε μυοκαρδιοπάθεια από τις κατεχολαμίνες.
Εναλλακτικά φάρμακα για το φαιοχρωμοκύττωμα
Εναλλακτικά φάρμακα είναι ο άλφα αδρενεργικός αποκλεισμός με πραζοσίνη, τεραζοσίνη, δοξαζοσίνη
Εναλλακτικά φάρμακα είναι ο βήτα αδρενεργικός αποκλεισμός με ναδολόλη, ατενολόλη, μεταπρολόλη
Συνδυασμός βήτα και άλφα αδρενεργικών, όπως λαβετολόλη
Αναστολείς σύνθεσης κατεχολαμινών με τυροσίνη
Απαιτείται καθημερινή παρακολούθηση της αρτηριακής πίεσης πριν το χειρουργείο, αιμοδυναμική παρακολούθηση κατά το χειρουργείο και μέτρηση κατεχολαμινών σε ούρα 24ώρου και μετανεφρινών μετά το χειρουργείο και κάθε χρόνο για 5 ετη.
Η χειρουργική εκτομή του όγκου είναι η θεραπεία πρώτης επιλογής, είτε με ανοικτή λαπαροτομία ή λαπαροσκόπηση. Λόγω της πολυπλοκότητας η χειρουργική επέμβαση θα πρέπει να εκτελείται μόνο σε κέντρα με εμπειρία στην διαχείριση αυτής της διαταραχής. Μπορεί, επίσης, να είναι αναγκαία η επινεφριδεκτομή, με πλήρη χειρουργική αφαίρεση του προσβεβλημένου επινεφριδίου.
Πριν το χειρουργείο θα απαιτηθεί θεραπεία με μπλόκερ άλφα αδρενεργικών υποδοχέων με φαινοξυβενζαμίνη ή έναν άλφα ανταγωνιστή βραχείας δράσης (π.χ. πραζοσίνη, τεραζοσίνη ή δοξαζοσίνη) για να ελαχιστοποιηθεί η πιθανότητα σοβαρής διεγχειρητικής υπέρτασης. Ορισμένοι προτείνουν ένα συνδυασμό άλφα βήτα blocker, όπως λαβετολόλη που επιβραδύνει και τον καρδιακό ρυθμό. Ένας βήτα αποκλειστής, όπως η ατενολόλη δεν πρέπει ποτέ να χρησιμοποιηθεί σε φαιοχρωμοκύττωμα λόγω του κινδύνου άλφα αγωνισμού και ως εκ τούτου, σοβαρής και δυνητικά ανθεκτικής υπέρτασης.
Η χρονίως αυξημένη αδρενεργική κατάσταση οδηγεί σε σχεδόν πλήρη αναστολή του συστήματος ρενίνης-αγγειοτενσίνης, με αποτέλεσμα υπερβολική απώλεια ούρων και έτσι μειωμένο όγκο αίματος. Ως εκ τούτου, μόλις το φαιοχρωμοκύττωμα αφαιρεθεί, εξαλείφοντας έτσι την κύρια πηγή των κυκλοφορούντων κατεχολαμινών, προκύπτει μείωση της δραστηριότητας του συμπαθητικού και του όγκου και αυτό μπορεί να οδηγήσει σε υπόταση. Ως εκ τούτου, συνήθως συνιστάται ασθενείς με φαιοχρωμοκύττωμα να λαμβάνουν φορτίο πριν από την επέμβαση. Αυτό μπορεί να αποτελείται από απλές παρεμβάσεις, όπως η κατανάλωση τροφίμων υψηλής περιεκτικότητας άλατος προεγχειρητικά ή μέσω ενδοφλέβιας χορήγησης αλατούχου διαλύματος.
Επιπλοκές φαιοχρωμοκυττώματος
Η μαζική απελευθέρωση κατεχολαμινών σε φαιοχρωμοκύττωμα μπορεί να προκαλέσει βλάβη στα καρδιακά κύτταρα (μυοκύτταρα). Η βλάβη μπορεί να οφείλεται σε επίδραση στη στεφανιαία μικροκυκλοφορία ή με άμεσες τοξικές επιδράσεις στα κύτταρα της καρδιάς.
Ορθοστατική υπόταση με άλφα αδρενεργικό αποκλεισμό
Πνευμονικό οίδημα με βήτα αδρενεργικό αποκλεισμό
Υπερτασική κρίση στην εγχείρηση
Σε περίπτωση εγκυμοσύνης η αφαίρεση γίνεται κατά την καισαρική στην ίδια επέμβαση με τον τοκετό
Να προτιμάτε τις φυσικές θεραπείες για τον καρκίνο, σύμφωνα με το Μοριακό Προφίλ του Όγκου
Η ζωή είναι πολύτιμη.
Η ζωή είναι δική σας. Πάρτε την στα χέρια σας!

Γράφει η
Δρ Σάββη Μάλλιου Κριαρά
Ειδικός Παθολόγος- Ογκολόγος, MD, PhD
Διαβάστε περισσότερα για την Σάββη Μάλλιου Κριαρά
Τα κατάλληλα προϊόντα για το φαιοχρωμοκύττωμα
Πατήστε, εδώ, για να παραγγείλετε τα κατάλληλα προϊόντα για το φαιοχρωμοκύττωμα

Η καθοδήγηση για την επιλογή των ποιων συμπληρωμάτων διατροφής, από τα ανωτέρω, είναι κατάλληλα για την ασθένειά σας θα γίνει σε συνεννόηση με το θεράποντα ιατρό.
Διαβάστε, επίσης,
Διερεύνηση αρτηριακής υπέρτασης




