Υπαραχνοειδής αιμορραγία. Τι είναι η υπαραχνοειδής αιμορραγία, ποιοι είναι οι παράγοντες κινδύνου, οι αιτίες, τα συμπτώματα
Υπαραχνοειδής αιμορραγία, ICD-10 I60, P10.3, S06.6, είναι ένας ιδιαίτερος τύπος εγκεφαλικής αιμορραγίας που, συνήθως, εκδηλώνεται αιφνιδιαστικά σε ανθρώπους κάθε ηλικίας χωρίς προειδοποιητικά συμπτώματα και που χρειάζεται επείγουσα αντιμετώπιση.
Παράγοντες κινδύνου για υπαραχνοειδή αιμορραγία
- Ο κίνδυνος για υπαραχνοειδή αιμορραγία αυξάνεται με την ηλικία. Ο κίνδυνος είναι περίπου 25 τοις εκατό υψηλότερος σε γυναίκες άνω των 55 σε σύγκριση με τους άνδρες της ίδιας ηλικίας, πιθανόν, αντανακλώντας τις ορμονικές αλλαγές που προκύπτουν από την εμμηνόπαυση, όπως η μείωση των επιπέδων των οιστρογόνων.
- Η γενετική μπορεί να διαδραματίσει ένα ρόλο στην προδιάθεση ενός ατόμου για να πάθει υπαραχνοειδή αιμορραγία. Ο κίνδυνος αυξάνεται τρεις έως πέντε φορές σε πρώτου βαθμού συγγενείς με ασθενή με υπαραχνοειδή αιμορραγία.
- Ωστόσο, οι παράγοντες του τρόπου ζωής είναι πιο σημαντικοί. Αυτοί οι παράγοντες κινδύνου είναι το κάπνισμα, η υπέρταση (υψηλή αρτηριακή πίεση) και η υπερβολική κατανάλωση αλκοόλ.
- Κάποια προστασία απροσδιορίστου σημασίας παρέχουν η Καυκάσια εθνικότητα, η θεραπεία ορμονικής υποκατάστασης και ο σακχαρώδης διαβήτης. Υπάρχει μια αντίστροφη σχέση μεταξύ της ολικής χοληστερόλης του ορού και του κινδύνου της μη τραυματικής υπαραχνοειδούς αιμορραγίας. Περίπου το 4 τοις εκατό των ανευρυσματικών αιμορραγιών συμβαίνουν μετά τη σεξουαλική επαφή και το 10 τοις εκατό σε άτομα που σκύβουν ή σηκώνουν βαριά αντικείμενα κατά την έναρξη των συμπτωμάτων τους.
Συνολικά, περίπου 1 τοις εκατό όλων των ανθρώπων έχουν ένα ή περισσότερα εγκεφαλικά ανευρύσματα. Τα περισσότερα από αυτά, όμως, είναι μικρά και είναι απίθανο να υποστούν ρήξη.
Ο εγκέφαλος καλύπτεται από τρεις διακριτές μεμβράνες, τις μήνιγγες. Η μεσαία από αυτές λέγεται αραχνοειδής μήνιγγα. Κάτω από την αραχνοειδή μήνιγγα και γύρω από τον εγκέφαλο υπάρχει ένας στενός κενός χώρος μέσα στον οποίο κυκλοφορεί εγκεφαλονωτιαίο υγρό και μέσα στον οποίο φιλοξενούνται τα μεγάλα αιμοφόρα αγγεία του εγκεφάλου (αρτηρίες και φλέβες). Αυτός ο χώρος ονομάζεται υπαραχνοειδής χώρος. Η υπαραχνοειδής αιμορραγία λέγεται, έτσι γιατί το αίμα «χύνεται» έξω από ένα μεγάλο αιμοφόρο αγγείο του εγκεφάλου (συνήθως, από μια αρτηρία) προς τον υπαραχνοειδή χώρο. Στις περισσότερες περιπτώσεις αιτία της αιμορραγίας είναι η ρήξη («σπάσιμο») ενός προϋπάρχοντος ανευρύσματος σε από τις μεγάλες αρτηρίες του εγκεφάλου.

Αιτίες της υπαραχνοειδούς αιμορραγίας
Η ετήσια συχνότητα της αυτόματης υπαραχνοειδούς αιμορραγίας υπολογίζεται σε 12 περιστατικά ανά 100.000 πληθυσμό. Σε ένα ποσοστό 10% η αιμορραγία είναι αγνώστου αιτιολογίας, δηλαδή, παρά τον ενδελεχή έλεγχο δεν αναγνωρίζεται αιτία.
Οι περισσότερες περιπτώσεις υπαραχνοειδούς αιμορραγίας, όμως, οφείλονται σε τραύμα.
Σε 85 τοις εκατό των περιπτώσεων της αυτόματης υπαραχνοειδούς αιμορραγίας, η αιτία είναι η ρήξη εγκεφαλικού ανευρύσματος από διάταση στο τοίχωμα σε μία από τις αρτηρίες του εγκεφάλου. Αυτές οι αρτηρίες βρίσκονται στον κύκλο του Willis. Τα ανευρύσματα έχουν, συνήθως, σακοειδή μορφολογία και ευθύνονται για το 75-80% των υπαραχνοειδών αιμορραγιών. Τα ανευρύσματα είναι, συνήθως, συγγενούς αιτιολογίας και σε ένα ποσοστό περίπου 10% μπορεί να έχουν οικογενή χαρακτήρα, δηλαδή, να εμφανίζονται σε περισσότερα από ένα άτομα που έχουν πρώτου βαθμού συγγένεια. Σπανιότερα, μπορεί να είναι μυκωτικά, δηλαδή φλεγμονώδους αιτιολογίας. Τα μυκωτικά παρατηρούνται συχνά σε ασθενείς με βακτηριακή ενδοκαρδίτιδα. Το 5% αποδίδεται σε αρτηριοφλεβώδεις δυσπλασίες, ενώ το υπόλοιπο 15-20% οφείλεται σε φλεγμονές-αγγειΐτιδες, αιμορραγικούς όγκους, συστηματικές διαταραχές του πηκτικού μηχανισμού, φάρμακα ή χρήση ουσιών όπως η κοκαΐνη.
Σε ένα ποσοστό 10% η αιμορραγία είναι αγνώστου αιτιολογίας, δηλαδή παρά τον ενδελεχή έλεγχο δεν αναγνωρίζεται αιτία.
Στο 15-20 τοις εκατό των περιπτώσεων της αυτόματης υπαραχνοειδής αιμορραγίας, δεν ανιχνεύεται το ανεύρυσμα στην πρώτη αγγειογραφία. Οι μισές από αυτές αποδίδονται σε μη ανευρυσματική περιμεσεγκεφαλική αιμορραγία, στην οποία το αίμα περιορίζεται στον υπαραχνοειδή χώρο γύρω από το μεσεγκέφαλο. Σε αυτές τις περιπτώσεις, η προέλευση του αίματος είναι άγνωστη. Το υπόλοιπο ποσοστό οφείλεται σε άλλες διαταραχές που επηρεάζουν τα αιμοφόρα αγγεία, όπως αρτηριοφλεβώδεις δυσπλασίες, διαταραχές των αιμοφόρων αγγείων στο νωτιαίο μυελό και αιμορραγία σε διάφορους όγκους. Η χρήση κοκαΐνης και η δρεπανοκυτταρική αναιμία (συνήθως, στα παιδιά) και η αντιπηκτική θεραπεία, διάφορα προβλήματα με την πήξη του αίματος και η αποπληξία της υπόφυσης μπορεί, επίσης, να οδηγήσουν σε υπαραχνοειδή αιμορραγία.
Η υπαραχνοειδής αιμορραγία μπορεί να ανιχνευθεί σε αξονική τομογραφία εγκεφάλου στο 60 τοις εκατό των ατόμων με τραυματική βλάβη του εγκεφάλου και εμφανίζεται, συνήθως, κοντά στην τοποθεσία του κατάγματος του κρανίου ή της ενδοεγκεφαλικής θλάσης. Είναι ασαφές, ωστόσο, αν η παρουσία της υπαραχνοειδούς αιμορραγίας είναι δείκτης της σοβαρότητας του τραυματισμού της κεφαλής.
Ποια είναι τα συμπτώματα της υπαραχνοειδούς αιμορραγίας
Κατά την εκδήλωση της αιμορραγίας ο ασθενής αισθάνεται ξαφνικά πολύ δυνατό και ασυνήθιστο πονοκέφαλο, που, συνήθως, τον αναγκάζει να πέσει κάτω και να πιάσει το κεφάλι με τα χέρια του, σα να έχει δεχτεί στο πίσω μέρος του κεφαλιού κτύπημα με ρόπαλο. Σε πολλές περιπτώσεις, αμέσως, μετά εκδηλώνεται επιληπτική κρίση με σπασμούς.
Μερικές φορές, επέρχεται ο θάνατος λίγα λεπτά μετά την εκδήλωση της αιμορραγίας. Η υπαραχνοειδής αιμορραγία είναι μια από τις κυριότερες αιτίες αιφνίδιου θανάτου μαζί με τα καρδιακά επεισόδια. Από τους ασθενείς που παραμένουν ζωντανοί μετά την εκδήλωση της αιμορραγίας, αρκετοί πολύ γρήγορα χάνουν την επικοινωνία με το περιβάλλον (πέφτουν σε κώμα), ενώ οι υπόλοιποι παραμένουν σε καλή νευρολογική κατάσταση. Στην τελευταία αυτή κατηγορία ασθενών υπάρχει κίνδυνος να μη γίνει σωστή διάγνωση, με αποτέλεσμα να χάνεται πολύτιμος χρόνος.
Έτσι, πρέπει να εγείρεται η υποψία υπαραχνοειδούς αιμορραγίας όταν συμβαίνει ένα ή περισσότερα από τα παρακάτω:
- εκδηλώνεται αυχενοϊνιακή κεφαλαλγία (πονοκέφαλος με επίκεντρο στο πίσω μέρος του κεφαλιού και στον αυχένα) αιφνιδιαστική, έντονη και ασυνήθιστη
- ακολουθεί έμετος
- ακολουθεί έστω και στιγμιαία απώλεια συνείδησης ‘απώλεια αισθήσεων’
- η κεφαλαλγία μετά την αιφνίδια έναρξή της παραμένει επίμονη και βασανιστική για πολλές ώρες ή μέρες χωρίς να υποχωρεί με αναλγητικά (παυσίπονα) φάρμακα και με ανάπαυση
- υπάρχουν και άλλες νευρολογικές εκδηλώσεις (π.χ. αδυναμία στα άκρα, δυσχέρεια ομιλίας)
- υπάρχει αυχενική δυσκαμψία (μεγάλη δυσκολία στην κάμψη του κεφαλιού-εκδηλώνεται, συνήθως, αρκετές ώρες μετά το επεισόδιο)

Το κλασικό σύμπτωμα της υπαραχνοειδούς αιμορραγίας είναι κεραυνοβόλος κεφαλαλγία. Αυτή η κεφαλαλγία, συχνά, επεκτείνεται προς την ινιακή χώρα (το πίσω μέρος του κεφαλιού).
Ο εμετός μπορεί να είναι ένα σύμπτωμα, και 1 στους 14 έχουν επιληπτικές κρίσεις.
Η σύγχυση, το μειωμένο επίπεδο συνείδησης ή το κώμα μπορεί να συμβούν, όπως και η δυσκαμψία στον αυχένα και άλλα σημεία μηνιγγισμού. Η δυσκαμψία αυχένα, συνήθως, παρουσιάζεται έξι ώρες μετά την αρχική έναρξη της υπαραχνοειδούς αιμορραγίας.
Η διαστολή της κόρης και η απώλεια του αντανακλαστικού του φωτός της κόρης μπορεί να είναι αποτέλεσμα αύξησης της ενδοκράνιας πίεσης (πίεση στο εσωτερικό του κρανίου). Η ενδοφθάλμια αιμορραγία (στο βολβό του ματιού) μπορεί να συμβεί από την αυξημένη πίεση: αιμορραγία κάτω από την υαλώδη μεμβράνη (μεμβράνη, που περιβάλλει το υαλοειδές σώμα του οφθαλμού) και η αιμορραγία του υαλώδους μπορεί να είναι ορατή στο βυθοσκόπηση. Αυτό είναι γνωστό ως σύνδρομο Terson (συμβαίνει σε 3-13 τοις εκατό των περιπτώσεων) και είναι πιο συχνή σε πιο σοβαρή υπαραχνοειδή αιμορραγία.
Οι ανωμαλίες του απαγωγού νεύρου (αδυναμία της προς τα κάτω και προς τα έξω κίνησης οφθαλμού και η αδυναμία να σηκώσει ο ασθενής το βλέφαρο στην ίδια πλευρά) ή παράλυση (απώλεια κίνησης) μπορεί να υποδεικνύουν αιμορραγία από την οπίσθια αρτηρία.
Οι επιληπτικές κρίσεις είναι πιο συχνές εάν η αιμορραγία είναι από ένα ανεύρυσμα.
Ο συνδυασμός της ενδοεγκεφαλικής αιμορραγίας και της αυξημένης ενδοκρανιακής πίεσης (αν υπάρχει) οδηγεί σε ενεργοποίηση του συμπαθητικού συστήματος. Αυτό πιστεύεται ότι συμβαίνει μέσω δύο μηχανισμών, μιας άμεσης επίδρασης στονμυελό που οδηγεί σε ενεργοποίηση του συμπαθητικού νευρικού συστήματος και μίας τοπικής απελευθέρωσης φλεγμονωδών μεσολαβητών που κυκλοφορούν στην περιφερική κυκλοφορία, που ενεργοποιούν το συμπαθητικό σύστημα. Ως συνέπεια, αυξάνει η αρτηριακή πίεση και προκαλείται αγγειοσυστολή που οδηγεί σε αυξημένη συστηματική αγγειακή αντίσταση. Η υψηλή αδρεναλίνη μπορεί επίσης να προκαλέσει καρδιακές αρρυθμίες (ανωμαλίες του καρδιακού ρυθμού), ηλεκτροκαρδιογραφικές αλλαγές (σε 27 τοις εκατό των περιπτώσεων), και καρδιακή ανακοπή (σε 3 τοις εκατό των περιπτώσεων), γρήγορα μετά την έναρξη της αιμορραγίας. Μετά επέρχεται το νευρογενές πνευμονικό οίδημα με διαρροή υγρού από τα πνευμονικά τριχοειδή αγγεία εντός των χώρων των κυψελίδων, του πνεύμονα.
Η υπαραχνοειδής αιμορραγία μπορεί να εμφανιστεί σε άτομα που έχουν υποστεί τραυματισμό στο κεφάλι. Τα συμπτώματα μπορεί να περιλαμβάνουν πονοκέφαλο, μειωμένο επίπεδο συνείδησης και ημιπάρεση (αδυναμία της μιας πλευράς του σώματος). Η υπαραχνοειδής αιμορραγία είναι ένα συχνό φαινόμενο σε κρανιοεγκεφαλική κάκωση, και έχει μια κακή πρόγνωση εάν συνδέεται με την επιδείνωση του επιπέδου συνείδησης.
Διάγνωση υπαραχνοειδούς αιμορραγίας

Κάθε ασθενής με υποψία υπαραχνοειδούς αιμορραγίας πρέπει επειγόντως να υποβάλλεται σε αξονική τομογραφία εγκεφάλου, για να διαπιστωθεί αν υπάρχει ή όχι αιμορραγία. Αν δεν υπάρχει διαθέσιμος αξονικός τομογράφος (περίπτωση ασυνήθιστη σήμερα στις ανεπτυγμένες κοινωνίες) η διάγνωση μπορεί να γίνει με οσφυονωτιαία παρακέντηση, η οποία όμως απαγορεύεται σε περιπτώσεις ασθενών που είναι σε κώμα (δεν επικοινωνούν με το περιβάλλον) ή/και παρουσιάζουν εστιακή νευρολογική σημειολογία (π.χ. αδυναμία στα αριστερά ή στα δεξιά άκρα) γιατί μπορεί να συμβούν σοβαρές επιπλοκές.
Επίσης, η βυθοσκόπηση (εξέταση του βυθού των ματιών με ειδικό οφθαλμοσκόπιο) μπορεί να δείξει οίδημα οπτικών θηλών ή/και αιμορραγία πίσω από το υαλοειδές σώμα του ματιού.
Διαφοροδιάγνωση πρέπει να γίνεται από την μηνιγγίτιδα, την ημικρανία και την εγκεφαλική φλεβική θρόμβωση κόλπων.
Τα αρχικά βήματα για την αξιολόγηση ενός ατόμου με υποψία υπαραχνοειδούς αιμορραγίας είναι η λήψη ιατρικού ιστορικού και η φυσική εξέταση.
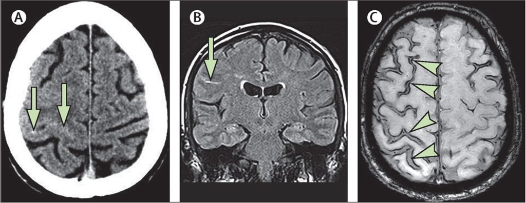
Η καλύτερη μέθοδος για τη διάγνωση της υπαραχνοειδούς αιμορραγίας είναι η αξονική τομογραφία χωρίς σκιαγραφικό του εγκεφάλου. Αυτή έχει υψηλή ευαισθησία και θα εκτιμήσει σωστά πάνω από το 95 τοις εκατό των περιπτώσεων-ιδιαίτερα κατά την πρώτη ημέρα μετά την έναρξη της αιμορραγίας.
Η Μαγνητική τομογραφία μπορεί να είναι πιο ευαίσθητη από την αξονική τομογραφία μετά από αρκετές ημέρες. Μέσα σε έξι ώρες από την έναρξη των συμπτωμάτων η αξονική τομογραφία είναι 100 τοις εκατό ευαίσθητη.
Η αγγειογραφία. Αν η υπαραχνοειδής αιμορραγία επιβεβαιωθεί, η προέλευσή της πρέπει να προσδιορίζεται. Εάν η αιμορραγία οφείλεται σε ανεύρυσμα γίνεται εγκεφαλική αγγειογραφία και αξονική αγγειογραφία.
Σε οξεία βλάβη του Κεντρικού Νευρικού Συστήματος από υπαραχνοειδή αιμορραγία, μπορεί να υπάρχει ανάσπαση του ST στο ηλεκτροκαρδιογράφημα. Οι ηλεκροκαρδιογραφικές αλλαγές είναι σχετικά συχνές σε υπαραχνοειδή αιμορραγία και εμφανίζονται σε 40-70 τοις εκατό των περιπτώσεων. Μπορούν, επίσης, να περιλαμβάνουν παράταση του διαστήματος QT, κύματα Q, καρδιακές αρρυθμίες και ανάσπαση του ST που μιμείται μια καρδιακή προσβολή.
Εκτίμηση της νευρολογικής εικόνας
Υπάρχουν διάφορες βαθμολογικές κλίμακες.
-Η Κλίμακα Γλασκώβης χρησιμοποιείται για την αξιολόγηση της συνείδησης.
Η Κλίμακα Γλασκώβης είναι μια μέθοδος νευρολογικής εκτίμησης. Χρησιμοποιείται, κυρίως, στην επείγουσα προνοσοκομειακή αντιμετώπιση ενός τραυματία για να υπολογίσουμε τη σοβαρότητα της κατάστασης του τραυματία.
Υπολογίζεται ελέγχοντας τα μάτια, τη λεκτική απόκριση και την κινητικότητα του τραυματία και βαθμολογώντας τα ευρήματα. Στο τέλος γίνεται άθροιση του σκορ.
Η ανώτερη βαθμολογία είναι το 15 ενώ η κατώτερη το 3.
Σε τραυματία με κλίμακα Γλασκώβης <8 χρειάζεται να γίνει ενδοτραχειακή διασωλήνωση.
Υπολογισμός
Μάτια
Ανοικτά = 4
Ανοίγουν στην εντολή = 3
Ανοίγουν στον πόνο = 2
Παραμένουν κλειστά = 1
Ομιλία
Επικοινωνεί κανονικά = 5
Αποπροσανατολισμένος = 4 (κατανοητός λόγος, αλλά για άσχετα θέματα)
Ομιλία με ασάφεια = 3 (ασύνδετη ομιλία χωρίς νόημα, σκόρπιες λέξεις, βρισιές)
Άναρθρες κραυγές = 2
Κανένας ήχος = 1
Κινητικότητα
Εκτελεί εντολές = 6
Εντοπίζει τα επώδυνα ερεθίσματα = 5
Αποσύρει στα επώδυνα ερεθίσματα = 4
Κάμπτει στον πόνο (αποφλοίωση) = 3
Εκτείνει στον πόνο (απεγκεφαλισμός) = 2
Καμία κινητικότητα = 1
-Κλίμακα σοβαρότητας της υπαραχνοειδούς αιμορραγίας από Hunt και Hess:
1 ασυμπτωματική ή ελάχιστη κεφαλαλγία και μικρή δυσκαμψία του αυχένα 70%
2 μέτρια έως σοβαρή κεφαλαλγία, δυσκαμψία του αυχένα, δεν υπάρχει νευρολογικό έλλειμμα, εκτός από κρανιακή παράλυση νεύρων 60%
3 υπνηλία, ελάχιστο νευρολογικό έλλειμμα 50%
4 σε κώμα, μέτρια έως σοβαρή ημιπάρεση, ενδεχομένως απεγκεφαλισμός 20%
5 βαθύ κώμα, απεγκεφαλισμός, ακαμψία, ετοιμοθάνατος 10%
–Η κλίμακα Fisher κατατάσσει την υπαραχνοειδή αιμορραγία με βάση την αξονική τομογραφία.
Εμφάνιση Βαθμού αιμορραγίας
1 Καμία εμφανής
2 Λιγότερο από 1 mm πάχος
3 Πάνω από 1 mm πάχος
4 Διάχυτη ενδοκοιλιακή αιμορραγία
Πρόληψη υπαραχνοειδούς αιμορραγίας
Ο αυτοσωματικός κυρίαρχος τύπος της πολυκυστικής νόσου των νεφρών είναι μια κληρονομική πάθηση των νεφρών, που είναι γνωστό ότι σχετίζεται με εγκεφαλικά ανευρύσματα σε 8 τοις εκατό των περιπτώσεων, αλλά τα περισσότερα τέτοια ανευρύσματα είναι μικρά και συνεπώς είναι απίθανο να υποστούν ρήξη. Η πρόληψη συνιστάται μόνο σε οικογένειες, όπου ένα μέλος της οικογένειας είχε ρήξη ανευρύσματος.
Η ενδοαγγειακή θεραπεία των ανευρυσμάτων, προληπτικά είναι ευεργετική
Θεραπεία της υπαραχνοειδούς αιμορραγίας
Εφόσον η διάγνωση συνηγορεί υπέρ ανευρύσματος, θεραπευτικά υπάρχουν δύο επιλογές, η χειρουργική αντιμετώπιση και η ενδοαγγειακή θεραπεία ή ο εμβολισμός. Και οι δύο αυτές θεραπευτικές προσεγγίσεις έχουν κοινό στόχο, δηλαδή την απομόνωση του ανευρύσματος από την κυκλοφορία και βέβαια εκτός από τα πλεονεκτήματα και τα μειονεκτήματα της καθεμιάς υπάρχουν και οι ενδείξεις, οι οποίες μάλιστα παίζουν καθοριστικό ρόλο στην επιλογή της καταλληλότερης θεραπείας.
Η θεραπεία περιλαμβάνει γενικά μέτρα για τη σταθεροποίηση του ασθενή. Αυτή περιλαμβάνει την πρόληψη επανααιμορραγίας με απομάκρυνση της πηγής αιμορραγίας, την πρόληψη αγγειόσπασμου και την πρόληψη και τη θεραπεία των επιπλοκών.
Η σταθεροποίηση του ασθενή είναι η πρώτη προτεραιότητα. Εκείνοι με ένα μειωμένο επίπεδο συνείδησης μπορεί να χρειαστεί να διασωληνωθούν και να μπουν σε μηχανικό αερισμό. Η αρτηριακή πίεση, ο σφυγμός, ο αναπνευστικός ρυθμός και η κλίμακα Γλασκώβης παρακολουθούνται συχνά. Μόλις επιβεβαιωθεί η διάγνωση, η εισαγωγή σε μονάδα εντατικής θεραπείας είναι προτιμότερη, δεδομένου μάλιστα ότι το 15 τοις εκατό μπορεί να έχει περαιτέρω αιμορραγία, αμέσως, μετά την εισαγωγή. Η διατροφή είναι προτιμότερη μέσω ρινογαστρικού σωλήνα. Σε γενικές γραμμές, η αναλγησία περιορίζεται σε λιγότερο κατασταλτικά μέσα, όπως η κωδεΐνη, γιατί η καταστολή μπορεί να επηρεάσει την ψυχική κατάσταση και συνεπώς, επηρεάζει την ικανότητα να παρακολουθηθεί το επίπεδο της συνείδησης. Η εν τω βάθει φλεβική θρόμβωση εμποδίζεται με κάλτσες συμπίεσης. Ένας καθετήρας ουροδόχου κύστης εισάγεται, συνήθως, για την παρακολούθηση της ισορροπίας των υγρών. Οι βενζοδιαζεπίνες μπορεί να χορηγηθούν για να βοηθήσουν στην ανακούφιση από τη δυσφορία. Αντιεμετικά φάρμακα θα πρέπει να δοθούν.
Οι ασθενείς με κακό βαθμό Γλασκώβης κατά την εισαγωγή, οξεία επιδείνωση της νευρολογικής κατάστασης ή προοδευτική διεύρυνση των κοιλιών σε CT Scan/computerized tomography scan/αξονική τομογραφία δείχνουν την ανάγκη για την τοποθέτηση μιας εξωτερικής αντλίας κοιλίας. Χρησιμοποιείται για την αφαίρεση εγκεφαλονωτιαίου υγρού και αίματος που αυξάνουν την ενδοκρανιακή πίεση και μπορεί να αυξήσουν τον κίνδυνο για εγκεφαλικό αγγειόσπασμο.
Πρόληψη επανααιμορραγίας
Όταν η αξονική τομογραφία δείχνει ένα μεγάλο αιμάτωμα, μειωμένο επίπεδο συνείδησης ή εστιακά νευρολογικά συμπτώματα γίνεται επείγουσα χειρουργική αφαίρεση του αίματος ή απόφραξη της αρτηρίας που αιμορραγεί. Μετά τις πρώτες 24 ώρες, ο κίνδυνος νέας αιμορραγίας παραμένει γύρω στο 40 τοις εκατό για τις επόμενες τέσσερις εβδομάδες, γεγονός που υποδηλώνει ότι οι παρεμβάσεις θα πρέπει να στοχεύουν τη μείωση του κινδύνου αυτού το συντομότερο δυνατό.
Εάν ένα εγκεφαλικό ανεύρυσμα εντοπίζεται στην αγγειογραφία, τοποθετείται κλιπ γύρω από το λαιμό του ανευρύσματος με κρανιοτομή.
Μπορεί να γίνει και ενδοαγγειακά: ένας καθετήρας εισάγεται στη μηριαία αρτηρία στη βουβωνική περιοχή και προωθείται διαμέσου της αορτής στις αρτηρίες (στις δύο αρτηρίες της καρωτίδας και στις δύο σπονδυλικές αρτηρίες) που τροφοδοτούν τον εγκέφαλο. Όταν το ανεύρυσμα έχει εντοπιστεί, σπείρες λευκόχρυσου προκαλούν την ανάπτυξη ενός θρόμβου αίματος, για να σταματήσει η αιμορραγία.
Τα ανευρύσματα της μέσης εγκεφαλικής αρτηρίας είναι δύσκολο να επιτευχθούν με αγγειογραφία και τείνουν να χειρουργούνται ανοιχτά.
Τα ανευρύσματα της βασικής αρτηρίας και της οπίσθιας εγκεφαλικής αρτηρίας είναι δύσκολο να ελεγχθούν χειρουργικά και είναι πιο κατάλληλα για ενδοαγγειακή διαχείριση.
Επιπλοκές υπαραχνοειδούς αιμορραγίας
Ο αγγειόσπασμος, κατά τον οποίο τα αιμοφόρα αγγεία συστέλλονται και έτσι περιορίζεται η ροή του αίματος, είναι μια σοβαρή επιπλοκή της υπαραχνοειδούς αιμορραγίας. Μπορεί να προκαλέσει ισχαιμική βλάβη του εγκεφάλου (καθυστερημένη ισχαιμία) και μόνιμη εγκεφαλική βλάβη λόγω της έλλειψης οξυγόνου σε τμήματα του εγκεφάλου. Μπορεί να αποβεί μοιραία αν είναι σοβαρή. Η καθυστερημένη ισχαιμία χαρακτηρίζεται από νέα νευρολογικά συμπτώματα και μπορεί να επιβεβαιωθεί με διακρανιακό Doppler ή εγκεφαλική αγγειογραφία. Περίπου το ένα τρίτο του συνόλου των ατόμων με υπαραχνοειδή αιμορραγία θα έχουν καθυστερημένη ισχαιμία και οι μισοί από αυτούς έχουν μόνιμη βλάβη. Είναι δυνατόν να προληφθεί ο αγγειόσπασμος με διακρανιακό doppler κάθε 24-48 ώρες. Μια ταχύτητα ροής του αίματος άνω των 120 εκατοστών ανά δευτερόλεπτο είναι ενδεικτική του αγγειόσπασμου.
Η χρήση των αναστολέων των διαύλων ασβεστίου, πιστεύεται ότι είναι σε θέση να αποτρέψει τον σπασμό των αιμοφόρων αγγείων εμποδίζοντας την είσοδο ασβεστίου από τα λεία μυϊκά κύτταρα. Ο από του στόματος αναστολέας διαύλου ασβεστίου νιμοδιπίνη βελτιώνει την έκβαση εάν χορηγηθεί μεταξύ τέταρτης και εικοστής πρώτης ημέρα μετά την αιμορραγία. Σε τραυματική υπαραχνοειδή αιμορραγία, η νιμοδιπίνη δεν επηρεάζει τα μακροπρόθεσμα αποτελέσματα και δε συνιστάται. Άλλοι αναστολείς των διαύλων ασβεστίου και το θειικό μαγνήσιο έχουν μελετηθεί.
Η χρήση ενδοφλέβιων υγρών για να επιτευχθεί υπέρταση (υψηλή πίεση αίματος), υπερογκαιμία (περίσσεια υγρού στην κυκλοφορία) και αιμοαραίωση (ήπια αραίωση του αίματος) μπορεί να βελτιώσει τα συμπτώματα της καθυστερημένης ισχαιμίας.
Αν δε βελτιώνεται ο αγγειόσπασμος με τη φαρμακευτική αγωγή, η αγγειογραφία μπορεί να προσπαθήσει να εντοπίσει τις θέσεις του αγγειόσπασμου και αγγειοδιασταλτικά φάρμακα (φάρμακα που χαλαρώνουν το τοίχωμα των αιμοφόρων αγγείων) χορηγούνται απευθείας στην αρτηρία. Αγγειοπλαστική με άνοιγμα της στενωμένης περιοχής με ένα μπαλόνι μπορεί, επίσης, να πραγματοποιηθεί.
Άλλες επιπλοκές υπαραχνοειδούς αιμορραγίας
Η υδροκεφαλία (απόφραξη της ροής του εγκεφαλονωτιαίου υγρού) ανιχνεύεται σε αξονική τομογραφία, στην οποία υπάρχει διεύρυνση των πλαγίων κοιλιών. Εάν το επίπεδο της συνείδησης είναι μειωμένο, γίνεται αποστράγγιση της περίσσειας του υγρού με θεραπευτική οσφυϊκή παρακέντηση ή μια προσωρινή συσκευή που είναι τοποθετημένη σε μία από τις κοιλίες. Η ανακούφιση από υδροκεφαλία μπορεί να οδηγήσει σε τεράστια βελτίωση στην κατάσταση ενός ατόμου.
Οι διακυμάνσεις στις διαταραχές της αρτηριακής πίεσης και των ηλεκτρολυτών, καθώς και η πνευμονία και η καρδιακή ανεπάρκεια συμβαίνουν σε περίπου το ήμισυ των νοσηλευόμενων ατόμων με υπαραχνοειδή αιμορραγία και μπορεί να επιδεινώσουν την πρόγνωση.
Οι επιληπτικές κρίσεις συμβαίνουν κατά τη διάρκεια της παραμονής στο νοσοκομείο σε περίπου το ένα τρίτο των περιπτώσεων. Πολλοί πιστεύουν ότι οι ασθενείς θα μπορούσαν να επωφεληθούν από την πρόληψη με αντιεπιληπτικά φάρμακα.
Υπάρχει η πιθανότητα μιας γαστρικής αιμορραγίας που οφείλονται σε έλκη από στρες.

Πρόγνωση της υπαραχνοειδούς αιμορραγίας
Η υπαραχνοειδής αιμορραγία, συχνά συνδέεται με μια κακή έκβαση. Το ποσοστό θνησιμότητας για την υπαραχνοειδή αιμορραγία είναι μεταξύ 40 και 50 τοις εκατό. Από αυτούς που επιβιώνουν το ένα τέταρτο έχει σημαντικούς περιορισμούς στον τρόπο ζωής τους και λιγότερο από το ένα πέμπτο δεν έχουν υπολειμματικά συμπτώματα, καθόλου.
Η καθυστέρηση στη διάγνωση της ελάσσονος υπαραχνοειδής αιμορραγίας συμβάλλει στην κακή έκβαση. Παράγοντες που οδηγούν σε χαμηλό νευρολογικό σκορ, συστολική υπέρταση, καρδιακή προσβολή, ηπατική νόσο, ανεύρυσμα στην οπίσθια κυκλοφορία και μεγαλύτερη ηλικία, έχουν χειρότερη πρόγνωση. Επίσης, η καθυστερημένη εμφάνιση ισχαιμίας που προκύπτει από αγγειοσύσπαση, η ανάπτυξη ενδοεγκεφαλικού αιματώματος ή η ενδοκοιλιακή αιμορραγία (αιμορραγία μέσα στις κοιλίες του εγκεφάλου) και η παρουσία πυρετού κατά την όγδοη ημέρα είναι δυσμενή προγνωστικά στοιχεία.
Η αγγειογραφία που είναι αρνητική για υπαραχνοειδή αιμορραγία και η περιμεσεγκεφαλική αιμορραγία γύρω από το μεσεγκέφαλο με πολύ χαμηλό ποσοστό επανααιμορραγίας ή καθυστερημένη ισχαιμία έχουν καλή πρόγνωση.
Τα άτομα με μέτρια και σοβαρή κρανιοεγκεφαλική κάκωση που έχουν υπαραχνοειδή αιμορραγία, έχουν διπλάσιο κίνδυνο θανάτου. Μπορούν, επίσης, να έχουν υψηλότερο κίνδυνο σοβαρής αναπηρίας και σοβαρών επιπλοκών, όπως μετατραυματική επιληψία, υδροκέφαλο. Ωστόσο, περισσότερο από το 90 τοις εκατό των ατόμων με τραυματική υπαραχνοειδή αιμορραγία και σκορ Glasgow πάνω από 12 έχουν καλή έκβαση.
Τέλος, γενετικοί παράγοντες επηρεάζουν την πρόγνωση σε υπαραχνοειδή αιμορραγία. Για παράδειγμα, ένας ασθενής που έχει δύο αντίγραφα του ΑροΕ4 (μια παραλλαγή του γονιδίου που κωδικοποιεί την απολιποπρωτεΐνη Ε που παίζει, επίσης, ένα ρόλο στην νόσο του Alzheimer) φαίνεται ότι έχει αυξημένο κίνδυνο για καθυστερημένη ισχαιμία και χειρότερη έκβαση.
Η εμφάνιση υπεργλυκαιμίας (υψηλό σάκχαρο στο αίμα) μετά από υπαραχνοειδή αιμορραγία παρέχει υψηλότερο κίνδυνο.
Μακροπρόθεσμες συνέπειες της υπαραχνοειδούς αιμορραγίας
Η κόπωση, οι διαταραχές της διάθεσης, το άγχος, η κατάθλιψη, η διαταραχή μετατραυματικού στρες και η γνωστική δυσλειτουργία είναι συχνές. 46 τοις εκατό των ανθρώπων που είχαν υπαραχνοειδή αιμορραγία έχουν γνωστική δυσλειτουργία που επηρεάζει την ποιότητα της ζωής τους. Πάνω από το 60 τοις εκατό έχουν συχνούς πονοκεφάλους, βλάβη του υποθαλάμου και της υπόφυσης κι έτσι διαταραχές στην ορμονική ρύθμιση και την παραγωγή. Περισσότερο από το ένα τέταρτο των ατόμων με προηγούμενη υπαραχνοειδή αιμορραγία μπορεί να αναπτύξουν υποϋποφυσισμό (ανεπάρκειες σε ένα ή περισσότερα από τα υποθαλάμου-υπόφυσης ορμόνες, όπως αυξητική ορμόνη, ωχρινοτρόπο ορμόνη ή ωοθυλακιοτρόπο ορμόνη).
Βιβλιογραφία
mayfieldclinic.com
Υψηλής Ποιότητας Συμπλήρωμα διατροφής για τα καρδιοαγγειακά νοσήματα

Τα κατάλληλα προϊόντα για το νευρικό σύστημα
Πατήστε, εδώ, για να παραγγείλετε τα κατάλληλα προϊόντα για το νευρικό σύστημα

Η καθοδήγηση για την επιλογή των ποιων συμπληρωμάτων διατροφής, από τα ανωτέρω, είναι κατάλληλα για την ασθένειά σας θα γίνει σε συνεννόηση με το θεράποντα ιατρό.
Διαβάστε, επίσης,
Διάγνωση υπαραχνοειδούς αιμορραγίας
Πώς θα καταλάβετε αν κάποιος έπαθε εγκεφαλικό
Μηχανάκι για παρακολούθηση του INR
Η ομάδα αίματος δείχνει τον κίνδυνο για εγκεφαλικό




