Το χοριοκαρκίνωμα όρχεως είναι κακοήθης όγκος του όρχεως
Ειδικός Παθολόγος-Ογκολόγος, MD, PhD
Το χοριοκαρκίνωμα του όρχεως, ICD-10 C62.90, είναι κακοήθης όγκος του όρχεως που αποτελείται από συγκυτιοτροφοβλαστικά κύτταρα. Πρόκειται για συμπαγή όγκο του όρχεως με ορχική μάζα και ορχικό πόνο και πορεία προϊούσα. Πολλές φορές οφείλεται σε κρυψορχία.
Το αμιγές χοριοκαρκίνωμα του όρχεως είναι σπάνιο, σε σχέση με το σεμίνωμα και όλες τις άλλες μορφές των μη σεμινωματωδών όγκων των γεννητικών κυττάρων (NSGCTs).
Όπως και άλλοι όγκοι των γεννητικών κυττάρων (όγκοι των βλαστικών κυττάρων), το χοριοκαρκίνωμα επηρεάζει, συνήθως, τους νεότερους άνδρες.
Σε αντίθεση με άλλους καρκίνους, το χοριοκαρκίνωμα μεθίσταται αιματογενώς, ακόμη και με την παρουσία πολύ μικρού όγκου στον όρχι. Ο όγκος ανταποκρίνεται ανεπαρκώς στην ακτινοβολία και τη χημειοθεραπεία και έχει υψηλό ποσοστό θνησιμότητας.
Η χειρουργική επέμβαση είναι η ριζική ορχεκτομή.
Παθοφυσιολογία του χοριοκαρκινώματος του όρχεως
Μεθίσταται νωρίς, αιματογενώς στον πνεύμονα, το ήπαρ και τον εγκέφαλο.
Το χοριοκαρκίνωμα όρχεως είναι σπάνιο και αντιπροσωπεύει μόνο το 1% -2% όλων των κακοηθειών στους άνδρες και συμβαίνει σε 1 στους 250 άνδρες άνω των 65 ετών. Ωστόσο, αυτοί οι όγκοι αντιπροσωπεύουν την πιο συχνή κακοήθεια στους άνδρες ηλικίας 15-35 χρόνων. Τα ποσοστά εμφάνισης είναι 3,7 περιπτώσεις και 0,9 περιπτώσεις ανά 100.000 ετησίως σε λευκούς άνδρες και μαύρους άνδρες, αντίστοιχα.
Οι όγκοι των βλαστικών κυττάρων των όρχεων έχουν πολλές υποτύπους, όπως σεμίνωμα (40%), του εμβρυϊκό καρκίνωμα (25%), τερατοκαρκίνωμα (25%), τεράτωμα (5%) και χοριοκαρκίνωμα (αμιγές 1%).
Συμπτώματα και σημεία του χοριοκαρκινώματος του όρχεως
Ο ίδιος ο όγκος μπορεί να είναι μικρός και να μην προκαλεί συμπτώματα. Οι περισσότεροι όγκοι των βλαστικών κυττάρων των όρχεων προκαλούν διόγκωση του οσχέου και μια ψηλαφητή μάζα. Ο ορχικός πόνος ακτινοβολεί στην βουβωνική χώρα και την κοιλιά, και είναι δυνατός, από ότι σε επιδιδυμίτιδα.
Ο μεταστατικός καρκίνος του όρχεως από βλαστικά κύτταρα, συμπεριλαμβανομένου του χοριοκαρκινώματος, μπορεί επίσης να εκδηλωθεί ως μια ινώδη ουλή με απόντα ή πολύ μικρό όγκο. Τα ευρήματα από τον πνεύμονα, το ήπαρ και / ή τον εγκέφαλο από τις μεταστάσεις μπορεί να είναι πιο έντονα από ότι τα ευρήματα από την εξέταση των όρχεων.
Αιτίες χοριοκαρκινώματος όρχεως
Οι ασθενείς με ιστορικό κρυψορχίας βρίσκονται σε σημαντικά αυξημένο κίνδυνο για καρκίνο του όρχεως (10-40 φορές μεγαλύτερο). Η κοιλιακή κρυψορχία σχετίζεται με μεγαλύτερο κίνδυνο από ότι η βουβωνική. Ένα καρκίνος των όρχεων από κοιλιακή κρυψορχία είναι πιο πιθανό να είναι σεμίνωμα, ενώ ένας η βουβωνική κρυψορχία σχετίζεται περισσότερο με μη σεμινωματώδεις όγκους. Η ορχεοπηξία επιτρέπει την έγκαιρη ανίχνευση με τη φυσική εξέταση, αλλά δεν μεταβάλλει τον κίνδυνο για καρκίνο. Δέκα τοις εκατό των ασθενών με καρκίνο όρχεως έχουν ιστορικό κρυψορχίας (2%) αμιγές χοριοκαρκίνωμα.
Οι γενετικές αλλαγές με ενισχύσεις και απαλοιφές στις χρωμοσωμικές περιοχές 12p11.2-p12.1. (12p σεμινώματα και μη σεμινώματα) και στο χρωμόσωμα 9 (σπερματοκυτταρικό σεμίνωμα), ενώ οι περισσότεροι όγκοι του λεκιθικού ασκού και τα τερατώματα δεν σχετίζονται με χρωμοσωμικές αλλαγές.
Άλλοι αιτίες του καρκινώματος του όρχεως είναι το τραύμα, η παρωτίτιδα και η έκθεση της μητέρας σε οιστρογόνα κατά την εγκυμοσύνη.
Διαφορική διάγνωση του χοριοκαρκινώματος του όρχεως
- Υδροκήλη
- Σπερματοκήλη
Διάγνωση του χοριοκαρκινώματος του όρχεως
- Η Α-φετοπρωτεΐνη (AFP) εκκρίνεται από τα στοιχεία του λεκιθικού σάκου και αυξημένα επίπεδα AFP σημαίνουν μη σεμινωματώδη όγκο όρχεων. Η AFP είναι, όμως, συνήθως, φυσιολογική σε αμιγές χοριοκαρκίνωμα. Ο χρόνος ημιζωής της AFP είναι 5 έως 7 ημέρες.
- Η ανθρώπινη χοριακή γοναδοτροπίνη (hCG) είναι μια γλυκοπρωτεΐνη με την ίδια μονάδα άλφα με την θυρεοειδοτρόπο ορμόνη (TSH), την ωοθυλακιοτρόπο ορμόνη (FSH) και την ωχρινοτρόπο ορμόνη (LH). Ως εκ τούτου, η υπομονάδα βήτα θα πρέπει να αναλυθεί. Η βήτα-hCG έχει 24 έως 36 ώρες χρόνο ημίσειας ζωής και εκκρίνεται από τα συγκυτιοτροφοβλαστικά κύτταρα εντός του όγκου. Η βήτα-hCG είναι, συνήθως, αισθητά αυξημένη σε αμιγές χοριοκαρκίνωμα. Η επίμονη αύξηση των επιπέδων β-hCG ορίζεται ως η συνεχιζόμενη ανύψωση του δείκτη πάνω από τα προβλεπόμενα επίπεδα, βάσει της ημίσειας ζωής στον ορό, που είναι 24-36 ώρες. Αυτό μπορεί, επίσης, να εφαρμοστεί στην AFP (5 έως 7 ημέρες αναμενόμενη ημίσεια ζωή). Από κλινική άποψη, η επίμονη ανύψωση των δεικτών δείχνει υπολειμματική νόσο.
- Η γαλακτική αφυδρογονάση (LDH): Αυξημένα επίπεδα LDH μπορεί να υποδεικνύουν μεγάλο όγκο ή προχωρημένο στάδιο της νόσου. Ωστόσο, η ευαισθησία και η εξειδίκευσή της είναι περιορισμένη σε σύγκριση με την β-hCG και την AFP. Η άνοδος της στάθμης μετά τη θεραπεία μπορεί να υποδηλώνει υποτροπή. Ανύψωση και των υπόλοιπων δοκιμασιών ηπατικής λειτουργίας μπορεί να συσχετίζονται με μεταστατική νόσο του ήπατος.
- Η πλακουντιακή αλκαλική φωσφατάση (PLAP): Η PLAP είναι αυξημένη σε ορισμένους ασθενείς με σεμίνωμα και προχωρημένη νόσο. Ωστόσο, το κάπνισμα και αρκετοί άλλοι όγκοι προκαλούν, επίσης αύξηση και ο δείκτης, δε χρησιμοποιείται, συνήθως.
- Υπερηχογράφημα οσχέου: Κάθε άνδρας με ψηλαφητή μάζα των όρχεων πρέπει να υποβάλλεται σε υπερηχογράφημα οσχέου. Άλλες ενδείξεις για το υπερηχογράφημα είναι ο οξύς πόνος στο όσχεο, η υδροκήλη, το οίδημα ή μαι μάζα. Το χοριοκαρκίνωμα σχετίζεται με αιμορραγία και νέκρωση και μπορεί να εμφανιστεί πιο κυστικό, ανομοιογενές, και ασβεστοποιημένο από το σεμίνωμα.
- Αξονική τομογραφία της κοιλιάς και της πυέλου: Σε όλες τις μορφές καρκίνου των όρχεων η αξονική χρησιμοποιείται για τον εντοπισμό μεταστατικής νόσος στους οπισθοπεριτοναϊκούς λεμφαδένες. Σε ασθενείς με αμιγές χοριοκαρκίνωμα, η μετάσταση είναι αιματογενής. Προτιμάται η μαγνητική τομογραφία
- Αξονική τομογραφία του εγκεφάλου: Το χοριοκαρκίνωμα σχετίζεται με εγκεφαλικές μεταστάσεις. Επιπλέον, τα χοριοκαρκινώματα, κάνουν πολλαπλές εγκεφαλικές μεταστάσεις με παρεγκεφαλιδική συμμετοχή. Οι πνευμονικές μεταστάσεις προηγούνται ή συμπίπτουν με τις εγκεφαλικές μεταστάσεις. Προτιμάται η μαγνητική τομογραφία
- Ακτινογραφία και αξονική θώρακος: Αυξημένος κίνδυνος πνευμονικών μεταστάσεων υπάρχει στο χοριοκαρκίνωμα.
- Σπινθηρογράφημα οστών: Οι όγκοι των βλαστικών κυττάρων των όρχεων κάνουν μεταστάσεις στα οστά (σεμίνωμα-56%, μικτό χοριοκαρκίνωμα-35%, τεράτωμα-30%, και εμβρυϊκό καρκίνωμα- 24%). Το αμιγές χοριοκαρκίνωμα, σπάνια κάνει μεταστάσεις στα οστά. Σε αμιγές χοριοκαρκίνωμα, το σπινθηρογράφημα οστών μπορεί να παραλειφθεί σε απουσία του πόνου των οστών. Καλύτερα να μη γίνεται
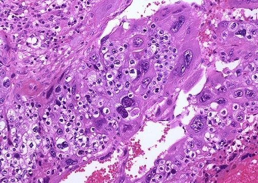
- Τα ιστολογικά ευρήματα: Μικρό οζίδιο αιμορραγικό με γκριζωπό-λευκό όγκο στην περιφέρεια. Η ιστολογική εξέταση δείχνει ότι το χοριοκαρκίνωμα περιέχει τόσο συγκυτιοτροφοβλαστικά όσο και τροφοβλαστικά κύτταρα. Τα συγκυτιοτροφοβλαστικά κύτταρα είναι υπεύθυνα για την παραγωγή της β χοριακής γοναδοτροπίνης.

Σταδιοποίηση του χοριοκαρκινώματος του όρχεως
Πρωτοπαθής όγκος (Τ)
ΡΤχ – ο πρωτογενής όγκος δεν μπορεί να εκτιμηθεί.
p0 – Καμία ένδειξη πρωτοπαθούς όγκου
pTis – Nεοπλασία in situ
pΤ1 – O όγκος περιορίζεται στους όρχεις και στην επιδιδυμίδα, χωρίς αγγειακή / λεμφική εισβολή, μπορεί να εισβάλλει στον ινώδη χιτώνα, δεν εισβάλλει στον ελυτροειδή χιτώνα του όρχεως
pΤ2 – O όγκος περιορίζεται στους όρχεις και στην επιδιδυμίδα, αγγειακή / λεμφική εισβολή ή όγκος που εκτείνεται διαμέσου του ινώδη χιτώνα με συμμετοχή του ελυτροειδής χιτώνας του όρχεως, εισβάλλει πέραν του ινώδη χιτώνα ή στην επιδιδυμίδα
pΤ3 – O όγκος εισβάλλει στο σπερματικό τόνο με ή χωρίς αγγειακή / λεμφική εισβολή
pΤ4 – O όγκος εισβάλλει στο όσχεο με ή χωρίς αγγειακή / λεμφική εισβολή
Περιφερειακοί λεμφαδένες (Ν)
Κλινική
Nx – Οι λεμφαδένες δεν αξιολογήθηκαν
N0 – Δεν υπάρχει μετάσταση στους λεμφαδένες
N1 – Μάζα λεμφαδένων ή πολλαπλές μάζες λεμφαδένων μικρότερες ή ίσες με 2 cm στη μεγαλύτερη διάσταση
Ν2 – Μάζα λεμφαδένων ή πολλαπλές μάζες λεμφαδένων άνω των 2 cm, αλλά μικρότερες ή ίσες με 5 cm στη μέγιστη διάσταση
Ν3 – Μάζα λεμφαδένων μεγαλύτερη από 5 cm στη μεγαλύτερη διάσταση
Παθολογοανατομική
pN0 – Καμία ένδειξη όγκου στους λεμφαδένες
pΝ1 – Μάζα λεμφαδένων μικρότερη ή ίση με 2 cm στη μεγαλύτερη διάσταση, 5 ή λιγότεροι λεμφαδένες θετικοί
pΝ2 – Μάζα λεμφαδένων άνω των 2 cm, αλλά μικρότερη των 5 cm στη μεγαλύτερη διάσταση, περισσότεροι από 5 λεμφαδένες θετικοί, ενδείξεις εξωλεμφαδενικής επέκτασης του όγκου
pN3 – Μάζα λεμφαδένων άνω των 5 cm στη μεγαλύτερη διάσταση
Απομακρυσμένες μεταστάσεις (Μ)
M0 – Καμία ένδειξη για απομακρυσμένες μεταστάσεις
M1a – Μη περιοχικοί λεμφαδένες ή πνευμονικές μεταστάσεις
Μ2b – Μη πνευμονικές σπλαχνικές μεταστάσεις
Καρκινικοί δείκτες (S)
| S | LDH | HCG (mIU/mL) | AFP (ng/mL) | ||
| Sx | δεν εκτιμήθηκε | δεν εκτιμήθηκε | δεν εκτιμήθηκε | ||
| S0 | ≤ N* | και | φυσιολογικό | και | φυσιολογικό |
| S1 | < 1.5 x N | και | < 5000 | και | < 1000 |
| S2 | 1.5-10 x N | ή | 5000-50,000 | ή | 1000-10,000 |
| S3 | >10 x N | ή | >50,000 | ή | >10,000 |
| *N=ανώτατο όριο του εύρους αναφοράς για τον προσδιορισμό της LDH | |||||
Σταδιοποίηση
|
Σταδιοποίηση |
T |
N |
M |
S |
|
Stage 0 |
pTis |
N0 |
M0 |
S0 |
|
Stage I |
T1-T4 |
N0 |
M0 |
Sx |
|
Stage IA |
T1 |
N0 |
M0 |
S0 |
|
Stage IB |
T2-4 |
N0 |
M0 |
S0 |
|
Stage IS |
Any T |
N0 |
M0 |
S1-S3 |
|
Stage II |
Any T |
Any N |
M0 |
Sx |
|
Stage IIA |
Any T |
N1 |
M0 |
S0-S1 |
|
Stage IIB |
Any T |
N2 |
M0 |
S0-S1 |
|
Stage IIC |
Any T |
N3 |
M0 |
S0-S1 |
|
Stage III |
Any T |
Any N |
M1 |
Sx |
|
Stage IIIA |
Any T |
Any N |
M1a |
S0-S1 |
|
Stage IIIB |
Any T |
Any N |
M0-M1a |
S2 |
|
Stage IIIC |
Any T |
Any N |
M0-M1a |
S3 |
|
|
Any T |
Any N |
M1b |
Any S |

Θεραπεία χοριοκαρκινώματος όρχεως
Οι μεταστατικοί μη σεμινωματώδεις όγκοι όρχεων είναι πολύ ευαίσθητοι στην σισπλατίνη, με ποσοστά ίασης περίπου 80% για προχωρημένη νόσο και σχεδόν 100% για πρώιμο στάδιο της νόσου.
Το αμιγές χοριοκαρκίνωμα, δεν είναι τόσο ευαίσθητo στη χημειοθεραπεία, όπως το μεικτό.
Η καθιερωμένη χημειοθεραπεία: Μπλεομυκίνη, ετοποσίδη, σισπλατίνη (BEP) για 4 κύκλους, σε μικρού κινδύνου.
Πρόσθετες ουσίες – Βινβλαστίνη, ιφωσφαμίδη …
Ριζική βουβωνική ορχεκτομή
Πρέπει να εξεταστούν προεγχειρητικά οι καρκινικοί δείκτες ορού επειδή πέφτουν γρήγορα μετεγχειρητικά. Λόγω της μεγάλης ταχύτητας διπλασιασμού του χοριοκαρκινώματος, οι όγκοι των όρχεων χειρουργούνται ταχέως.
Η φύλαξη σπέρματος σε τράπεζα για μελλοντική γονιμότητα πρέπει να συζητηθεί. Ωστόσο, πολλοί ασθενείς με κακή ποιότητα σπέρματος, παρουσιάζουν βελτίωση μετά την ορχεκτομή.
Οι προθέσεις όρχεως είναι άμεσα διαθέσιμες στους ενδιαφερόμενους ασθενείς.
Σε έναν ασθενή που παρουσιάζει μεταστατικές βλάβες η χημειοθεραπεία με βάση την πλατίνα πριν και ριζική ορχεκτομή μετά, μπορεί να συζητηθεί, αν και δεν εφαρμόζεται. Η διαφοροδιάγνωση του σεμινώματος από το μη σεμίνωμα για την προχωρημένη νόσο δεν είναι σημαντική, καθώς και οι δύο ομάδες λαμβάνουν το ίδιο σχήμα.
Μολονότι η χημειοθεραπεία μπορεί να οδηγήσει σε εξαφάνιση της μάζας των όρχεων η ορχεκτομή πάντοτε γίνεται.
Οι ασθενείς μπορούν να λάβουν και επισκληρίδια αναισθησία. Η βουβωνική περιοχή ξυρίζεται και παρασκευάζεται με το συνήθη τρόπο και γίνεται βουβωνική τομή. Η εξωτερική λαγόνια περιτονία ανοίγει, εκθέτοντας το σπερματικό τόνο και τις λαγόνιες αρτηρίες. Η σπερματική χορδή ελέγχεται και τοποθετείται τουρνικέ για να σταματήσει η οπισθοπεριτοναϊκή λεμφική και φλεβική παροχέτευση των καρκινικών κυττάρων.
Ο όρχις στη συνέχεια αφαιρείται από το όσχεο, και ο σπερματικός πόρος και οι σπερματικές αρτηρίες απολινώνονται ξεχωριστά. Αυτή η χειρουργική επέμβαση είναι παρόμοια με την χειρουργική αποκατάσταση βουβωνοκήλης.
Οι επιπλοκές είναι σπάνιες αλλά μπορεί να συμβεί μόλυνση του τραύματος, μούδιασμα του δέρματος βουβωνικά λόγω τραυματισμού στο νεύρο, αιμάτωμα.
Η χημειοθεραπεία για το χοριοκαρκίνωμα όρχεως
Για τους ασθενείς μικρού κινδύνου και μερικούς με μέτριο και υψηλό κίνδυνο γίνονται 4 κύκλοι ΒΕΡ (δηλαδή, μπλεομυκίνη, ετοποσίδη, σισπλατίνη). Πρόσθετες ουσίες σε ορισμένες αγωγές ή για τη διάσωση είναι η βινπλαστίνη και ιφωσφαμίδη.
Υπάρχει πολύ μικρή ανταπόκριση στη χημειοθεραπεία και ως εκ τούτου θα πρέπει να λαμβάνονται υπόψη οι βραχυπρόθεσμες και μακροπρόθεσμες παρενέργειες των φαρμάκων.
Αντινεοπλασματικά φάρμακα
- Μπλεομυκίνη
Είναι αντιβιοτικό γλυκοπεπτίδιο, και αναστέλλει τη σύνθεση του DNA και του RNA και της σύνθεσης των πρωτεΐνών σε ένα μικρότερο βαθμό.
- Ετοποσίδη
Συλλαμβάνει τα κύτταρα στη φάση G2 του κυτταρικού κύκλου και προκαλεί διάσπαση της έλικας του DNA από την αλληλεπίδραση DNA και τοποϊσομεράσης II και σχηματίζονται ελεύθερες ρίζες.
- Σισπλατίνη
Ανόργανο σύμπλοκο μετάλλου πιστεύεται ότι δρα αναλόγως, όπως οι αλκυλιωτικοί παράγοντες. Νεκρώνει τα κύτταρα σε όλα τα στάδια του κυτταρικού κύκλου και αναστέλλει τη βιοσύνθεση του DNA.
- Ιφωσφαμίδη
Μουστάρδα αζώτου και ένα συνθετικό ανάλογο της κυκλοφωσφαμίδης.
- Βινβλαστίνη
Παράγωγο αλκαλοειδούς που προκαλεί αποπολυμερισμό των μικροσωληνίσκων σημαντικά στη μιτωτική άτρακτο και τον κυτταροσκελετό.
Η παρακολούθηση των ασθενών με καρκίνο του όρχεως εξαρτάται από την παθολογία του όγκου. Δεδομένου ότι οι περισσότερες περιπτώσεις χοριοκαρκινώματος έχουν χαρακτηριστικά υψηλού κινδύνου για μετάσταση, χρειάζεται συχνά παρακολούθηση και επανέλεγχο.
Να προτιμάτε τις φυσικές θεραπείες για τον καρκίνο του όρχεως, σύμφωνα με το Μοριακό Προφίλ του Όγκου
Η ζωή είναι πολύτιμη.
Η ζωή είναι δική σας. Πάρτε την στα χέρια σας!
Το μοριακό προφίλ του όγκου είναι απαραίτητο και χρήσιμο εργαλείο για τη θεραπευτική σας απόφαση.
Ζητείστε την εξέταση πριν κάνετε οποιαδήποτε θεραπεία. Η ζωή σας είναι πολύτιμη.
Ζητήστε από την EMEDI πληροφορίες για το μοριακό προφίλ του όγκου.
Διαβάστε περισσότερα για την Σάββη Μάλλιου Κριαρά
Εμπιστευθείτε τους διατροφικούς συμβούλους της EMEDI
Εμπιστευθείτε το ογκολογικό συμβούλιο της EMEDI
Τα κατάλληλα συμπληρώματα διατροφής για τον καρκίνο του όρχεως
Πατήστε, εδώ, για να παραγγείλετε τα κατάλληλα συμπληρώματα διατροφής για τον καρκίνο του όρχεως
Διαβάστε, επίσης,
Θεραπεία του καρκίνου όρχεως με μια ματιά
Η τροφοβλαστική νόσος της κύησης
Όγκοι ωοθηκών από γεννητικά κύτταρα







