Διάγνωση διάμεσου πνευμονικού νοσήματος

0
720

Διάγνωση διάμεσου πνευμονικού νοσήματος. Δεν απαιτείται βιοψία για τη διάγνωση ενός διάμεσου πνευμονικού νοσήματος

Τα διάμεσα πνευμονικά νοσήματα είναι, συνήθως, επαγγελματικά νοσήματα, αλλά μπορεί να προκληθούν από φάρμακα (νιτροφουράνια, αναστολείς μετατρεπτικού ενζύμου της αγγειοτενσίνης κ.ά) και από άλλες αιτίες.

Εκδηλώνονται με βήχα, δύσπνοια, οπισθοστερνικό βάρος, δυσφορία και ταχυκαρδία. Η βαθειά εισπνοή ανακόπτεται από βήχα και υπάρχουν αραιοί τελοεισπνευστικοί υποτρίζοντες ήχοι.

Η σπιρομετρία έχει περιοριστικό πρότυπο και η παλμιτική οξυμετρία στην ηρεμία είναι φυσιολογική (SpO2 96%), πέφτει, όμως, στη βάδιση 50 μέτρων (SpO2 88%).

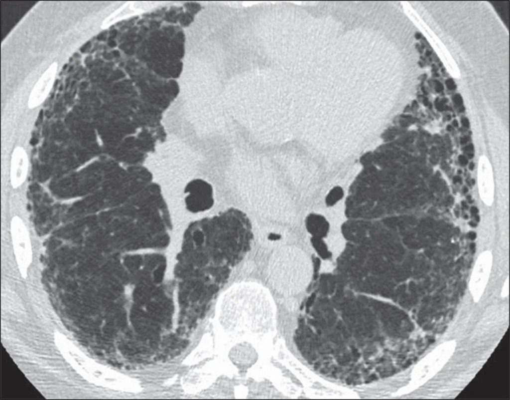
Η ακτινογραφία θώρακος και κυρίως, η αξονική τομογραφία θώρακος δείχνουν επίταση του δικτύου με συρρέοντα ινωτικά στοιχεία, περιβρογχικές παχύνσεις του διάμεσου ιστού και βρογχεκτασίες εξ έλξεως με κατανομή από τα μέσα και προς τα άνω πνευμονικά πεδία, κυρίως, ενώ οι βάσεις προσβάλλονται ελάχιστα. Εστίες θαμβής υάλου αναπτύσσονται ανάμεσα στις περιοχές ίνωσης και συρρέουν προς τα μέσα πνευμονικά πεδία σε μεγαλύτερη έκταση. Επίσης, υπάρχουν οζίδια στις ίδιες θέσεις. Οι πύλες των πνευμόνων δε συμμετέχουν και δεν υπάρχει εικόνα μελικηρύθρας.

Η διαφορική διάγνωση των ανωτέρων απεικονιστικών ευρυμάτων περιλαμβάνει:

Μη ειδική διάμεση πνευμονία

Διάμεση πνευμονοπάθεια που σχετίζεται με αναπνευστική βρογχιολίτιδα

Σαρκοείδωση

Σκληρόδερμα

Το βρογχοκυψελιδικό έκπλυμα από τη βρογχοσκόπηση μπορεί να θέσει τη διάγνωση και δεν απαιτείται βιοψία πνεύμονος.

Στο βρογχοκυψελιδικό έκπλυμα μετρείται ο αριθμός των κυττάρων, η αναλογία των κυττάρων (μακροφάγα, λεμφοκύτταρα, ηωσινόφιλα και πολυμορφοπύρηνα), οι τύποι λεμφοκυττάρων CD4/cluster of differentiation4/συστάδα διαφοροποίησης, CD8, CD57, η σχέση CD4/CD8 και γίνεται χρώση αιμοσιδηρίνης.

Σε λεμφοκυτταρική κυψελίτιδα ή χρόνια εξωγενή αλλεργική κυψελίτιδα με έντονη κυτταροβρίθεια παρατηρείται έντονη υπεροχή των CD8 και των CD57 έναντι των CD4 που είναι λίγα.

Στην κυψελίτιδα από σαρκοείδωση επικρατούν τα CD4 και δεν υπάρχουν CD57.

Η απάντηση του BAL/Bronchoalveolar lavage/Βρογχοκυψελιδικό έκπλυμα σε συνδυασμό με την προσβολή των άνω και μέσων πνευμονικών πεδίων, το μωσαϊκό πρότυπο και τα στοιχεία ίνωσης δείχνουν χρονιότητα.

Υψηλής ποιότητας συμπλήρωμα διατροφής για τα διάμεσα πνευμονικά νοσήματα

Πατήστε, εδώ, για να παραγγείλετε το Υψηλής ποιότητας συμπλήρωμα διατροφής για τα διάμεσα πνευμονικά νοσήματα

Serra Bomb EMEDI® 60 caps

Τα καλύτερα συμπληρώματα διατροφής για την υγεία των πνευμόνων

Πατήστε, εδώ, για να παραγγείλετε τα υψηλής ποιότητας συμπληρώματα διατροφής για την υγεία των πνευμόνων

Διαβάστε, επίσης,

Πνευμονίτιδα εξ υπερευαισθησίας

Πνευμονία από Pneumoystis Carinii

Αποφρακτική βρογχιολίτιδα με οργανούμενη πνευμονία

Ηωσινοφιλική πνευμονία

Μεταμόσχευση πνεύμονος

Πνευμονικό οίδημα

Κοκκιωμάτωση Wegener

Χρήσιμες πληροφορίες για τον κορωνοϊό

Λεπτοσπείρωση

Βρογχοπνευμονική δυσπλασία

Πνευμονική ίνωση από τη μπλεομυκίνη

Πολυμυοσίτιδα και δερματομυοσίτιδα

Ιστιοκυττάρωση από κύτταρα Langerhans

Σύνδρομο Pickwick

Πνευμονική Υπέρταση

Gefitinib

Εμβόλια COVID-19 και μετατρεπτικό ένζυμο της αγγειοτενσίνης 2

Ιστιοκυττάρωση Langerhans

Πνευμονίτιδα εξ υπερευαισθησίας

Πρωτοπαθής πνευμονική υπέρταση

Αμιάντωση

Διαφοροδιάγνωση λεμφαγγειακής καρκινωμάτωσης

Νόσος Niemann-Pick

Η αμιάντωση

Σύνδρομο αναπνευστικής δυσχέρειας των νεογνών

Βρογχιολίτιδα

Αναπνευστική ανεπάρκεια

Νόσος των Λεγεωναρίων

Βρογχεκτασίες

Πνευμονική τοξικότητα από την αντικαρκινική θεραπεία

Ο ασθενής με δύσπνοια στα επείγοντα

Βρογχεκτασίες

Σκληρόδερμα

Σαρκοείδωση

Print Friendly, PDF & Email